-
- ¡°´ëº¯¿¡ ±â»ýÃæ ¹Ù±Û¹Ù±Û¡±¡¦ 40´ë Ñû »ç¸Á ÀÌÀ¯, ¡®ÀÌ..
- [26/01/30 02:00]
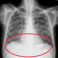
- ¾ËÄÚ¿Ã Áßµ¶À̾ú´ø 40´ë ³²¼ºÀÌ ±â»ýÃæ °¨¿° ÈÄ »ç¸ÁÇÑ »ç·Ê°¡ º¸°íµÆ´Ù.¸ß½ÃÄÚ ´©¿¡º¸·¹¿Â ÀÚÄ¡´ë ºÎ¼Ó º´¿ø ÀÓ»ó±â»ýÃæÇаú ÀÇ·áÁø¿¡ µû¸£¸é, 40¼¼ ³²¼ºÀÌ 2ÁÖ°£ º¹Åë°ú ±¸Åä Áõ»óÀÌ ³ªÅ¸³ª ³»¿øÇß´Ù. üÁßµµ 10kg..
-
- ÈÀå½Ç¿¡ ¡®À̰͡¯ Çϳª µÎ¸é ¼÷¸é¿¡ »ì±Õ È¿°ú±îÁö¡¦ ¹»..
- [26/01/30 01:20]
- Àá¿¡ ½±°Ô µéÁö ¸øÇÏ´Â »ç¶÷Àº ÈÀå½Ç¿¡ ¡®À¯Ä®¸³Åõ½º¡¯¸¦ µé¿©º¸ÀÚ. ±äÀå°ú ½ºÆ®·¹½º¸¦ ¿ÏÈÇØ ¼ö¸éÀÇ ÁúÀ» ³ôÀÏ »Ó ¾Æ´Ï¶ó, À¯ÇرÕÀÌ Áõ½ÄÇÏ´Â °Íµµ ¸·´Â´Ù. À¯Ä®¸³Åõ½ºÀÇ È¿´É°ú Ȱ¿ë ¹æ¹ý¿¡ ´ëÇØ ¾Ë¾Æº»´Ù. À¯Ä®..
-
- Ç÷°ü ³ªºüÁú±î ÇÇÇߴµ¥¡¦ ¼Ò°í±â, ¡®ÀÌ·¸°Ô¡¯ ¸ÔÀ¸¸é ´ß..
- [26/01/29 20:40]
- ´ç´¢º´ Àü ´Ü°èÀÎ ¼ºÀÎÀÌ °Ç°ÇÑ ½Ä´ÜÀÇ ÀϺηΠ¼Ò°í±â¸¦ ¼·ÃëÇϸé Çʼö ¿µ¾ç¼Ò¸¦ ÃæÁ·ÇÏ¸ç ¹é»öÀ° ¼·Ãë¿Í ºñ±³ÇßÀ» ¶§ ´ë»ç, ½ÉÇ÷°ü °Ç°¿¡ ºÎÁ¤ÀûÀÎ ¿µÇâÀ» ¹ÌÄ¡Áö ¾Ê´Â´Ù´Â ¿¬±¸ °á°ú°¡ ³ª¿Ô´Ù.´ç´¢º´ Àü ´Ü°è´Â ..
-
- ÇÏ·ç ¡®À̰͡¯ ¼¼ ÀÜ ¸¶¼Ì´õ´Ï¡¦ ´ëÀå¾Ï »ýÁ¸À² ¿À¸£°í,..
- [26/01/29 20:20]
- Ä¿ÇǸ¦ ¸¶½Ã´Â ´ëÀå¾Ï ȯÀÚ°¡ ±×·¸Áö ¾ÊÀº ȯÀÚº¸´Ù »ýÁ¸À²ÀÌ ³ô°í Àç¹ß À§ÇèÀº ³·´Ù´Â ¿¬±¸ °á°ú°¡ ³ª¿Ô´Ù.´ëÀü´ë ¼¿ïÇѹ溴¿ø µ¿¼¾Ï¼¾ÅÍ Á¶Á¾°ü ±³¼ö ¿¬±¸ÆÀÀº ´ëÀå¾Ï ȯÀÚ 5442¸íÀ» ´ë»óÀ¸·Î Ä¿ÇÇ ¼·Ãë¿Í Àå±â ..
-
- ¶È°°Àº ¿Ã»©¹ÌÁ·À̾ ¿©¼ºÀÌ ³²¼ºº¸´Ù ´õ À§Çè
- [26/01/29 19:30]
- Àú³á ½Ã°£´ë¿¡ ´õ Ȱ¹ßÈ÷ Ȱµ¿ÇÏ´Â, À̸¥¹Ù '¿Ã»©¹ÌÁ·'Àº ³·¿¡ Ȱµ¿ÇÏ´Â »ç¶÷µéº¸´Ù ½ÉÇ÷°ü °Ç°ÀÌ ´õ ³ª»Ü ¼ö ÀÖ´Ù´Â ¿¬±¸ °á°ú°¡ ³ª¿Ô´Ù. ƯÈ÷ ÀÌ·± °æÇâÀº ¿©¼º¿¡°Ô¼ ´õ ¶Ñ·ÇÇÏ°Ô ³ªÅ¸³µ´Ù.¹Ì±¹ ÇϹöµå´ë ÀÇ´ë ºê..
-
- ¡®µÑ° Àӽš¯ ¿ÀÇØ¹ÞÀº ¶ö¶ö, ÀÇÁö ºÒÅ¿ì¸ç ¡®ÀÌ ¿îµ¿..
- [26/01/29 17:09]
- À¯Æ©¹ö ¶ö¶ö(32)ÀÌ °è´ÜÀ» ¿À¸£¸ç ¿îµ¿ÇÏ´Â ¸ð½ÀÀ» °ø°³Çß´Ù.Áö³ 28ÀÏ ¶ö¶öÀº ÀÚ½ÅÀÇ ÀνºÅ¸±×·¥¿¡ ¾ÆÆÄÆ® °è´ÜÀ» ¿À¸£´Â ¿µ»óÀ» ¿Ã·È´Ù. ±×´Â "Áö±Ý ÁöÇÏ 3ÃþºÎÅÍ 18Ãþ±îÁö °è´Ü ¿À¸£±â¸¦ Çϰí ÀÖ´Ù. Åð±ÙÇÏ°í °è´Ü..
-
- ¡°ÅëdzÀº °í±â ¸¹ÀÌ ¸Ô¾î »ý±ä º´¡± SNS ¼Ó °Ç° Á¤º¸ÀÇ..
- [26/01/29 15:36]
- ¼Ò¼È¹Ìµð¾î(SNS) ¡®Æ½Åå(Tiktok)¡¯¿¡ ¿Ã¶ó¿Â Åëdz °ü·Ã ¿µ»óÀÌ ÆíÇ⼺ÀÌ ³ô°í Á¤È®¼ºÀº ¶³¾îÁø´Ù´Â ÁöÀûÀÌ ³ª¿Ô´Ù.¹Ù¶÷¸¸ ½ºÃĵµ ¾ÆÇÁ´Ù´Â ¶æÀÇ ¡®Åëdz(÷Ôù¦)¡¯Àº Ç÷¾× ¼Ó ¿ä»ê ³óµµ°¡ ³ô¾ÆÁ® °©Àڱ⠰üÀýÀÌ »¡°²°Ô ..
-
- [Àü¹®º´¿ø ¸íÀÇ ¸®ºä] ¼Õ¿¡ ÈûÀÌ ºüÁ³´Ù? ¡®ÀÌ·± Çൿ¡¯..
- [26/01/29 14:12]
- ÇコÁ¶¼± Àü¹®º´¿ø ¸íÀǸ¦ ¸¸³ª´Ù, <¼öºÎÁúȯ>Æí ¹Ù¸¥¼¼»óº´¿ø È«ÀÎÅ ¼öÁ·ºÎ¼¾ÅÍÀåÀü¹®º´¿øÀÇ ¿ì¼öÇÑ ÀÇ·áÁøÀ» ¸¸³ª Áúȯ¿¡ ´ëÇÑ Á¤º¸¿Í Ä¡·á¹ý¿¡ ´ëÇÑ À̾߱⸦ µè´Â ÄÚ³Ê, À̹ø ÁÖÁ¦´Â ¼öºÎÁúȯÀÌ´Ù. ¹Ù¸¥¼¼..
-
- ¼ºº°¿¡ µû¶ó Ç×¾ÏÁ¦ È¿°ú ´Þ¶óÁ®¡¦ ¡°¡®¼ºÂ÷¡¯ °í·ÁÇÑ Ä¡..
- [26/01/29 14:06]
- À§¾Ï ȯÀÚ¿¡°Ô »ç¿ëÇÏ´Â ¸é¿ª°ü¹®¾ïÁ¦Á¦ Ä¡·á ¼º°ú°¡ ³²³àÀÇ »ý¹°ÇÐÀû Â÷ÀÌ¿¡ µû¶ó ´Ù¸£°Ô ³ªÅ¸³¯ ¼ö ÀÖ´Ù´Â ¿¬±¸°á°ú°¡ ³ª¿Ô´Ù.¾Ï¼¼Æ÷´Â ¿ì¸® ¸ö¼Ó ¸é¿ª¼¼Æ÷ ¡®T¸²ÇÁ±¸(T¼¼Æ÷)¡¯¿¡°Ô °ø°Ý¹ÞÁö ¾Êµµ·Ï À§ÀåÇÏ´Â ¸é¿ª..
-
- °©ÀÚ±â ã¾Æ¿Â ¹«·Â°¨¡¦ ¿ì¿ïÁõ¡¤°øÈ²Àå¾Ö Áõ»ó Â÷ÀÌ´Â?
- [26/01/29 13:33]
- ºü¸¥ º¯È, °æÀï, ºÒÈ®½Ç¼ºÃ³·³ ¸¶À½ÀÇ °Ç°À» À§ÇùÇÏ´Â ¿äÀÎÀÌ ÀÏ»óÀÌ µÈ Çö´ëÀε鿡°Ô Á¤½Å°Ç°Àº ½Åü °Ç°¸¸Å °ü¸®°¡ ÇÊ¿äÇÑ Áß¿äÇÑ °¡Ä¡·Î ÀÚ¸® Àâ¾Ò´Ù. ƯÈ÷ ¸¶À½ÀÇ °¨±â¶ó ºÒ¸®´Â ¡®¿ì¿ïÁõ¡¯°ú ¿¹ÃøÇÒ ¼ö ¾ø..
°Ç°Ä®·³
À̺¥Æ® ¾Ë¸³´Ï´Ù
ÀÇ·áÇà»ç