¶óÀÌÇÁ

  • Ȩ
  • ¶óÀÌÇÁ
  • ºäƼ
  • Ǫµå
  • ´ÙÀÌ¾îÆ®
  • ÇÇÆ®´Ï½º
  • ¿©Çà
  • Ã¥/¹®È­
  • Àü¸³¼±ºñ´ëÁõÀ¸·Î °í»ýÇϳª¿ä? ¾É¾Æ¼­ ¼Òº¯ ´©¼¼¿ä

    Àü¸³¼±ºñ´ëÁõÀ¸·Î °í»ýÇϳª¿ä? ¾É¾Æ¼­ ¼Òº¯ ´©¼¼¿ä

    ¡°¿©º¸, ¼Òº¯ ¾É¾Æ¼­ ºÁ~.¡±¼Òº¯ÀÌ º¯±â ¶Ñ²±À̳ª Ä©¼Ö µî È­Àå½Ç °÷°÷¿¡ Ƥ´Ù´Â ÀÌÀ¯·Î ³²¼ºµéÀº Á¾Á¾ ¡®¼Òº¯À» ¾É¾Æ¼­ º¸¶ó¡¯´Â ÁÖ¹®À» ¹Þ´Â´Ù. À§»ý¿¡ ÁÁ´Ù´Â ÀÌÀ¯ ¿Ü¿¡µµ ¾É¾Æ¼­ ¼Òº¯À» ºÁ¾ß ÇÒ ÀÌÀ¯°¡ ¶Ç ÀÖ´Ù.¡®°Ç°­¿¡ µµ¿òÀÌ µÈ´Ù¡¯´Â Á¡ÀÌ´Ù. ƯÈ÷ Àü¸³¼±ºñ´ëÁõ..
    °Ç°­Á¤º¸ÃëÀç ±è¼öÁø ±âÀÚ2016/05/01 09:30
  • ¡®ÇÏ·ç ¹° 8ÀÜ¡¯¿¡¼­ ÇØ¹æµÈ ±â»Ý

    ¼ö³â ÀüºÎÅÍ Àú¸¦ ÇǰïÇÏ°Ô ÇØ¿Â °ÍÀÌ Çϳª ÀÖ½À´Ï´Ù. ±×°ÍÀº ¡®ÇÏ·ç¿¡ ¹° 8ÀÜÀ» ¸¶½Å´Ù¡¯´Â ³ª¸§´ë·ÎÀÇ ±ÔÄ¢ÀÔ´Ï´Ù. ¹°À» Ưº°È÷ ÁÁ¾ÆÇÏÁö ¾Ê´Â Á¦°¡ ÇÏ·ç¿¡ 8ÀÜÀ» ¸¶½Ã´Â ÀÏÀº Áñ°ÌÁö ¾Ê¾Ò½À´Ï´Ù. ±×·¯³ª °Ç°­À» À§ÇÑ ±âº» ÁßÀÇ ±âº» »ó½ÄÀ¸·Î ÅëÇÏ´Â ÇÏ·ç¹° 8ÀÜ ¸¶½Ã..
    Àü¹®Ä®·³ÇコÁ¶¼± ÆíÁýÀå ±è°øÇÊ2016/05/01 09:00
  • ¾Ï Á¤º¹ ±×³¯±îÁö, ¾Ï ¿¹¹æ ¼öÄ¢ ÁöŰ¼¼¿ä

    ¾Ï Á¤º¹ ±×³¯±îÁö, ¾Ï ¿¹¹æ ¼öÄ¢ ÁöŰ¼¼¿ä

    ¿ì¸®³ª¶ó ¾ÏÄ¡·áÀÇ ¿ª»ç¸¦ ½á³ª°£´Ù¸é ±èº´¼ö ¹Ú»ç¸¦ »©³õ°í´Â ¼­¼úÀÌ ¾î·Á¿ï °ÍÀÌ´Ù. ¸ðµÎ°¡ °¡³­Çß´ø ½ÃÀý, º¯º¯ÇÑ ¾ÏÄ¡·á ¹æ¹ýµµ ¾ø´ø ¿ì¸®³ª¶ó¿¡ ¼¼°èÀûÀÎ ¾Ïº´¿øÀÌ ÇϳªµÑ »ý°Ü³­ °ÍÀº ±èº´¼ö ¹Ú»ç °°Àº ¼±±¸ÀÚµéÀÌ ÀÖ¾ú±â¿¡ °¡´ÉÇÑ ÀÏÀÌ´Ù.  ¿ì¸®³ª¶ó ¾ÏÄ¡·á..
    ÇÇÇÃÇコÁ¶¼± ÆíÁýÆÀ2016/05/01 09:00
  • ¿µÀ¯¾Æ ¼öÁ·±¸º´ ȯÀÚ ±ÞÁõ, 'À̰Í'¸¸ Á¦´ë·Î ÇØµµ ¿¹¹æ..

    ¿µÀ¯¾Æ ¼öÁ·±¸º´ ȯÀÚ ±ÞÁõ, 'À̰Í'¸¸ Á¦´ë·Î ÇØµµ ¿¹¹æ..

    ¼­¿ïÀÇ ÇÑ ³·ÀÇ ±â¿ÂÀÌ 27µµ±îÁö ¿À¸£´Â µî °©ÀÚ±â ã¾Æ¿Â ¹«´õ¿î ³¯¾¾¿¡ ¿µÀ¯¾Æ ¼öÁ·±¸º´ ÁÖÀǺ¸°¡ ³»·ÁÁ³´Ù. ¼öÁ·±¸º´Àº ÁÖ·Î ¿©¸§Ã¶¿¡ ¹ßº´ÇÏÁö¸¸ ÃÖ±Ù ¹ßº´ ½Ã±â°¡ ¾Õ´ç°ÜÁ® º½¿¡µµ ¼öÁ·±¸º´ ȯÀÚ°¡ ´Ã°í ÀÖ´Ù. Áúº´°ü¸®º»ºÎ¿¡ µû¸£¸é ¿Ü·¡È¯ÀÚ 1000¸í ´ç ¼öÁ·±¸º´ ..
    ¼Ò¾ÆÃ»¼Ò³â°úÀÌÇöÁ¤ ÇコÁ¶¼± ±âÀÚ2016/05/01 08:00
  • [±âÀÚ¼öø]´ã¹î°© °æ°í±×¸² À§Ä¡¸¦ Àß ¾È º¸ÀÌ°Ô ÇÏÀÚ°í? ¡®±ÔÁ¦..

    ¿ÃÇØ 12¿ùºÎÅÍ ´ã¹î°©¿¡ Èí¿¬ÀÇ À§ÇؼºÀ» ¾Ë¸®´Â °æ°í±×¸²ÀÌ µé¾î°¡°Ô µÈ´Ù. Èí¿¬ÀÌ À¯¹ßÇÒ ¼ö ÀÖ´Â Æó¾Ï, ÈĵξÏ, ±¸°­¾Ï, ½ÉÀåÁúȯ, ³úÁ¹Áß, ¼º±â´É Àå¾Ö, ÇǺγëÈ­, Á¶±â »ç¸ÁÀ» ºñ·ÔÇØ °£Á¢Èí¿¬À̳ª ÀÓ»êºÎÀÇ Èí¿¬ µîÀÇ À§Çؼº°ú °ü·ÃµÈ ±×¸²À» ´ã¹î°© »ó´Ü¿¡ ³ëÃâÇÔ..
    ±âŸ°­°æÈÆ ÇコÁ¶¼± ±âÀÚ2016/04/30 10:00
  • ±Ù°ñ°Ý°è Áúȯ, ÀÚ¼¼¸¸ ¹Ù·ÎÀâ¾Æµµ ±Øº¹ÇÑ´Ù

    ±Ù°ñ°Ý°è Áúȯ, ÀÚ¼¼¸¸ ¹Ù·ÎÀâ¾Æµµ ±Øº¹ÇÑ´Ù

    ¡®¾î±ú°¡ ¾¥½Å´Ù¡¯, ¡®Ç㸮°¡ ¾ÆÇÁ´Ù¡¯ µî ±Ù°ñ°Ý(ÐÉÍéÌ«)°è ÅëÁõÀ̳ª ÁúȯÀ¸·Î °í»ýÇÑ´Ù¸é ÀÚ½ÅÀÇ ¡®ÀÚ¼¼¡¯ºÎÅÍ Á¡°ËÇØº¸ÀÚ. ¡®ÀÚ¼¼ Çϳª À߸ø Àâ¾Ò´Ù°í º´ÀÌ »ý±â³ª?¡¯¶ó°í »ý°¢ÇÒ ¼ö ÀÖÁö¸¸,À߸øµÈ ÀÚ¼¼´Â ÁýÁß·ÂÀ» È寮·¯¶ß¸± »Ó ¾Æ´Ï¶ó, °¢Á¾ ±Ù°ñ°Ý°è ÁúȯÀÇ ¿øÀÎ..
    °Ç°­Á¤º¸ÃëÀç ±è¼öÁø ±âÀÚ2016/04/30 09:30
  • A PAIR OF ELEPHANTS ÄÚ³¢¸® ÇÑ ½Ö

    A PAIR OF ELEPHANTS ÄÚ³¢¸® ÇÑ ½Ö

    ¡°ÇÑ ¸¶¸®ÀÇ µ¿¹°º¸´Ù´Â ÇÑ ½ÖÀÇ µ¿¹°ÀÌ ÁÁ´Ù.¡± Ȧ·Î ¼­ ÀÖÀ¸¸é ¿Ü·Î¿ï °Í °°¾Æ ¦À» Áö¾îÁÖ°í ½Í¾ú´Ù´Â ÀÛ°¡ÀÇ ¸»ÀÌ´Ù. ¼­·Î ¦²áÀÌ µÇ¾î µ¿ÇàÇÏ´Â ÇÑ ½ÖÀº ´Ù¾çÇÏ°Ô ÇØ¼®µÉ ¼ö ÀÖ´Ù. »ó»ó¿¡ µû¶ó ³²Æí°ú ¾Æ³»°¡ µÇ±âµµ Çϰí, ´ÙÁ¤ÇÑ ºÎ¸ð¿Í ÀÚ½Ä »çÀÌ, ¸¶À½ Àß ¸Â´Â ..
    ºäƼ¶óÀÌÇÁÁøÇà °­½Â¹Ì ±âÀÚ2016/04/30 09:00
  • ¸Ú ³»±â ÁÁ¾ÆÇÏ´Â »ç¶÷ÀÌ Á¶½ÉÇØ¾ß ÇÒ ÁúȯÀº?

    ¸Ú ³»±â ÁÁ¾ÆÇÏ´Â »ç¶÷ÀÌ Á¶½ÉÇØ¾ß ÇÒ ÁúȯÀº?

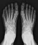
    ¾ÕÄÚ°¡ »ÏÁ·ÇÑ ½Å¹ßÀ» Áñ°Ü ½Å´Â »ç¶÷Àº ¹ß°¡¶ô °ü·Ã ÁúȯÀÎ ¹«Áö¿Ü¹ÝÁõ°ú ¼Ò°Ç¸··ù¸¦ ÁÖÀÇÇØ¾ß ÇÑ´Ù.¹«Áö¿Ü¹ÝÁõÀº ¾öÁö¹ß°¡¶ôÀÌ °ËÁö¹ß°¡¶ô ÂÊÀ¸·Î ÈÖ¾î ÅëÁõÀ» À¯¹ßÇÏ´Â ÁúȯÀÌ´Ù. ¹«Áö¿Ü¹ÝÁõÀÌ ¹ß»ýÇÏ¸é °ÉÀ» ¶§ ÅëÁõÀÌ ´À²¸Áø´Ù. ¼±ÃµÀûÀ¸·Î ¹ßÀÌ ³ÐÀûÇϰųª °úµµÇÏ..
    Á¤Çü¿Ü°ú±èÇÏÀ± ÇコÁ¶¼± ±âÀÚ2016/04/30 08:00
  • ¡®Çѱ¹Çü ¿Ü»ó ÈÄ ½ºÆ®·¹½º Àå¾Ö ¼±º°µµ±¸¡¯ ÃÖÃÊ °³¹ß

    ¡®Çѱ¹Çü ¿Ü»ó ÈÄ ½ºÆ®·¹½º Àå¾Ö ¼±º°µµ±¸¡¯°¡ °³¹ßµÆ´Ù. ±¹³» ¿Ü»ó ÈÄ ½ºÆ®·¹½º Àå¾Ö ȯÀÚ¿¡ ´ëÇÑ ºü¸£°í Ç¥ÁØÈ­µÈ Áø´ÜÀÌ °¡´ÉÇØÁú Àü¸ÁÀÌ´Ù.¿Ü»ó ÈÄ ½ºÆ®·¹½º Àå¾Ö´Â Àç³­À̳ª »ç°í¿Í °°Àº Ãæ°ÝÀûÀÎ »ç°ÇÀ» °æÇèÇÑ ÈÄ ¹ß»ýÇÒ ¼ö ÀÖ´Â Á¤½Å°ú ÁúȯÀÌ´Ù. ȸº¹Çϴµ¥ ¿À..
    Á¤½Å°úÇÑÈñÁØ ÇコÁ¶¼± ±âÀÚ2016/04/29 17:58
  • 'Ŭ¶ó¿ìµò ÆÄÀ̺ê' ºÐ¼®¡¦Ãµ½Ä Ä¡·á °¡´É¼º ¿­·È´Ù

    õ½Ä Ä¡·áÀÇ °¡´É¼ºÀÌ ¿­·È´Ù.¼øÃµÇâ´ë ºÎõº´¿ø Àå¾È¼ö ±³¼ö(È£Èí±â ¾Ë·¹¸£±â ³»°ú)´Â ¼¼Æ÷ À庮 ´Ü¹é 'Ŭ¶ó¿ìµò ÆÄÀ̺ê'ÀÇ ¿ªÇÒÀ» ¹àÈ÷¸ç ±âµµ ¿°ÁõÀ» Á¶ÀýÇÒ °¡´É¼ºÀ» Á¦½ÃÇß´Ù.Áý¸ÕÁöÁøµå±â³ª ºÐÁø°ú °°Àº Ç׿øÀÌ »óÇǼ¼Æ÷¸¦ ÅëÇØ µé¾î¿Í Ÿ±ê ±â°ü¿¡ µµÂøÇÒ ¶§, Ç÷..
    ³»°ú±èÇÏÀ± ÇコÁ¶¼± ±âÀÚ2016/04/29 17:57
  • Ä©¼ÖÁú, ¿¬·Éº°·Î ´Þ¸® ÇØ¾ß Ä¡¾Æ °Ç°­ ÁöŲ´Ù

    Ä©¼ÖÁú, ¿¬·Éº°·Î ´Þ¸® ÇØ¾ß Ä¡¾Æ °Ç°­ ÁöŲ´Ù

    Ä¡¾Æ °Ç°­ÀÇ ±âº»Àº ¾çÄ¡ÁúÀÌ´Ù. Ä¡¾Æ °ü¸®¿¡ ¾Æ¹«¸® ½Å°æÀ» ¾²´õ¶óµµ ¿Ã¹Ù¸¥ ¾çÄ¡ÁúÀ» ÇÏÁö ¾Ê°í¼­´Â °Ç°­ÇÑ Ä¡¾Æ¸¦ À¯ÁöÇϱⰡ ½±Áö ¾Ê´Ù. ±×·¯³ª ÇÏ·ç¿¡ ¼¼ ¹ø ¾çÄ¡ÁúÀ» ÇÏ¸é ¹«Á¶°Ç °Ç°­ÇÑ Ä¡¾Æ¸¦ À¯ÁöÇÒ ¼ö ÀÖÀ»±î. ¾çÄ¡ÁúÀÇ È½¼öº¸´Ù Áß¿äÇÑ °ÍÀº ¿Ã¹Ù¸¥ ¾çÄ¡Áú ¹æ..
    Ä¡°ú±èÇÏÀ± ÇコÁ¶¼± ±âÀÚ2016/04/29 17:30
  • ´ëÇѳ»ºÐºñÇÐȸ SICEM 2016 °³ÃÖ, 25°³±¹¼­ 1õ¸í ³Ñ´Â Àü¹®°¡ Âü..

    ´ëÇѳ»ºÐºñÇÐȸ SICEM 2016 °³ÃÖ, 25°³±¹¼­ 1õ¸í ³Ñ´Â Àü¹®°¡ Âü..

    ¼­¿ï±¹Á¦³»ºÐºñÇмú´ëȸ(SICEM 2016)°¡ ´ëÇѳ»ºÐºñÇÐȸ ÁÖÃÖ·Î 4¿ù 28ÀϺÎÅÍ 5¿ù 1ÀϱîÁö 4Àϰ£ ½¦¶óÅæ ±×·£µå ¿öÄ¿Èú È£ÅÚ¿¡¼­ °³ÃֵȴÙ. ¼­¿ï±¹Á¦³»ºÐºñÇмú´ëȸ´Â ¿ÃÇØ·Î ³×¹øÂ° ¿­¸®´Â ±¹Á¦ Çà»çÀÌ´Ù.À̹ø Çмú´ëȸ´Â Àü¼¼°è 25°³±¹¿¡¼­ 1300¿© ¸íÀÌ Âü¼®ÇÑ´Ù. Àü¼¼..
    ³»°úÀ̱ݼ÷ ÇコÁ¶¼± ±âÀÚ 2016/04/29 16:37
  • "¾Ï¡¤ºñ¸¸¡¤´ç´¢º´ ¾ïÁ¦¿¡ °ü¿©ÇÏ´Â ¹°Áú ¹ß°ß"

    "¾Ï¡¤ºñ¸¸¡¤´ç´¢º´ ¾ïÁ¦¿¡ °ü¿©ÇÏ´Â ¹°Áú ¹ß°ß"

    ¾Ï, ºñ¸¸, ´ç´¢º´ ¾ïÁ¦¸¦ Á¶ÀýÇÒ ¼ö ÀÖ´Â ´Ü¹éÁúºÐÇØÁ¶Àý È¿¼Ò°¡ ¹ß°ßµÆ´Ù.Â÷º´¿ø Â÷Àǰú´ë ÀÇ»ý¸í°úÇаú ¹é±¤Çö ±³¼öÆÀÀº ¸é¿ªÄ§°­¹ýÀ» ÀÌ¿ëÇØ ´Ü¹éÁúºÐÇØÁ¶Àý È¿¼ÒÀÎ USP11ÀÌ Á¾¾ç ¾ïÁ¦ ´Ü¹éÁúÀÇ ºÐÇØ¸¦ ¾ïÁ¦¡¤¾ÈÁ¤È­½ÃŰ´Â °ÍÀ» È®ÀÎÇß´Ù. ¶Ç, Áö¹æ¼¼Æ÷ ºÐÈ­°úÁ¤À» ºÐ..
    ±âŸ±èÇÏÀ± ÇコÁ¶¼± ±âÀÚ2016/04/29 16:19
  • µÎ ¹øÂ° ÁöÄ«¹ÙÀÌ·¯½º °¨¿°ÀÚ °¡Á·, '¾ç¼º' ÆÇÁ¤

    Áúº´°ü¸®º»ºÎ¿¡ µû¸£¸é, µÎ ¹øÂ° ÁöÄ«¹ÙÀÌ·¯½º °¨¿°Áõ ȯÀÚ¿Í µ¿ÇàÇß´ø °¡Á·(Çü, 1994³â»ý) ¿ª½Ã ¼Òº¯°ú Ÿ¾× °Ë»ç¼­ ¾ç¼ºÀ¸·Î ³ª¿Í '¹«Áõ»ó °¨¿°'ÀÎ °ÍÀ¸·Î ¹àÇôÁ³´Ù.Áúº´°ü¸®º»ºÎ¿Í ±¹¹æºÎÀÇ ÇÕµ¿¿ªÇÐÁ¶»ç¸¦ ÅëÇØ ÇØ´ç ¹«Áõ»ó °¨¿°ÀÚ´Â ½Åº´ÀÔ´ëÀڷμ­, µÎ ¹øÂ° ȯÀÚ¿Í..
    ±âŸÇÑÈñÁØ ÇコÁ¶¼± ±âÀÚ2016/04/29 16:02
  • °»³â±â ¿ì¿ïÁõ Ä¡·á¡¦ ½Ã±ÝÄ¡, ¿ìÀ¯ ¸ÔÀ¸¸é ¿ÏÈ­ µµ¿ò

    °»³â±â ¿ì¿ïÁõ Ä¡·á¡¦ ½Ã±ÝÄ¡, ¿ìÀ¯ ¸ÔÀ¸¸é ¿ÏÈ­ µµ¿ò

    °»³â±â¿¡´Â È£¸£¸ó º¯È­·Î ÀÎÇØ ¿ì¿ïÁõÀÌ ½±°Ô ã¾Æ¿Â´Ù. °»³â±â ¿ì¿ïÁõÀº 45¼¼ À̻󿡼­ ¹«±â·Â°¨, °­·ÄÇÑ ÇãÅ»°¨, ÀÚ»ì Ãæµ¿ µîÀÇ ¿ì¿ïÁõ Áõ»óÀ» °æÇèÇÏ´Â °ÍÀ» ¸»ÇÑ´Ù. ÇÑ Á¶»ç±â°ü¿¡¼­ °»³â±â ¿©¼º 500¸íÀ» ´ë»óÀ¸·Î ÁøÇàÇÑ ¼³¹®Á¶»ç¿¡ µû¸£¸é, ÀÀ´ä ¿©¼ºÀÇ 39.8%°¡..
    ±âŸ±èÇÏÀ± ÇコÁ¶¼± ±âÀÚ2016/04/29 15:45
  • »ï¼º¼­¿ïº´¿ø, '¾ç¼ºÀÚ Ä¡·á' ½Ã´ë ¿¬´Ù

    »ï¼º¼­¿ïº´¿ø, '¾ç¼ºÀÚ Ä¡·á' ½Ã´ë ¿¬´Ù

    »ï¼º¼­¿ïº´¿øÀÌ ÃÖ±Ù ¾ç¼ºÀÚ Ä¡·á±âÀÇ ½Ã¹ü¿î¿µÀ» ¼º°øÀûÀ¸·Î  ¸¶¹«¸®ÇÏ°í º»°ÝÀûÀÎ °¡µ¿¿¡ ³ª¼±´Ù. »ï¼º¼­¿ïº´¿øÀº ¾ç¼ºÀÚ Ä¡·á±â µµÀÔÀ¸·Î ¼ö¼úºÎÅÍ Ç×¾Ï, ¹æ»ç¼± Ä¡·á¿¡ À̸£±â±îÁö ÇöÁ¸ÇÏ´Â ¾Ï Ä¡·á¹ý Ç®¶óÀξ÷À» ¿Ï¼ºÇØ ±¹³» ¾Ï Ä¡·áÀÇ ÆÐ·¯´ÙÀÓÀ» ¹Ù²Ù°Ú´Ù´Â..
    ±âŸÀÌÇöÁ¤ ÇコÁ¶¼± ±âÀÚ2016/04/29 14:32
  • ´Ü¹éÁú º¸ÃæÁ¦, ¾ó¸¶³ª ¸Ô¾î¾ß ±ÙÀ° ¹ß´Þ¿¡ µµ¿ò µÉ±î?

    ´Ü¹éÁú º¸ÃæÁ¦, ¾ó¸¶³ª ¸Ô¾î¾ß ±ÙÀ° ¹ß´Þ¿¡ µµ¿ò µÉ±î?

    ±Ù·Â ¿îµ¿À¸·Î ±ÙÀ°À» Ű¿ì·Á´Â »ç¶÷Àº ´Ü¹éÁúÀ» ÃæºÐÈ÷ ¼·ÃëÇÏ´Â °ÍÀÌ ÁÁ´Ù. ´Ü¹éÁúÀº ±ÙÀ° »ý¼º¿¡ ¿µÇâÀ» ¹ÌÃÄ ±ÙÀ°À» È¿°úÀûÀ¸·Î Ű¿ï ¼ö Àֱ⠶§¹®ÀÌ´Ù. ´Ü¹éÁúÀº ½ÄǰÀº ¹°·ÐÀÌ°í º¸ÃæÁ¦·Îµµ ¼·ÃëÇÒ ¼ö ÀÖ´Ù.±ÙÀ°Àº ´ëºÎºÐ ´Ü¹éÁú·Î ±¸¼ºµÅ ´Ü¹éÁúÀÌ ³óÃàµÈ º¸ÃæÁ¦..
    ±âŸ±èÇÏÀ± ÇコÁ¶¼± ±âÀÚ2016/04/29 14:24
  • "ºÓÀº °í±â°¡ ³ëÈ­ À¯¹ß"¡¦ ÇÏ·ç ÀûÁ¤ ¼·Ãë·®Àº?

    "ºÓÀº °í±â°¡ ³ëÈ­ À¯¹ß"¡¦ ÇÏ·ç ÀûÁ¤ ¼·Ãë·®Àº?

    ºÓÀº °í±â°¡ ³ëÈ­¿Í °ü·ÃÀÌ ÀÖ´Ù´Â ÁÖÀåÀÌ ²÷ÀÌÁö ¾Ê°í ÀÖ´Ù. Áö³­ÇØ ¼¼°èº¸°Ç±â±¸ »êÇÏ ±¹Á¦¾Ï¿¬±¸¼Ò(IARC)°¡ ºÓÀº °í±â¸¦ ¹ß¾Ï¹°Áú(2A±º)·Î ºÐ·ùÇßÀ¸¸ç, ÃÖ±Ù¿¡´Â ºÓÀº °í±â¸¦ ¸¹ÀÌ ¸Ô´Â ½Ä½À°üÀÌ Ç÷Áß Àλ꿰 ³óµµ¸¦ ³ô¿© ½Åü ³ªÀ̸¦ ³ôÀδٴ ¿¬±¸°¡ ¹ßÇ¥µÇ±âµµ Çß..
    ±âŸ±èÇÏÀ± ÇコÁ¶¼± ±âÀÚ2016/04/29 11:15
  • â»ó, ¿­»ó, Ÿ¹Ú»ó¡¦ »óó ºÎ¸£´Â À̸§µµ °¡Áö°¡Áö

    â»ó, ¿­»ó, Ÿ¹Ú»ó¡¦ »óó ºÎ¸£´Â À̸§µµ °¡Áö°¡Áö

    µû¶æÇÑ º½³¯, ¾ß¿ÜȰµ¿À» ÇÏ´Ù°¡ Å©°í ÀÛÀº »óó¸¦ ÀÔ´Â »ç¶÷ÀÌ ¸¹´Ù. ±×·±µ¥ ¾àǰ¼³¸í¼­³ª Áø´Ü¼­, º¸Çè ¾à°üÀ» º¸¸é »óó¸¦ ºÎ¸£´Â ¿ë¾î°¡ ´Ù¾çÇÒ »Ó ¾Æ´Ï¶ó ÇÑÀÚ·Î µÇ¾î ÀÖ¾î ¾î·Á¿òÀ» ´À³¢±âµµ ÇÑ´Ù. ¾î¶»°Ô ±¸ºÐÇÒ ¼ö ÀÖÀ»±î? ºÎ»ó(ݶ߿)¡¤¿Ü»ó(èâß¿)¡¤Ã¢»ó(óÜ..
    °Ç°­Á¤º¸±Û ¾ÈÁöÇö(KMI Çѱ¹ÀÇÇבּ¸¼Ò ÀÇÇйڻç)2016/04/29 10:59
  • °Ç°­À» ÁöŰ´Â Áý ¾È ±¸¼®±¸¼® û¼Ò¹ýÀº?

    °Ç°­À» ÁöŰ´Â Áý ¾È ±¸¼®±¸¼® û¼Ò¹ýÀº?

    ±ä ÇÏ·ç ³¡¿¡ Æí¾ÈÇÑ ÈÞ½ÄÀ» ÃëÇÏ´Â Áý ¾ÈÀº ´Ù¸¥ ¾î¶² °÷º¸´Ù û°áÇØ¾ß ÇÑ´Ù. Áý ¾ÈÀº ½Àµµ¿Í ¿Âµµ°¡ ÀûÀýÈ÷ À¯ÁöµÇ±â ¶§¹®¿¡ ¼¼±ÕÀÌ ¹ø½ÄÇϱ⠽±´Ù. ¶ÇÇÑ, ÁÖ±âÀûÀ¸·Î ¾µ°í ´ÛÁö ¾ÊÀ¸¸é ¸ÕÁö°¡ ½×¿© °Ç°­¿¡ ¾Ç¿µÇâÀ» ÁÙ ¼ö ÀÖ´Ù. °Ç°­°ü¸®ÀÇ ½ÃÀÛÀÎ Áý ¾È ±¸¼®±¸¼® û..
    ±âŸ±èÇÏÀ± ÇコÁ¶¼± ±âÀÚ2016/04/29 10:40
  • 4731
  • 4732
  • 4733
  • 4734
  • 4735
  • 4736
  • 4737
  • 4738
  • 4739
  • 4740
¸Ç À§·Î