¶óÀÌÇÁ

  • Ȩ
  • ¶óÀÌÇÁ
  • ºäƼ
  • Ǫµå
  • ´ÙÀÌ¾îÆ®
  • ÇÇÆ®´Ï½º
  • ¿©Çà
  • Ã¥/¹®È­
  • Çѱ¹È­ÀÌÀÚÁ¦¾à, ¼Ò¾Æ¾Ï ȯÀÚ Ä¡·á ±â±Ý Àû¸³ Ä·ÆäÀÎ ÁøÇà

    Çѱ¹È­ÀÌÀÚÁ¦¾àÀº Áö³­ 20ÀÏ ±¸¼¼±ºÀÚ¼±³¿ºñº»ºÎ¿¡ ¡®·¯ºê ¾×¼Ç(Love Action)¡¯ Ä·ÆäÀÎÀ» ÅëÇØ ¸¶·ÃµÈ 1õ¸¸¿øÀ» ¼Ò¾Æ¾Ï ȯÀÚ Ä¡·á ±â±ÝÀ¸·Î Àü´ÞÇß´Ù.À̹ø Ä·ÆäÀÎÀº È­ÀÌÀÚ Ç×¾ÏÁ¦ »ç¾÷ºÎ°¡ ÀÇ·áÁø°ú Çù·ÂÇÏ¿© ȯÀÚ¿¡°Ô »ç¶ûÀ» Àü´ÞÇÑ´Ù´Â Àǹ̸¦ ´ãÀº »çȸ°øÇåȰµ¿À¸·Î..
    ´Ü½ÅÀ̺¸¶÷ ÇコÁ¶¼± ±âÀÚ 2016/09/22 17:59
  • °Ç±¹´ëº´¿ø Á¤ÀºÁÖ ±³¼ö, ½Ä¾àó Áß¾Ó¾à»ç½ÉÀÇ¿øÈ¸ Àü¹®°¡ À§ÃË

    °Ç±¹´ëº´¿ø Á¤ÀºÁÖ ±³¼ö, ½Ä¾àó Áß¾Ó¾à»ç½ÉÀÇ¿øÈ¸ Àü¹®°¡ À§ÃË

    °Ç´ëº´¿ø Á¤ÀºÁÖ ±³¼ö°¡ ½ÄǰÀǾàǰ¾ÈÀüó Áß¾Ó¾à»ç½ÉÀÇÀ§¿øÈ¸ Àü¹®°¡·Î À§Ã˵ƴÙ. Áß¾Ó¾à»ç½ÉÀÇÀ§¿øÈ¸´Â ½ÄǰÀǾàǰ¾ÈÀüóÀå°ú º¸°Çº¹ÁöºÎÀå°üÀÇ ÀÚ¹®±â±¸·Î Áß¾Ó¾à»ç½ÉÀÇÀ§¿øÈ¸ ½ÉÀÇ»çÇ×ÀÇ »çÀüÁ¶»ç¿Í ¿¬±¸, ÀǾàǰ µî ¾ÈÀü°ü¸® ¼öÇà¿¡ ÇÊ¿äÇÑ Á¦¹Ý Á¶»ç, ÀǾàǰ µîÀÇ..
    ±âŸÀÌÇöÁ¤ ÇコÁ¶¼± ±âÀÚ2016/09/22 14:06
  • ÇѼֺ´¿ø, ÀÇ·á±â°ü ÀÎÁõ ±âÁØ ¸ÂÃç ¼ö¼ú½Ç¡¤Áß¾Ó°ø±Þ½Ç ¸®¸ðµ¨¸µ..

    ÇѼֺ´¿ø, ÀÇ·á±â°ü ÀÎÁõ ±âÁØ ¸ÂÃç ¼ö¼ú½Ç¡¤Áß¾Ó°ø±Þ½Ç ¸®¸ðµ¨¸µ..

    º¸°Çº¹ÁöºÎ ÁöÁ¤ ´ëÀåÇ×¹®Àü¹®º´¿ø ÇѼֺ´¿øÀº ÀÇ·á±â°ü ÀÎÁõ ±âÁØ¿¡ ¸ÂÃç ¼ö¼ú½Ç°ú Áß¾Ó°ø±Þ½ÇÀ» Àü¸é ¸®¸ðµ¨¸µÇß´Ù°í ¹àÇû´Ù. ¼ö¼ú½ÇÀº Ç׿ÂÇ×½À±â, Àü¿­±³È¯±â, ÇìÆÄ 3Áß ÇÊÅÍ µîÀ» ¼³Ä¡ÇØ ¹«±Õ½Ã½ºÅÛÀ» °®ÃèÀ¸¸ç, ¼ö¼ú½Ç ³»ºÎ¿Í º¹µµ ¿Ü¸èÀº ¾Ë·ç¹Ì´½º¹ÇÕÆÇ³Ú°ú Çâ±Õ..
    ±âŸÀÌÇöÁ¤ ÇコÁ¶¼± ±âÀÚ2016/09/22 14:00
  • ´ëÇÑÀÇÇÐȸ ¿µ¹®ÇмúÁö, ±¹Á¦ÀÇÇÐÇмúÁöÆíÁýÀÎÇùÀÇȸ ȸ¿øÀ¸·Î ¼±..

    ´ëÇÑÀÇÇÐȸ°¡ ¹ßÇàÇÏ´Â ¿µ¹® Á¾ÇÕÀÇÇÐ ÇмúÁö JKMS(Journal of Korean Medical Science)°¡ ±¹Á¦ ÀÇÇÐÇмú ´ÜüÀÎ ±¹Á¦ÀÇÇÐÇмúÁöÆíÁýÀÎÇùÀÇȸ(International Committee of Medical Journal Editors, ICMJE, http://icmje.org)ÀÇ Á¤½Ä ȸ¿øÀ¸·Î ¼±Á¤µÇ¾ú´Ù.´ëÇÑÀÇÇÐȸ´Â ..
    ±âŸ±èÇÏÀ± ÇコÁ¶¼± ±âÀÚ2016/09/22 13:58
  • Æó¾Ï ÃʱâÁõ»ó¡¦ °©ÀÚ±â üÁß 5% ÀÌ»ó ºüÁö¸é ÀǽÉ

    Æó¾Ï ÃʱâÁõ»ó¡¦ °©ÀÚ±â üÁß 5% ÀÌ»ó ºüÁö¸é ÀǽÉ

    ÃÖ±Ù Á¦3Â÷(2016~2020³â) ±¹°¡ ¾Ï °ü¸® Á¾ÇÕ°èȹÀ¸·Î ±¹°¡¾Ï°ÇÁø¿¡ Æó¾Ï°ËÁøÀÌ Ãß°¡·Î µµÀԵƴÙ. Æó¾ÏÀº ¾Ï»ç¸ÁÀÚ Áß °¡Àå ³ôÀº ºñÁß(22.8%)À» Â÷ÁöÇϰí, 2¹øÂ°·Î ³·Àº 5³â »ýÁ¸À²(23.5%)À» º¸ÀÌ´Â ¾ÏÀÌ´Ù. µû¶ó¼­Á¶±â ¹ß°ß°ú Ä¡·á¸¦ À§ÇØ Æó¾Ï ÃʱâÁõ»ó¿¡ ´ëÇØ ¾Ë¾ÆµÎ°í..
    ±âŸÀ̱â»ó ÇコÁ¶¼± ÀÎÅϱâÀÚ2016/09/22 10:42
  • °¡À»¿¡ ¾ÇÈ­ÇÏ´Â °Ç¼±, °¡·Æ´Ù°í ±ÜÀ¸¸é ¿Â¸ö¿¡ ÆÛÁø´Ù

    °¡À»¿¡ ¾ÇÈ­ÇÏ´Â °Ç¼±, °¡·Æ´Ù°í ±ÜÀ¸¸é ¿Â¸ö¿¡ ÆÛÁø´Ù

    °¡À»ÀÌ µÇ¸é °Ç¼± ȯÀÚÀÇ Áõ»óÀÌ ¾ÇÈ­µÈ´Ù. ´ë±â°¡ °ÇÁ¶ÇØÁö°í ÀÏÁ¶·®ÀÌ °¨¼ÒÇØ, ¾Ë·¹¸£±â ¿øÀÎ ¹°ÁúÀ» À̰ܳ»´Â ½Åü ¸é¿ª·ÂÀÌ ¶³¾îÁö±â ¶§¹®ÀÌ´Ù. °¡À»¿¡ À¯µ¶ °Ç¼±ÀÌ ¾ÇÈ­µÇ´Â ÀÌÀ¯¿Í ´ëó¹ý¿¡ ´ëÇØ ¾Ë¾Æº»´Ù.¡Þ°Ç¼±, ¸é¿ª¼¼Æ÷ °úµµÈ­°Ô Ȱ¼ºÈ­µÇ¸ç ³ªÅ¸³ª°Ç¼±À̶õ Àº..
    ÇǺΰú±èÇÏÀ± ÇコÁ¶¼± ±âÀÚ2016/09/22 10:28
  • [Ä«µå´º½º] ¹è²ÅÈú¸µÀ¸·Î Ȱ·ÂÀ» ´õÇϼ¼¿ä!

    [Ä«µå´º½º] ¹è²ÅÈú¸µÀ¸·Î Ȱ·ÂÀ» ´õÇϼ¼¿ä!

    ¡®ÇÇ·Î °øÈ­±¹¡¯ ´ëÇѹα¹Åë°èûÀÇ 2015³â ÀÚ·á¿¡ µû¸£¸é ´ëÇѹα¹ ±¹¹Î 10¸í Áß 8¸íÀÌ ÇǷΰ¨À» ´À³¤´Ù°í ÇÕ´Ï´Ù.³ª´Â ¸¸¼ºÇÇ·Î »óÅÂÀϱî? - ÃæºÐÈ÷ ½¬¾îµµ ÇǰïÇÏ´Ù.- ÀáÀ» ÀÚ°í ÀϾµµ »óÄèÇÏÁö ¾Ê°í ¸öÀÌ ¹«°Ì´Ù.- ¾÷¹« ´É·ÂÀÌ ¶³¾îÁø´Ù. - ÁýÁ߷°ú ±â¾ï·ÂÀÌ ¶³¾î..
    Ä«µå´º½ºÇコÁ¶¼± Ä«µå´º½ºÆÀ2016/09/22 10:20
  • ¸é¿ª·Â Áõ°­ ½Äǰ 'Çö¹Ì'·Î °¡À» °Ç°­ ì±â¼¼¿ä

    ¸é¿ª·Â Áõ°­ ½Äǰ 'Çö¹Ì'·Î °¡À» °Ç°­ ì±â¼¼¿ä

    °¡À»Ã¶¿¡´Â ³ôÀº Àϱ³Â÷·Î ¸é¿ª·Â ÀúÇÏ¿¡ ÁÖÀÇÇØ¾ß ÇÑ´Ù. ³¯¾¾°¡ ÀÚÁÖ º¯Çϸé ÀÎü´Â ±×¿¡ ¸Â´Â ü¿ÂÀ» Á¶ÀýÇϱâ À§ÇØ ¸¹Àº ¿¡³ÊÁö¸¦ ¼ÒºñÇϱ⠶§¹®ÀÌ´Ù. µû¶ó¼­ °¡À»Ã¶¿¡´Â ¸é¿ª·Â Áõ°­ ½ÄǰÀ» ¼·ÃëÇÏ´Â µî ưưÇÑ ¸öÀ» À¯ÁöÇϱâ À§ÇØ ³ë·ÂÇØ¾ß ÇÑ´Ù. ¸é¿ª·ÂÀ» ³ô..
    ±âŸÀ̱â»ó ÇコÁ¶¼± ÀÎÅϱâÀÚ2016/09/22 10:05
  • ´ëÇѽŰ泻ºÐºñ¿¬±¸È¸, 12¿ù Á¦ÁÖ¼­ ±¹Á¦Çмú´ëȸ °³ÃÖ

    ´ëÇѽŰ泻ºÐºñ¿¬±¸È¸´Â ¿À´Â 12¿ù 2ÀϺÎÅÍ 4ÀϱîÁö 3Àϰ£ Á¦ÁÖ·Ôµ¥½ÃƼȣÅÚ Å©¸®½ºÅ»º¼·ë¿¡¼­ ±¹Á¦Çмú´ëȸ¸¦ °³ÃÖÇÑ´Ù.À̹ø ¸ðÀÓÀº INF Çѱ¹Áö¿ª(INF-KB, International Neuroendocrine Federation-Korea Branch)ÀÇ È¸ÀåÀ» ÇöÀç ´ëÇѽŰ泻ºÐºñ¿¬±¸È¸ÀÇ È¸ÀåÀÎ ±è¼º¿î..
    ±âŸ±èÇÏÀ± ÇコÁ¶¼± ±âÀÚ2016/09/22 10:01
  • ¼½½º¸®½º,  ¾î¶»°Ô ±Øº¹ÇÒ ¼ö ÀÖ¾î¿ä?

    ¼½½º¸®½º, ¾î¶»°Ô ±Øº¹ÇÒ ¼ö ÀÖ¾î¿ä?

    Q. ¸¶Áö¸· ¼½½º¸¦ ÇÑ Áö°¡ ¾ðÁ¦ÀÎÁö ±â¾ïÀÌ Àß ³ªÁö ¾Ê½À´Ï´Ù. ¿ì¸® ºÎºÎµµ ³²µéÀÌ ¸»ÇÏ´Â ¼½½º¸®½º ºÎºÎÀÎ °Í °°½À´Ï´Ù. ³ªÀÌ´Â 40´ë ÈĹÝÀÌ°í ¾ÆÀ̰¡ µÑÀÌ ÀÖ½À´Ï´Ù. Ç×°£¿¡ ¼½½º°¡ ºÎºÎ°ü°è¸¦ À¯ÁöÇÏ´Â µ¥ Áß¿äÇÏ´Ù´Â ¸»À» ¸¹ÀÌ µé¾ú½À´Ï´Ù. ¼±»ý´Ô²²¼­ Á¶»çÇÑ ¼½½º¸®..
    ¼ºÀÇÇÐ±Û ÀÌÀ±¼ö(ÀÌÀ±¼ö¡¤Á¶¼º¿Ïºñ´¢±â°úÀÇ¿ø ¿øÀå)2016/09/22 09:38
  • ÇູÇÑ ³ëÈĸ¦ À§ÇÑ Á¶°Ç, »çȸÀû °ü°è¸¦ ÁÁ°Ô ÇÏ´Â 5°¡Áö

    ÇູÇÑ ³ëÈĸ¦ À§ÇÑ Á¶°Ç, »çȸÀû °ü°è¸¦ ÁÁ°Ô ÇÏ´Â 5°¡Áö

    ÇູÇÑ ³ëÈĸ¦ À§ÇØ ºÎºÎ¡¤Àڳࡤ챏 °ü°è¿¡ ÁÖÀǸ¦ ±â¿ï¿´´Ù¸é ¸¶Áö¸·Àº »çȸÀû °ü°è¿¡ ½Å°æ ¾µ Â÷·Ê´Ù. ³ëÈÄÀÇ µçµçÇÑ ÀÚ»êÀÌ µÉ »çȸÀû °ü°è¸¦ ÁÁ°Ô ÇÏ´Â ¹æ¹ýÀ» »ìÆìº»´Ù. 1. ¿ø¸¸ÇÑ »çȸÀû °ü°è´Â 'ÀÚ»ê'ÀÓÀ» ±â¾ïÇ϶ó±»ÀÌ 'Àΰ£Àº »çȸÀû µ¿¹°'À̶ó´Â ¸»À» ..
    °Ç°­Á¤º¸±è¹ÎÁ¤ ÇコÁ¶¼± ±âÀÚ2016/09/22 09:20
  • µ¶¼­½Ç¿¡¼­ °øºÎ Àß ¾È µÈ´Ù¸é, Ä«Æä·Î °¡ º¸¼¼¿ä

    µ¶¼­½Ç¿¡¼­ °øºÎ Àß ¾È µÈ´Ù¸é, Ä«Æä·Î °¡ º¸¼¼¿ä

    ¼ÒÀ½Àº ÈçÈ÷ ÁýÁß·ÂÀ» È寮·¯¶ß¸®°í ºÒÄè°¨À» ¶°¿Ã¸®°Ô ÇÏÁö¸¸, ¸¶À½ÀÇ ¾ÈÁ¤À» ÁÖ´Â ¼ÒÀ½µµ ÀÖ´Ù. ¹Ù·Î '¹é»ö¼ÒÀ½'ÀÌ´Ù. Á¶¿ëÇÑ µ¶¼­½Çº¸´Ù ¾à°£ÀÇ ¼ÒÀ½ÀÌ ÀÖ´Â °÷¿¡¼­ ÁýÁßÀÌ ´õ ÀߵǴ ´À³¦¿¡ Ä«Æä·Î ÇâÇÏ´Â ÀÌÀ¯´Â ¹é»ö¼ÒÀ½ ¶§¹®ÀÌ´Ù. ¾ÈÁ¤°¨°ú ÁýÁß·ÂÀ» ³ô¿©ÁÖ´Â ¹é..
    ±âŸÃÖÁöÇý ÇコÁ¶¼± ÀÎÅϱâÀÚ2016/09/22 09:00
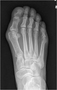
  • »õ³¢¹ß°¡¶ô ÈÖ¾î ½Å¹ß ½ÅÀ» ¶§¸¶´Ù ¹°Áý¡¦ Ä¡·á¹ýÀº?

    »õ³¢¹ß°¡¶ô ÈÖ¾î ½Å¹ß ½ÅÀ» ¶§¸¶´Ù ¹°Áý¡¦ Ä¡·á¹ýÀº?

    Á÷ÀåÀÎ Á¤¸ð(34)¾¾´Â ÀÛÀº ۰¡ ÄÞÇ÷º½ºÀÎ Å¿¿¡ 10cm ³ôÀÌÀÇ ÇÏÀÌÈúÀ» Áñ°Ü ½Å¾ú´Ù. ±×·¯´ø Áß »õ³¢¹ß°¡¶ô ¸ð¾çÀÌ ÀÚ²Ù º¯ÇÏ´Â °Í °°¾Æ º´¿øÀ» ãÀº Á¤¾¾´Â ÀÇ»ç·ÎºÎÅÍ '¼Ò°Ç¸··ù'¶ó´Â Áø´ÜÀ» ¹Þ¾Ò´Ù.¼Ò°Ç¸··ù´Â »õ³¢¹ß°¡¶ôÀÌ ¾öÁö¹ß°¡¶ô ÂÊÀ» ÇâÇØ ÈÖ´Â °ÍÀ¸·Î, »õ³¢¹ß..
    ±âŸÃÖÁöÇý ÇコÁ¶¼± ÀÎÅϱâÀÚ2016/09/22 08:00
  • °¡À» »êÇà, ÇÑ ´Þ ÀüºÎÅÍ ÁغñÇØ¾ß ºÎ»ó ¾øÀÌ Áñ±ä´Ù

    °¡À» »êÇà, ÇÑ ´Þ ÀüºÎÅÍ ÁغñÇØ¾ß ºÎ»ó ¾øÀÌ Áñ±ä´Ù

    º»°ÝÀûÀÎ °¡À» ³¯¾¾°¡ À̾îÁö¸ç »êÇàÀ» ÁغñÇÏ´Â »ç¶÷ÀÌ ¸¹´Ù. ´ÜdzÀÌ ¸¸µé¾î³»´Â dz±¤À» Áñ±æ ¼ö ÀÖÁö¸¸, ÃæºÐÇÑ Áغñ¸¦ ÇÏÁö ¾ÊÀº »óÅ¿¡¼­ °©Àڱ⠻êÇàÀ» ÇÏ¸é ºÎ»óÀ» ´çÇϱ⠽±´Ù. ºÎ»ó ¾øÀÌ °Ç°­ÇÏ°Ô »êÇàÇÏ´Â ¹æ¹ýÀ» ¾Ë¾Æº»´Ù.¡Þ»êÇà ÇÑ ´Þ ÀüºÎÅÍ ±ÙÀ° ´Ü·ÃÇØ¾ß...
    ±âŸ±èÇÏÀ± ÇコÁ¶¼± ±âÀÚ2016/09/22 07:00
  • ÇѾç´ëº´¿ø ±è½ÂÇö ±³¼ö, 'Á¦8Â÷ Appel ±³¼ö ÃÊû Àú¸íÀλç ..

    ÇѾç´ëº´¿ø ±è½ÂÇö ±³¼ö, 'Á¦8Â÷ Appel ±³¼ö ÃÊû Àú¸íÀλç ..

    ÇѾç´ëº´¿ø ½Å°æ°ú ±è½ÂÇö ±³¼ö°¡ 12ÀÏ ¹Ì±¹ ÈÞ½ºÅÏ ¸Þ¼Òµð½ºÆ®º´¿ø¿¡¼­ ¿­¸° 'Á¦ 8Â÷ Appel ±³¼ö ÃÊû Àú¸íÀÎ»ç °­¿¬'¿¡ ÃÊûµÅ 'Áß°£¿± Áٱ⼼Æ÷ÀÇ ¸é¿ª¡¤¿°Áõ Á¶Àý±âÀüÀ» ÅëÇÑ ·ç°Ô¸¯º´ Ä¡·á'¸¦ ÁÖÁ¦·Î Ưº° °­¿¬À» ÁøÇàÇß´Ù. Appel ±³¼ö ÃÊû Àú¸íÀÎ»ç °­¿¬Àº ½Å°æ°ú..
    ±âŸÀÌÇöÁ¤ ÇコÁ¶¼± ±âÀÚ2016/09/21 15:13
  • C&C½Å¾à¿¬±¸¼Ò, ¸é¿ª¡¤¾Ï ºÐ¾ß Çõ½Å½Å¾à °³¹ß º»°ÝÈ­

    ¹ÙÀÌ¿Àº¥Ã³ C&C½Å¾à¿¬±¸¼Ò°¡ ±Û·Î¹ú ¼öÁØÀÇ Å×Å©³î·¯Áö Ç÷§ÆûÀ» ÅëÇØ Çõ½Å½Å¾à(First-in-Class) °³¹ßÀ» °¡¼ÓÈ­ ÇÑ´Ù.C&C½Å¾à¿¬±¸¼Ò´Â Çõ½Å½Å¾à ÆÄÀÌÇÁ¶óÀÎÀ» ´ë°Å °ø°³Çϰí, ¸é¿ªÁúȯġ·áÁ¦¿Í Ç×¾ÏÁ¦ µî Çõ½Å½Å¾à Èĺ¸¹°Áú 2Á¾À» È®Á¤ÇÏ°í °³¹ß¿¡ Âø¼öÇÑ´Ù°í ¹à..
    ´Ü½ÅÀ̺¸¶÷ ÇコÁ¶¼± ±âÀÚ 2016/09/21 14:56
  • [¾Ë¸³´Ï´Ù] ÇコÁ¶¼± ºñŸÅõ¾î ¡®Å©·çÁî ³²¹Ì ÀÏÁÖ¡¯ ¼³¸íȸ °³ÃÖ..

    [¾Ë¸³´Ï´Ù] ÇコÁ¶¼± ºñŸÅõ¾î ¡®Å©·çÁî ³²¹Ì ÀÏÁÖ¡¯ ¼³¸íȸ °³ÃÖ..

    ÇコÁ¶¼±ÀÌ ¸¸µç ¿©Çà ºê·£µå ¡®ºñŸÅõ¾î¡¯´Â ÆíÇÏ°í ·°¼Å¸®ÇÑ Å©·çÁî ¿©ÇàÀÇ ÀåÁ¡°ú ³²¹Ì ±¸¼®±¸¼®À» µÑ·¯º¸´Â À°·Î °ü±¤ÀÇ ÀåÁ¡À» ÇÑ ¹ø¿¡ Áñ±æ ¼ö ÀÖ´Â ¡®Å©·çÁî Ÿ°í ¶°³ª´Â ³²¹Ì ÀÏÁÖ¡®¸¦ 2017³â 1¿ù Ãâ¹ßÇÑ´Ù. ¿©Çà Ãâ¹ß¿¡ ¾Õ¼­ ³²¹Ì ¿©Çà¿¡ °ü½É ÀÖ´Â ÁßÀå³âÀ» ´ë..
    ´Ü½Å°­¹Ì¼÷ ÇコÁ¶¼± ±âÀÚ2016/09/21 14:54
  • ¾ï»õ ÇÉ µéÆÇ, ºÓÀº ´Üdz À¶´Ü µû¶ó °¡À» ¼ÓÀ¸·Î

    ¾ï»õ ÇÉ µéÆÇ, ºÓÀº ´Üdz À¶´Ü µû¶ó °¡À» ¼ÓÀ¸·Î

    ÀϺ» ±Ô½´Áö¹æ¿¡ Á¶¼ºµÈ ¡®±Ô½´¿Ã·¹¡¯´Â Á¦Áֿ÷¹ ºê·£µå¸¦ ±×´ë·Î µý ÀϺ»ÆÇ Æ®·¹Å· ÄÚ½º´Ù. 2012³â 2¿ù 4°³ ÄÚ½º¸¦ ½ÃÀÛÀ¸·Î, ÇöÀç±îÁö ÃÑ 17ÄÚ½º°¡ Á¶¼ºµÆ´Ù. Á¦ÁÖµµ¸¦ ÇÑ ¹ÙÄû µµ´Â Á¦Áֿ÷¹¿Í ´Þ¸®, ÀϺ» ±Ô½´ÀÇ 6°³ Çö¿¡ Èð¾îÁ® ÀÖ¾î °¢±â ´Ù¸¥ Áö¿ªÀ» ¿©ÇàÇÏ´Â °Í..
    ±âŸ°­¹Ì¼÷ ÇコÁ¶¼± ±âÀÚ2016/09/21 13:39
  • ±èÆ÷°øÇ× È«¿ª ȯÀÚ ¹ß»ý¡¦ ¹ß¿­¡¤¹ßÁø¡¤¼³»ç ³ª¸é ÀǽÉ

    ±èÆ÷°øÇ× È«¿ª ȯÀÚ ¹ß»ý¡¦ ¹ß¿­¡¤¹ßÁø¡¤¼³»ç ³ª¸é ÀǽÉ

    Áúº´°ü¸®º»ºÎ°¡ ±èÆ÷°øÇ× ³» ÀϺ» ±¹Àû Ç×°ø»ç »ç¹«Á÷ ³²¼º(38¼¼)ÀÌ 19ÀÏ È«¿ªÀ¸·Î È®ÁøµÆ´Ù°í ¹àÇû´Ù. È«¿ªÀº Àü¿°·ÂÀÌ ¸Å¿ì ³ô¾Æ Áúº´°ü¸®º»ºÎ´Â ÇØ´ç ȯÀÚÀÇ Á¢ÃËÀÚ µî Ãß°¡È¯ÀÚ ¿©ºÎ¸¦ Á¶»çÇϰí ÀÖ´Ù.ÇØ´ç ȯÀÚ´Â Áö³­ 7ÀÏ ¹ß¿­, ±âħ µî °¨±â Áõ»óÀÌ ³ªÅ¸³­ ÈÄ 11ÀÏ..
    ±âŸÀ̱â»ó ÇコÁ¶¼± ÀÎÅϱâÀÚ2016/09/21 13:29
  • ¼ö¸éÁ¦°¡ ºÒ¸éÁõ À¯¹ß¡¦ ¾à ¾È ¾²°í Ä¡·áÇÏ´Â ¹æ¹ýÀº?

    ¼ö¸éÁ¦°¡ ºÒ¸éÁõ À¯¹ß¡¦ ¾à ¾È ¾²°í Ä¡·áÇÏ´Â ¹æ¹ýÀº?

    ¼ö¸éÀå¾Ö ȯÀÚ°¡ ²ÙÁØÈ÷ Áõ°¡ÇÏ´Â °¡¿îµ¥, ¼ö¸éÁ¦¸¦ ã´Â ȯÀÚµµ ´Ã°í ÀÖ´Ù. ÇÏÁö¸¸ ¼ö¸éÁ¦¸¦ °ú´Ùº¹¿ëÇÏ¸é ±â¾ï»ó½Ç, ÀÚ»ìÃæµ¿ µîÀÇ ºÎÀÛ¿ëÀÌ »ý±æ ¼ö ÀÖ¾î ÁÖÀÇÇØ¾ß ÇÑ´Ù. ¶Ç ÀϺΠ¼ö¸éÁ¦ÀÇ °æ¿ì ½ÅüÀû ¶Ç´Â ½É¸®Àû ±Ý´Ü Áõ»óÀÌ ÀÖ¾î ½±°Ô Áß´ÜÇÏ±â ¾î·Æ°í, ÀÇÁ¸ÀÌ »ý..
    Á¤½Å°ú±èÇÏÀ± ÇコÁ¶¼± ±âÀÚ2016/09/21 13:00
  • 4601
  • 4602
  • 4603
  • 4604
  • 4605
  • 4606
  • 4607
  • 4608
  • 4609
  • 4610
¸Ç À§·Î