심층기획
홈
기획시리즈
프리미엄 칼럼
칼럼
명의인터뷰
최신뉴스
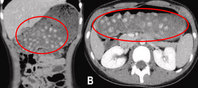
“췌장 빠르게 망가진다” 무심코 자주하는 습관 2가지, 뭘까?
매일 반복하는 식습관이 췌장 건강에 치명적일 수 있다. 이와 관련해 하정봉 약사가 자신의 SNS에 “(췌장을 망가뜨리는 건) 인슐린을 자주 그리고 많이 분비하게 만드는 생활방식이다”라고 말했다. 췌장은 혈당을 조절하는 호르몬인 인슐린을 분비하는 기관이다. 음식
라이프
김경림 기자
2026/05/05 06:04
SNS ‘몸매 인증’ 게시물, 많이 보면 안 되는 이유
소셜 미디어에 올라오는 몸매 인증이나 식단 관리 게시물에 노출될 경우 정신 건강이 악화될 수 있다는 연구 결과가 나왔다. 건강한 생활 습관을 독려하는 당초 취지와 달리, 비현실적인 기준을 학습시켜 자존감을 하락시키고 신체 불만족을 유발한다는 지적이다.미국 노스웨스턴대학
라이프
구교윤 기자
2026/05/04 22:34
“딱 한 곳만 운동한다면” 의사가 꼽은 가성비 좋은 부위는?
바쁜 현대인에게는 시간이 곧 돈이다. 효율성과 가성비를 생각한다면 운동도 예외가 없다. 유튜브 채널 ‘차병원’에서 분당차병원 가정의학과 김영상 교수는 운동의 필요성을 강조하며 “딱 한 군데만 해야 한다면 허벅지를 택할 것이다”라고 말했다. 인체 근육의 약 60
라이프
김경림 기자
2026/05/04 21:34
틱톡 강타한 ‘핑키 타임’… 뇌 깨운다는데, 뭐지?
최근 미국 SNS 틱톡(TikTok)에서는 ‘핑키 타임(Pinky Time)’이라 불리는 손가락 운동 영상이 화제를 모으고 있다. 이 가운데 간단한 손동작이 인지 기능 저하 예방에 도움이 될 수 있다는 전문가 의견도 나오며 그 관심이 커지고 있다.미국 인플루언서 다니엘
라이프
최수연 기자
2026/05/04 21:04
잠깐 한눈 판 사이 ‘쿵’… 5월, 어린이 사고 가장 많다
지난해 초등학교에 입학한 자녀를 둔 A씨 부부는 어린이날을 떠올리면 지금도 아찔하다. 아이에게 킥보드를 선물하고 공원에서 타는 법을 알려주던 중, 잠시 한눈을 판 사이 내리막길에서 넘어져 뇌진탕과 손목 골절을 입었기 때문이다. 인근 응급실에서 치료를 받은 뒤 한동안 병
라이프
신소영 기자
2026/05/04 15:22
“아직 안 늦었다” 노년기 이전에 ‘이것’하면 아플 확률 확 낮아져
노년기에 접어들면 오래 사는 것 이전에 안 아픈 게 우선이다. 외신 ‘헬스라인(Healthline)’에 따르면 꾸준한 운동으로 심폐 체력을 키웠을 때, 노년기 아플 확률이 최대 9%까지 떨어진다는 연구 결과가 나왔다. 학술지 ‘미국심장학회(JACC)’에 발표된
라이프
김경림 기자
2026/05/04 13:52
몸에 세균 득실득실…매일 하는 ‘이것’ 때문일 수도
몸에 아무거나 걸쳤다가는 자칫 세균의 온상이 될 수도 있다. 특히 속옷 소재를 신중히 선택하지 않았을 때의 이야기다. 속옷은 겉으로 드러나지 않기 때문에 소홀하기 쉽다. 서랍에서 손에 잡히는 것을 그대로 입는 경우가 많은 이유다. 이로 인해 불편함이나 가려움,
라이프
김경림 기자
2026/05/04 11:34
비행기 안에서 ‘이 자세’ 취하면, 혈관 막힌다… ‘이코노미클래스 ..
좁은 공간 안에서 오랜 시간 같은 자세로 앉아 있으면 몸에 통증이 생긴다. 이 상태가 계속되면 심장과 폐에 치명적인 영향을 미칠 수 있어 주의가 필요하다. 지난달 29일 영국 외신 ‘미러(Mirror)’에 따르면, 승무원 바르비박 라 아자파타는 자신의 SNS에
라이프
김보미 기자
2026/05/04 11:22
"간호사 55만 명인데 절반만 일한다"… 지역 격차 '140..
국내 간호사 면허 소지자 가운데 실제 의료 현장에서 근무하는 인력은 절반 수준에 그친 것으로 나타났다.4일 대한간호협회가 건강보험심사평가원의 '전국 간호사 현황' 자료를 분석한 결과, 지난해 말 기준 전체 간호사 면허 소지자는 약 55만 명으로 집계됐다.이 가운데 병의
기타
장가린 기자
2026/05/04 10:43
“짜장면이 7위라니”… 먹자마자 살찌는 음식, 1위는?
얼마 안 먹은 것 같은데 순식간에 살을 찌우는 요주의 음식들이 있다. 관련하여 심현진 약사가 SNS를 통해 ‘먹자마자 살로 직행하는 음식 순위’를 공개했다. 심현진 약사가 선정한 살을 찌우는 음식 순위는 칼로리만이 아니라 혈당 상승 속도와 지방 비중 등 여러
라이프
김경림 기자
2026/05/04 07:04
응급의학과 전문의가 비행기 타서 꼭 한다는 ‘이것’
비행기에 탔다면, 휴대전화를 비행기 모드로 바꾸는 것 이외에 해야 하는 것이 있다. 미국 응급의학과 전문의인 아니타 파텔 박사가 기내에서 반드시 하는 습관을 소개했다. ◇선크림 바르기비행기 창가 좌석에 앉는다면 자외선 차단제를 바르는 게 좋다. 자외선은 고도가
라이프
김보미 기자
2026/05/04 06:04
매일 발 ‘이렇게’ 닦았다간, 곰팡이 생긴다
발은 하루 종일 체중을 지탱하고 몸의 균형을 유지하는 신체 기관이다. 이곳에 이상이 생기면 생활이 불편할 뿐 아니라 다른 신체 부위에도 악영향을 준다. 미국 족부 전문의들이 발 건강을 위해 꼭 해야 하는 생활 습관을 소개했다.◇깨끗하게 관리하기발 앞부분이 막힌 신발을
라이프
김보미 기자
2026/05/04 02:04
집안 곳곳에 스며든 ‘음식 냄새’… 의외의 방법으로 싹 없앤다
주방 곳곳에 스며든 음식 냄새는 어떻게 뺄 수 있을까. 외신 ‘타임스 오브 인디아(Times Of India)’에 따르면 환기를 해도 냄새가 쉽게 사라지지 않을 때 방향제나 탈취제부터 찾겠지만, 주방에 있는 의외의 식재료만으로도 효과적으로 냄새를 제거할 수 있다.페퍼민
라이프
김경림 기자
2026/05/03 18:04
방금 빨았는데 냄새 나는 빨래… 이유 대체 뭐지?
세제를 많이 쓰면 옷이 더 깨끗해질 것이라고 생각하기 쉽다. 하지만 권장량보다 세제를 많이 쓰면 옷감의 상태는 물론 세탁기의 성능에도 악영향을 줄 수 있다. 세탁세제에는 물에 잘 녹는 성분인 친수기와 기름에 반응하는 성분인 친유기로 구성된 계면활성제가 들어있다. 친유기
라이프
김보미 기자
2026/05/02 15:34
아침에 베개 ‘이런 모양’이면… 심장·뇌에 문제 생기는 중
자고 일어났을 때 베개가 젖어 있거나 얼굴에 남은 자국이 쉽게 사라지지 않는다면 단순한 습관 문제가 아닐 수 있다. 기상 후 베개에 남는 자국으로 의심해야 할 질환에 대해 알아본다. ◇침 흘림수면 중 침을 흘리는 가장 흔한 원인 중 하나는 수면무호흡증이다. 수면무호흡증
라이프
김서희 기자
2026/05/02 12:04
‘안전한 살충제’여도… 섞이면 위험
여러 살충제에 지속적으로 노출될 경우 암 발생 위험이 최대 150%까지 급증한다는 사실이 확인됐다. 개별 성분은 안전할 수 있어도 다양한 화학 물질이 뒤섞이면 암 진단 수년 전부터 세포를 손상시킬 수 있다는 분석이다.프랑스 국립보건의학연구소, 파스퇴르 연구소, 툴루즈
라이프
구교윤 기자
2026/05/02 08:04
“사소한 행동이 뇌 망가뜨리는 중”… 신경과 의사의 경고, 뭘까?
우리의 뇌는 하루 24시간 쉬지 않고 정보를 처리하고 감정을 조절하며, 몸의 기능을 유지한다. 하지만 많은 사람은 심장이나 체중 관리에는 신경 쓰면서도 뇌 건강은 문제가 생긴 뒤에야 관심을 갖는 경우가 많다.전문가들은 기억력 저?하, 집중력 감소, '브레인 포그(머리가
라이프
장가린 기자
2026/05/02 07:04
유독 ‘그곳’만 가면 느껴지는 으스스함… 원인은 ‘초저주파’
오래된 건물이나 지하실에서 느끼는 으스스함이 단순한 심리적 착각만은 아닐 수 있다. 낡은 배관과 환기 시스템에서 발생하는 ‘초저주파’가 사람의 스트레스 반응을 자극할 수 있다는 연구결과가 나왔다.캐나다 맥이완대 연구팀은 사람이 인지하지 못하는 초저주파가 신체와 감정에
기타
최수연 기자
2026/05/01 23:04
‘향 좋은 세제’ 넣어 빤 수건, 가습기 대신 널어놓으면 벌어지는 일
세탁물을 침실에 널어 말리면, 실내 습도를 올려 곰팡이가 번식하고 폐에 부담이 되지 않을까 우려된다. 괜찮을까.결론부터 말하자면, 괜찮다. 가천대 길병원 호흡기알레르기내과 정성환 교수는 “크게 걱정하지 않아도 된다”고 말했다. 젖은 수건을 널어두면 수분이 증발하면서 실
라이프
김경림 기자
2026/05/01 20:34
집 떠나면 설사하는 사람, 꼭 보세요
여행지에서 배가 아프거나 설사를 하면 남은 일정을 제대로 소화할 수 없다. 배탈로 인해 여행의 즐거움을 망치고 싶지 않다면, 위생 관리에 각별히 주의를 기울여야 한다. 미국 소화기내과 전문의 트리샤 파스리차 박사가 배탈과 설사를 예방하는 안전 수칙을 소개했다.◇붐비는
라이프
김보미 기자
2026/05/01 06:04
첫 페이지
1
2
3
4
5
6
7
8
9
10
마지막 페이지
맨 위로