¶óÀÌÇÁ

  • Ȩ
  • ¶óÀÌÇÁ
  • ºäƼ
  • Ǫµå
  • ´ÙÀÌ¾îÆ®
  • ÇÇÆ®´Ï½º
  • ¿©Çà
  • Ã¥/¹®È­
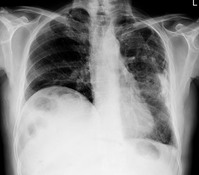
  • ±¹³» °áÇ٠ȯÀÚ °¨¼Ò¼¼Áö¸¸, ³ëÀθ¸ Áõ°¡¡¦ 80%´Â ±âħ Áõ»ó ¾ø¾î..

    ±¹³» °áÇ٠ȯÀÚ °¨¼Ò¼¼Áö¸¸, ³ëÀθ¸ Áõ°¡¡¦ 80%´Â ±âħ Áõ»ó ¾ø¾î..

    Çѱ¹Àº 1996³âºÎÅÍ OECD ±¹°¡ Áß °áÇÙ À¯º´·ü 1À§¶ó´Â ¿À¸íÀ» ¾²°í ÀÖ´Ù. ÀÌ·± ¿À¸í¿¡¼­ »¡¸® ¹þ¾î³ª±â À§Çؼ­´Â ³ëÀÎ µî °áÇÙ Ãë¾à °èÃþÀ» ´ë»óÀ¸·Î ÇÑ °ü¸®°¡ ½Ã±ÞÇÏ´Ù. Á¤ºÎ´Â ¿ÃÇØºÎÅÍ µ¶°Å ³ëÀÎ µî °áÇÙ¿¡ Ãë¾àÇÑ ³ëÀÎ ±×·ìÀ» ´ë»óÀ¸·Î ¿¬1ȸ °áÇÙ°ËÁøÀ» ½ÃÇàÇÒ °è..
    ³»°úÀ̱ݼ÷ ÇコÁ¶¼± ±âÀÚ2020/03/31 17:42
  • JWÁß¿ÜÁ¦¾à Ç𸮺ê¶ó, ºñÇ×ü Ç÷¿ìº´ ȯÀÚ±îÁö ÀûÀÀÁõ È®´ë

    JWÁß¿ÜÁ¦¾à Ç𸮺ê¶ó, ºñÇ×ü Ç÷¿ìº´ ȯÀÚ±îÁö ÀûÀÀÁõ È®´ë

    Ç÷¿ìº´ ¿¹¹æ¿ä¹ýÁ¦ ¡®Ç𸮺ê¶ó¡¯ÀÇ ±¹³» ÀûÀÀÁõ°ú ¿ë¹ý‧¿ë·® ±âÁØÀÌ È®´ëµÆ´Ù.JWÁß¿ÜÁ¦¾àÀº Åõ¾à ÆíÀǼºÀ» °³¼±ÇÑ AÇü Ç÷¿ìº´ ¿¹¹æ¿ä¹ýÁ¦ Ç𸮺ê¶óÇÇÇÏÁÖ»ç(¼ººÐ¸í ¿¡¹Ì½ÃÁÖ¸¿, ÀÌÇÏ Ç𸮺ê¶ó)°¡ ½ÄǰÀǾàǰ¾ÈÀüó·ÎºÎÅÍ ºñÇ×ü ȯÀڵ鿡 ´ëÇÑ ÀÏ»óÀû ¿¹¹æ¿ä¹ýÀ¸·Î..
    Á¦¾àÀ¯´ëÇü ÇコÁ¶¼± ±âÀÚ2020/03/31 17:40
  • ¸ÞµåÆÑÅä, ¼ÒÈ­±â¾Ï ºÐ¾ß ±ÇÀ§ÀÚ ÇÔ±â¹é ±³¼ö ¿µÀÔ

    ¸ÞµåÆÑÅä, ¼ÒÈ­±â¾Ï ºÐ¾ß ±ÇÀ§ÀÚ ÇÔ±â¹é ±³¼ö ¿µÀÔ

    ¹ÙÀÌ¿À¸¶Ä¿ ±â¹Ý Çõ½Å½Å¾à °³¹ß ±â¾÷ ¸ÞµåÆÑÅä´Â ÇÔ±â¹é Â÷Àǰú´ë ¼ÒÈ­±â³»°ú ±³¼ö¸¦ ¿¬±¸¼ÒÀå °â ºÎ»çÀåÀ¸·Î ¿µÀÔÇß´Ù.ÇÔ±â¹é ¿¬±¸¼ÒÀåÀº À§¾Ï, ´ëÀå¾Ï µî ¼ÒÈ­±â ¾Ï Ä¡·á ¹× ¿¹¹æ ºÐ¾ß ±ÇÀ§ÀÚ·Î, ¾ÆÁÖÀÇ´ë ±³¼ö, °¡ÃµÀÇ´ë ±³¼ö, ¹Ì±¹ ±¹¸³¾Ï¿¬±¸¼Ò(NCI) ¿¬±¸¿ø µîÀ» ¿ª..
    Á¦¾àÀ¯´ëÇü ÇコÁ¶¼± ±âÀÚ2020/03/31 17:30
  • ¼ú ¸¶½Ã±â Àü¡¤ÈÄ '¼÷ÃëÇØ¼ÒÀ½·á' È¿°ú ÀÖÀ»±î?

    ¼ú ¸¶½Ã±â Àü¡¤ÈÄ '¼÷ÃëÇØ¼ÒÀ½·á' È¿°ú ÀÖÀ»±î?

    ¼úÀÚ¸®°¡ ÀÖ´Â ³¯À̸é '¼÷ÃëÇØ¼ÒÀ½·á'¸¦ ²À ì°Ü ¸Ô´Â »ç¶÷ÀÌ ÀÖ´Ù. ±×·¯³ª ¼÷ÃëÇØ¼ÒÀ½·á´Â ÀǾàǰÀÌ ¾Æ´Ñ È¥ÇÕÀ½·á, ±âŸ°¡°øÇ°, ¾×»óÂ÷ µîÀ¸·Î ºÐ·ùµÅÀÖ´Â À½·á¿¡ ºÒ°úÇϹǷΠȿ°ú¸¦ ¸Í½ÅÇØ¼­´Â ¾È µÈ´Ù. Àü¹®°¡µéÀº "¼÷ÃëÇØ¼ÒÀ½·á´Â À½·á¡¤°¡°ø½ÄǰÀÌ¶ó¼­ ¾àÀ̳ª °Ç°­..
    ǪµåÀüÇý¿µ ÇコÁ¶¼± ±âÀÚ2020/03/31 17:09
  • Àϵ¿Á¦¾à, µ¶ÀÏ ¿¡º¸Åذú ½Å¾à°³¹ß ³ª¼±´Ù

    Àϵ¿Á¦¾à, µ¶ÀÏ ¿¡º¸Åذú ½Å¾à°³¹ß ³ª¼±´Ù

    Àϵ¿Á¦¾àÀÌ ÀÚ»ç ½Å¾à Èĺ¸¹°ÁúÀÇ ÀÓ»ó Á÷Àü´Ü°è ¿¬±¸¸¦ ´ã´çÇÒ ÆÄÆ®³Ê·Î µ¶ÀÏ ½Å¾à¿¬±¸°³¹ß Àü¹®È¸»ç ¿¡º¸ÅØÀ» ¼±Á¤Çß´Ù. À̹ø Á¦ÈÞ¿¡ µû¶ó, Àϵ¿Á¦¾à°ú ¿¡º¸ÅØÀº ¿ÃÇØ 3~6°³ ¿¬±¸°úÁ¦ Çù·ÂÀ» ÁøÇàÇÒ °èȹÀÌ¸ç ±× ¼º°ú¿¡ µû¶ó ÀÌÈÄ Çù·ÂÀ» È®´ëÇÒ ¿¹Á¤ÀÌ´Ù. ù ¹øÂ° Çù..
    Á¦¾àÀ¯´ëÇü ÇコÁ¶¼± ±âÀÚ2020/03/31 17:07
  • ÀÇÁ¤ºÎ¼º¸ðº´¿ø, °£È£»ç µî 7¸í Ãß°¡ È®Áø¡¦ º´¿ø Æó¼â °ËÅä

    ÀÇÁ¤ºÎ¼º¸ðº´¿ø, °£È£»ç µî 7¸í Ãß°¡ È®Áø¡¦ º´¿ø Æó¼â °ËÅä

    ÀÇÁ¤ºÎ¼º¸ðº´¿ø¿¡¼­ Äڷγª19 È®ÁøÀÚ 7¸íÀÌ Ãß°¡·Î ¹ß»ýÇß´Ù.Ãß°¡ È®Áø ÆÇÁ¤ ¹ÞÀº º´¿ø °ü°èÀÚ´Â °£È£»ç 1¸í, ȯÀÚ 2¸í, °£º´ÀÎ 4¸í µîÀÌ´Ù. À̵éÀº ÀÌ º´¿ø¿¡ ÀÔ¿ø Áß Àü³¯ Äڷγª19 È®Áø ÆÇÁ¤À» ¹ÞÀº 82¼¼ ¿©¼º A¾¾¿Í °°Àº 8Ãþ º´µ¿¿¡ ÀÖ¾ú´ø °ÍÀ¸·Î È®ÀεƴÙ.º´¿ø Ãø..
    ³»°úÀÌÇØ³ª ÇコÁ¶¼± ±âÀÚ2020/03/31 16:11
  • ¿äÁò Àá ¾È ¿À¼¼¿ä? '²ÜÀá' ÆÁ 6°¡Áö µû¶ó ÇØº¸¼¼¿ä

    ¿äÁò Àá ¾È ¿À¼¼¿ä? '²ÜÀá' ÆÁ 6°¡Áö µû¶ó ÇØº¸¼¼¿ä

    ³·°ú ¹ãÀÇ ±æÀ̰¡ ¹Ù²î´Â ¿äÁò ºÒ¸éÁõ¿¡ ½Ã´Þ¸®´Â »ç¶÷ÀÌ ¸¹´Ù. ÇÏÁö¸¸ ¿Ã¹Ù¸¥ ¼ö¸é ½À°üÀ» µéÀÌ¸é ¼÷¸éÀ» ÃëÇÒ ¼ö ÀÖ´Ù. ¼÷¸é µ½´Â ¼ö¸é ½À°üÀ» ¼Ò°³ÇÑ´Ù. °°Àº ½Ã°£ Àá ÀÚ¸®¿¡ µé±â ¼ö¸é ½À°ü¿¡¼­ °¡Àå Áß¿äÇÑ °ÍÀÌ °°Àº ½Ã°£¿¡ ħ´ë¿¡ ´©¿ö ºÒÀ» ²ô°í ÀáÀ» ûÇÏ´Â °Í..
    ½Å°æ°úÀÌÇØ³ª ÇコÁ¶¼± ±âÀÚ2020/03/31 15:06
  • ¿¡µ¶»ç¹Ý, ½ÉÀåÆÇ¸·¼ö¼ú ÈÄ Ç×ÀÀ°íÄ¡·áÁ¦·Î À¯È¿¼º‧¾ÈÀü¼º..

    ¿¡µ¶»ç¹Ý, ½ÉÀåÆÇ¸·¼ö¼ú ÈÄ Ç×ÀÀ°íÄ¡·áÁ¦·Î À¯È¿¼º‧¾ÈÀü¼º..

    ½ÉÀåÆÇ¸· ġȯ¼úÀ̳ª ¼ºÇü¼úÀ» ¹ÞÀº ȯÀÚµéÀº Ç÷¾× ¼øÈ¯À» ¿øÈ°È÷ Çϱâ À§ÇØ Ç×ÀÀ°íÄ¡·áÁ¦¸¦ Àå±â°£ º¹¿ëÇØ¾ß ÇÑ´Ù. ´ëÇ¥ÀûÀÎ °ÍÀÌ ¿ÍÆÄ¸°Àε¥, ÃÖ±Ù °æ±¸¿ë Ç×ÀÀ°íÁ¦(NOAC) ¿¡µ¶»ç¹ÝÀÌ ¿ÍÆÄ¸°°ú ºñ±³ÇØ À¯È¿¼º°ú ¾ÈÀü¼ºÀÌ ºÎÁ·ÇÏÁö ¾Ê´Ù´Â ¿¬±¸°á°ú°¡ ³ª¿Ô´Ù. À̹ø ¿¬±¸..
    ³»°úÀ̱ݼ÷ ÇコÁ¶¼± ±âÀÚ2020/03/31 14:34
  • "´« »¶»¶ÇÑ Áõ»ó, Ç÷´ç ³ô¾Æµµ ³ªÅ¸³­´Ù"

    "´« »¶»¶ÇÑ Áõ»ó, Ç÷´ç ³ô¾Æµµ ³ªÅ¸³­´Ù"

    ´ç´¢º´ ȯÀÚ°¡ Ç÷´çÀÌ ³ôÀ¸¸é ´«ÀÌ °ÇÁ¶ÇØÁú ¼ö ÀÖ´Ù´Â ¿¬±¸ °á°ú°¡ ³ª¿Ô´Ù.¹Ì±¹ ͏®Æ÷´Ï¾Æ´ë ¿¬±¸ÆÀÀº 18~90¼¼ ´ç´¢º´ ȯÀÚ 60¸í°ú ÀϹÝÀÎ ´ëÁ¶±º 60¸íÀ» ´ë»óÀ¸·Î ¿¬±¸¸¦ ÁøÇàÇß´Ù. ¿¬±¸ÆÀÀº À̵éÀÇ ´çÈ­Ç÷»ö¼Ò ¼öÄ¡¸¦ ÃøÁ¤Çϰí, Àû¿Ü¼± Ä«¸Þ¶ó¸¦ ÀÌ¿ëÇØ ´«²¨Ç®¿¡ À§..
    ³»°úÀüÇý¿µ ÇコÁ¶¼± ±âÀÚ2020/03/31 14:29
  • ·¯½¬, ¡®¹öºí ¹Ù Ä÷º¼Ç¡¯ 28Á¾ Ãâ½Ã

    ·¯½¬, ¡®¹öºí ¹Ù Ä÷º¼Ç¡¯ 28Á¾ Ãâ½Ã

    ¿µ±¹ ÇÁ·¹½¬ ÇÚµå¸ÞÀ̵å ÄÚ½º¸Þƽ ºê·£µå ·¯½¬(LUSH)°¡ °Åǰ ÀÔ¿åÁ¦ ½ÅÁ¦Ç° ¹öºí ¹Ù(Bubble Bars) 28°¡Áö¸¦ ¿À´Ã »õ·Ó°Ô Ãâ½ÃÇß´Ù.½ÅÁ¦Ç° '¹öºí ¹Ù Ä÷º¼Ç'Àº º¹¼þ¾Æ ¸ð¾ç¿¡ º¹¼þ¾Æ Å©¸²À» ³ÖÀº ¡®ÇÇÄ¡ Å©·³ºí ¹öºí·é¡¯, Æ÷±ÙÇÑ ¶óº¥´õ Çâ±âÀÇ ¡®½½¸®ÇÇ¡¯, ¹Ù´å¼Ó¿¡ µé¾î..
    ºäƼ±è¼öÁø ÇコÁ¶¼± ±âÀÚ2020/03/31 11:48
  • Äڷγª19, ´«À¸·Îµµ °¨¿° °¡´É¼º¡¦°á¸·¿° Áõ»ó ³ªÅ¸³ª

    Äڷγª19, ´«À¸·Îµµ °¨¿° °¡´É¼º¡¦°á¸·¿° Áõ»ó ³ªÅ¸³ª

    Äڷγª19 ¿¹¹æÀ» À§Çؼ­´Â È£Èí±â¸¦ ¸·¾Æ¾ß ÇÏÁö¸¸, ´«À» º¸È£ÇÏ´Â °Í ¿ª½Ã Áß¿äÇÏ´Ù. ¹Ì±¹ Áúº´ÅëÁ¦¿¹¹æ¼¾ÅÍ(CDC)¿Í ¼¼°èº¸°Ç±â±¸(WHO)°¡ ¹ßÇ¥ÇÑ ³»¿ë¿¡ µû¸£¸é Äڷγª19 ¹ÙÀÌ·¯½º°¡ Æ÷ÇԵǾî ÀÖ´Â ºñ¸»(¹Ì¼¼ ħ¹æ¿ï)ÀÌ °á¸·¿¡ Á¢ÃËÇÏ°Ô µÇ¸é Äڷγª19¿¡ °¨¿°µÉ ¼ö ÀÖ´Ù..
    ¾È°úÀ̱ݼ÷ ÇコÁ¶¼± ±âÀÚ2020/03/31 11:45
  • µ¶°¨ ¾ç¼ºÀ̸é Äڷγª19 ¾Æ´Ï´Ù? "µ¿½Ã °¨¿° °¡´É"

    µ¶°¨ ¾ç¼ºÀ̸é Äڷγª19 ¾Æ´Ï´Ù? "µ¿½Ã °¨¿° °¡´É"

    Äڷγª19¿Í µ¶°¨ µî ±âŸ È£Èí±â ÁúȯÀÌ ÇÔ²² °¨¿°µÉ ¼ö ÀÖ´Ù´Â ¿¬±¸ °á°ú°¡ ³ª¿Ô´Ù.¹Ì±¹ ½ºÅÄÆÛµå Àǰú´ë ÀÀ±ÞÀÇÇаú À̾ð ºê¶ó¿î ºÎ±³¼ö ¿¬±¸ÆÀÀº È£Èí±â ÁúȯÀ¸·Î ÀÀ±Þ½Ç¿¡ ¹æ¹®ÇÑ 562¸íÀ» ´ë»óÀ¸·Î ¿¬±¸¸¦ ÁøÇàÇß´Ù. ¿¬±¸ÆÀÀº À̵鿡°Ô Äڷγª19»Ó ¾Æ´Ï¶ó µ¶°¨, ¶óÀÌ..
    ³»°úÀüÇý¿µ ÇコÁ¶¼± ±âÀÚ2020/03/31 11:41
  • 20~30´ë Àü¸³¼±ºñ´ëÁõ Áõ°¡¡¦ ¿¹¹æ À§ÇÑ »ýȰ½À°ü

    20~30´ë Àü¸³¼±ºñ´ëÁõ Áõ°¡¡¦ ¿¹¹æ À§ÇÑ »ýȰ½À°ü

    36¼¼ ³²¼º A¾¾´Â ÃÖ±Ù ¼Òº¯ÀÌ ¸¶·Á¿ö Àá¿¡¼­ ±ú´Â ³¯ÀÌ ¸¹¾ÆÁ³´Ù. Á÷Àå¿¡¼­µµ ½Ã¿øÇÏ°Ô º¼ÀÏÀ» º¸Áö ¸øÇϰí, ¼Òº¯ÀÌ ³²¾ÆÀÖ´Â ´À³¦ ¶§¹®¿¡ È­Àå½ÇÀ» ³ª¿Ô´Ù°¡µµ ´Ù½Ã µé¾î°¡´Â ÀÏÀÌ Àæ¾Ò´Ù. ±Ý¹æ ÁÁ¾ÆÁú ÁÙ ¾Ë¾Ò´ø Áõ»óÀÌ ÇÑ ´Þ ³Ñ°Ô Áö¼ÓÇÏÀÚ A¾¾´Â ºñ´¢ÀÇÇаú¸¦ ã¾Ò°í..
    ºñ´¢±â°úÀÌÇØ³ª ÇコÁ¶¼± ±âÀÚ2020/03/31 11:37
  • [°Ç°­ ±Ã±ÝÁõ] ¼ú ¸¶½Ã¸é Àá Àß ÀÜ´Ù¡¦ ÁøÂ¥Àϱî?

    [°Ç°­ ±Ã±ÝÁõ] ¼ú ¸¶½Ã¸é Àá Àß ÀÜ´Ù¡¦ ÁøÂ¥Àϱî?

    Á÷ÀåÀÎ ¹Ú¸ð(53)¾¾´Â ¸ÅÀÏ Àú³á ½Ä»ç¿¡ ¼ÒÁÖ¸¦ ºü¶ß¸®Áö ¾Ê´Â´Ù. ¿ä»õ ½ºÆ®·¹½º°¡ ¸¹¾Æ ÀáÀÌ Àß ¾È ¿À´Âµ¥ ¼úÀ» ¸¶½Ã¸é Àá¿¡ ±Ý¼¼ µé±â ¶§¹®ÀÌ´Ù. ½ÇÁ¦ ¼úÀ» ¸¶½Ã¸é ÀáÀÌ Àß ¿À°í ¼÷¸éÇÒ±î?¼úÀ» ¸¶½Ã¸é Àá¿¡ µé±â±îÁö °É¸®´Â ½Ã°£ÀÌ Âª¾ÆÁö´Â °ÍÀº »ç½ÇÀÌ´Ù. ÇÏÁö¸¸ ¼ö¸é..
    Á¤½Å°úÀÌÇØ³ª ÇコÁ¶¼± ±âÀÚ2020/03/31 10:47
  • [¼Óº¸] Äڷγª19 ±¹³» È®ÁøÀÚ 125¸í Ãß°¡¡¦ ÃÑ 9786¸í

    [¼Óº¸] Äڷγª19 ±¹³» È®ÁøÀÚ 125¸í Ãß°¡¡¦ ÃÑ 9786¸í

    ±¹³» Äڷγª19 È®ÁøÀÚ ¼ö°¡ Àü³¯ ´ëºñ 125¸í Áõ°¡Çß´Ù.Áúº´°ü¸®º»ºÎ Á߾ӹ濪´ëÃ¥º»ºÎ´Â 3¿ù 31ÀÏ 0½Ã ±âÁØ ±¹³» Äڷγª19 ÃÑ ´©Àû È®ÁøÀÚ ¼ö´Â 9786¸íÀ̸ç, ÀÌ Áß 5408¸íÀÌ °Ý¸®ÇØÁ¦µÆ´Ù°í ¹àÇû´Ù. Àü³¯ ´ëºñ »ç¸ÁÀÚ´Â 4¸í ´Ã¾ú´Ù.Áö¿ªº° Ãß°¡ È®ÁøÀÚ´Â ´ë±¸ 60¸í, ¼­¿ï..
    ³»°úÀÌÇØ³ª ÇコÁ¶¼± ±âÀÚ2020/03/31 10:37
  • ÄÚ Èû²¯ 'Èï~' Ç®¾ú´Ù°¡ °í¸·¿¡ ±¸¸ÛÀÌ?

    ÄÚ Èû²¯ 'Èï~' Ç®¾ú´Ù°¡ °í¸·¿¡ ±¸¸ÛÀÌ?

    ¿äÁò °°Àº ȯÀý±â, °¨±â³ª ºñ¿° µîÀ¸·Î ÀÎÇØ ÄÚ°¡ ¸·Çû´Ù¸é Ç® ¶§ ÁÖÀÇÇØ¾ß ÇÑ´Ù. ²Ë ¸·Èù ÄÚ¸¦ Èû²¯ Ç® ¶§ À߸øÇÏ¸é ±Í¿¡ ±¸¸ÛÀÌ ³ª´Â '°í¸·Ãµ°ø'ÀÌ »ý±æ ¼ö Àֱ⠶§¹®ÀÌ´Ù. ÀÌ ¹Û¿¡µµ ±ÍÁö¸¦ ÆÈ ¶§, °©ÀÛ½º·´°Ô Å« ¼ÒÀ½À» µéÀ» ¶§, ´Ü´ÜÇÑ ¹°Ã¼¿¡ ÀÇÇØ Ãæ°ÝÀ» ¹ÞÀ» ¶§..
    À̺ñÀÎÈİúÀüÇý¿µ ÇコÁ¶¼± ±âÀÚ2020/03/31 10:09
  • ÀÔµ¡ ÀÎÇÑ 'À§½Äµµ¿ª·ùÁúȯ' Á¶»ê À§Çè ³ô¿©

    ÀÔµ¡ ÀÎÇÑ 'À§½Äµµ¿ª·ùÁúȯ' Á¶»ê À§Çè ³ô¿©

    ÀÔµ¡ÀÌ Á¶»ê À§ÇèÀ» ³ôÀÏ ¼ö ÀÖ´Ù´Â ±¹³» ¿¬±¸ °á°ú°¡ ³ª¿Ô´Ù. °í´ë¾È¾Ïº´¿ø »êºÎÀΰú ¾È±âÈÆ ±³¼ö, Ä¡°ú ¼ÛÀμ® ±³¼ö, AI¼¾ÅÍ À̱¤½Ä ±³¼ö, ¼ÒÈ­±â³»°ú ±èÀº¼± ±³¼ö °øµ¿¿¬±¸ÆÀÀÌ ÃÖ±Ù À§½Äµµ¿ª·ùÁúȯ, Ä¡ÁÖ¿°, Á¶»êÀÇ ¿¬°ü¼ºÀ» ÀΰøÁö´É±â¹ýÀ» ÅëÇØ ºÐ¼®Çß´Ù. ±× °á°ú..
    »êºÎÀΰúÀÌÇØ³ª ÇコÁ¶¼± ±âÀÚ2020/03/31 09:59
  • È£Èí±âÁúȯ À¯Çà ½Ã´ë, ¹Ýµå½Ã ±Ý¿¬ÇØ¾ß ÇÏ´Â ÀÌÀ¯

    È£Èí±âÁúȯ À¯Çà ½Ã´ë, ¹Ýµå½Ã ±Ý¿¬ÇØ¾ß ÇÏ´Â ÀÌÀ¯

    ÇØ¸¶´Ù ´ÙÁüÇÕ´Ï´Ù. ´ã¹è¸¦ ²÷ÀÚ°í. ÇÏÁö¸¸ ´ã¹èÀÇ Áßµ¶¼º¿¡ ¸ø ÀÌ°Ü ½ÇÆÐÇÏ´Â »ç¶÷ÀÌ ¸¹½À´Ï´Ù. ÃÖ±Ù ´ã¹è´Â ÀüÀÚ´ã¹è·Î ¸ð½À±îÁö ¹Ù²ã Èí¿¬ÀÚµéÀ» À¯È¤ÇÕ´Ï´Ù. °Ç°­¿¡ ´ú ÇØ·Ó´ÙÁö¸¸ ¾Ï, ½ÉÇ÷°üÁúȯ µî Ä¡¸íÀûÀÎ Áúº´À» ºÎ¸¥´Ù´Â Á¡Àº º¯ÇÏÁö ¾Ê½À´Ï´Ù. ´ã¹è¸¦ ²÷±â À§..
    °øµ¿±âȹÇコÁ¶¼± ÆíÁýÆÀ2020/03/31 09:15
  • ¸ÞµðÅ彺 Á¤ÇöÈ£ ´ëÇ¥ ±¸¼Ó¿µÀå ±â°¢¡¦¡°Áõ°ÅÀÎ¸ê ´ÜÁ¤ ¾î·Á¿ö¡±

    ¸ÞµðÅ彺 Á¤ÇöÈ£ ´ëÇ¥ ±¸¼Ó¿µÀå ±â°¢¡¦¡°Áõ°ÅÀÎ¸ê ´ÜÁ¤ ¾î·Á¿ö¡±

    º¸Åø¸®´®Åå½Å Á¦Á¦ '¸ÞµðÅå½Å'ÀÇ ºÒ¹ý Á¦Á¶¡¤À¯Åë ÇøÀǸ¦ ¹Þ¾Æ¿Â ¸ÞµðÅ彺 Á¤ÇöÈ£ ´ëÇ¥¿¡ ´ëÇÑ ±¸¼Ó¿µÀåÀÌ ±â°¢µÆ´Ù. °ËÂûÀÌ º¸°­ ¼ö»ç¸¦ ¹ú¿© Á¤ ´ëÇ¥ÀÇ ±¸¼Ó¿µÀåÀ» Àçû±¸ÇÒÁö ¾Æ´Ï¸é Á¤ÇöÈ£ ´ëÇ¥¸¦ ºÒ±¸¼Ó »óÅ·ΠÀçÆÇ¿¡ ³Ñ±â°í ¼ö»ç¸¦ ¸¶¹«¸®ÇÒÁö ¾ÕÀ¸·Î ÁøÇàµÉ..
    Á¦¾àÀ¯´ëÇü ÇコÁ¶¼± ±âÀÚ2020/03/31 09:09
  • õ½Ä ¿¹¹æÀ» À§ÇØ ÀÚÁ¦ÇØ¾ß ÇÏ´Â 'À½½Ä'¡¦ ¿¬±¸ °á°ú

    õ½Ä ¿¹¹æÀ» À§ÇØ ÀÚÁ¦ÇØ¾ß ÇÏ´Â 'À½½Ä'¡¦ ¿¬±¸ °á°ú

    õ½ÄÀ» ¿¹¹æÇÏ·Á¸é °úÀϰú ä¼Ò Áß½ÉÀÇ ½Ä´ÜÀ» ¸Ô°í, À¯Á¦Ç°Àº ÁÙ¿©¾ß ÇÑ´Ù´Â ¿¬±¸ °á°ú°¡ ³ª¿Ô´Ù.Ã¥ÀÓ ÀÖ´Â ÀÇÇÐÀ» À§ÇÑ ÀÇ»ç ¿¬±¸È¸(PCRM)°¡ õ½Ä°ú ½Ä½À°üÀÇ ¿¬°ü¼ºÀ» ¿¬±¸ÇÑ 6°³ ¿¬±¸¸¦ ¸ÞŸ ºÐ¼®ÇÑ °á°ú, °úÀϰú ä¼Ò¸¦ Áß½ÉÀ¸·Î ¼·ÃëÇÏ´Â '½Ä¹°¼º ½ÄÀÌ¿ä¹ý'ÀÌ Ãµ½Ä..
    ǪµåÀüÇý¿µ ÇコÁ¶¼± ±âÀÚ2020/03/31 07:50
  • 3551
  • 3552
  • 3553
  • 3554
  • 3555
  • 3556
  • 3557
  • 3558
  • 3559
  • 3560
¸Ç À§·Î