Áúȯº°ºÐ·ù
¾Ï
½ÉÇ÷°üÁúȯ
»ýȰ½À°üº´
À§ÀåÁúȯ
´ëÀåÁúȯ
°£Áúȯ
ôÃß°üÀýÁúȯ
¾Ë·¹¸£±â
¿©¼ºÁúȯ
Ãâ»êÀ°¾Æ
Á¤½ÅÁúȯ
³ëÀÎÁúȯ
ºñ¸¸Ã¼Çü
Ä¡¾Æ±³Á¤
°úº°ºÐ·ù
³»°ú
¿Ü°ú
»êºÎÀΰú
¼Ò¾ÆÃ»¼Ò³â°ú
½Å°æ°ú
¾È°ú
ÇǺΰú
Á¤Çü¿Ü°ú
½Å°æ¿Ü°ú
À̺ñÀÎÈİú
¼ºÇü¿Ü°ú
ºñ´¢±â°ú
Á¤½Å°ú
¸¶ÃëÅëÁõÀÇÇаú
¿µ»óÀÇÇаú
°¡Á¤ÀÇÇаú
¼ºÀÇÇÐ
Ä¡°ú
ÇÑÀÇÇÐ
´ëüÀÇÇÐ
±âŸ
Á¾ÇÕ
Àüüº¸±â >
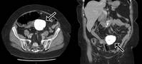
´ëÀå ²Ë ¸·°í ÀÖ´ø °Ô, ÀڱñÙÁ¾? ÀÇ»çµéµµ ¡°Æ¯ÀÌ »ç·Ê..
[26/02/27 10:20]
Æò¼Ò º°´Ù¸¥ Áõ»óÀÌ ¾ø´ø 70´ë ¿©¼ºÀÌ °©ÀÛ½º·¯¿î º¹ÅëÀ¸·Î ÀÀ±Þ½ÇÀ» ã¾Ò´Ù°¡ ¹è ¼Ó¿¡¼ °Å´ëÇÑ ¼®È¸ÈµÈ µ¢¾î¸®¸¦ ¹ß°ßÇÑ »ç·Ê°¡ º¸°íµÆ´Ù.È£ÁÖ ¿Ã¹ö¸® ¿öµ¿°¡ ÀÇ·á¿ø ÀÇ·áÁø¿¡ µû¸£¸é 72¼¼ ¿©¼ºÀÌ 12½Ã°£ µ¿¾È ½É..
¡°³î¶øµµ·Ï Ç÷´ç »ó½Â ¸·¾Æ¡± 70kg °¨·® ¹Ú¼öÁö, °È±âº¸..
[26/02/27 03:00]
°¡¼ö ¹Ì³ªÀÇ ½Ã´©ÀÌ ¹Ú¼öÁö(37)°¡ Ç÷´ç °ü¸® ºñ¹ýÀ» °ø°³Çß´Ù. Áö³ 24ÀÏ ¹Ú¼öÁö´Â ÀÚ½ÅÀÇ ÀνºÅ¸±×·¥¿¡ ¡°½ÄÈÄ °È±â¸¸ ÇÒ ¶§¿Í ½ÄÀü ´Þ°¿±îÁö ¸ÔÀ» ¶§ Ç÷´ç »ó½Â ¹æ¾î¿¡ ´ëÇÑ È¿°ú°¡ ÀÖ´ÂÁö Á÷Á¢ ½ÇÇèÇØºÃ´Ù¡±¶ó¸ç ..
BTS Á¤±¹, ÃëÁß ¶ó¹æ ³í¶õ¡¦ °ú°Å ¡®ÀÌ Áßµ¶¡¯±îÁö °í¹é
[26/02/26 16:52]
BTS ¸â¹ö Á¤±¹(28)ÀÌ »õº®¿¡ ÁøÇàÇÑ ÃëÁß ¶óÀÌºê ¹æ¼ÛÀÌ ÈÁ¦´Ù.26ÀÏ »õº®, Á¤±¹Àº ÆÒ¼ÒÅë Ç÷§ÆûÀÎ À§¹ö½º¿¡¼ ÇÑ ½Ã°£ ³Ñ´Â ¶óÀÌºê ¹æ¼ÛÀ» ÁøÇàÇß´Ù. ÀÌ ¿µ»ó¿¡´Â Á¤±¹ÀÌ Ä£±¸¿Í Ä£Çü µî°ú ÇÔ²² ¼úÀ» ¸¶½Ã´Â ¸ð½ÀÀÌ..
¡®½ºÅ×·ÎÀÌµå ºÎÀÛ¿ë ±Øº¹¡¯ Æ®¿ÍÀ̽º Á¤¿¬, ÃÖ±Ù ¸ð½À ..
[26/02/26 15:30]
±×·ì Æ®¿ÍÀ̽º ¸â¹ö Á¤¿¬(30)ÀÌ ³¯·ÆÇØÁø ±ÙȲÀ» °ø°³Çß´Ù.Áö³ 24ÀÏ Á¤¿¬Àº ÀÚ½ÅÀÇ ÀνºÅ¸±×·¥¿¡ ¡®TWICE with Jimmy Fallon¡¯À̶ó´Â ¸àÆ®¿Í ÇÔ²² ¿©·¯ ÀåÀÇ »çÁøÀ» °ÔÀçÇß´Ù. ÇØ´ç »çÁø¿¡´Â ÀÌÀüº¸´Ù °¼¸§ÇØÁø Åμ±..
°ü·Ã±â»ç
¡°»ýÈÄ 3°³¿ù ¾Æ±â¿¡°Ô ¡®À̰͡¯ ¸ÔÀδ١±¡¦ SNS º¸°í ¾Æ..
[26/02/26 14:29]
ÃÖ±Ù ¶±±¹¿¡ ¾Æ±â ¼ù°¡¶ôÀ» ¿Ã·ÁµÐ »çÁøÀ» SNS¿¡ ¿Ã·Á ¾Æµ¿Çдë ÇøÀǸ¦ ¹ÞÀº 30´ë ¿©¼ºÀÌ °æÂû¿¡ À԰ǵƴÙ.°æÂûÀº ÃÖ±Ù ÇÑ ´©¸®²ÛÀÌ SNS¿¡ ¿Ã¶ó¿Â »çÁøÀ» ±Ù°Å·Î ½Å°íÇÑ Çдë ÀÇ½É »ç°Ç Á¶»ç °á°ú, A¾¾ÀÇ ÇÐ´ë ¿©ºÎ¸¦..
°ü·Ã±â»ç
¡°¹î°¡Á× ¾ÆÇà ¶§±îÁö ¸Ô´Â Æø½ÄÁõ¡±¡¦ ¡®Æ÷¹Ì´Ö Ãâ½Å¡¯..
[26/02/26 14:26]
±×·ì Æ÷¹Ì´Ö Ãâ½Å Çã°¡À±(35)ÀÌ Æø½ÄÁõÀ» °Þ¾ú´Ù°í °í¹éÇß´Ù.Áö³ 25ÀÏ ¹æ¼ÛµÈ tvN ¡®À¯ ÄûÁî ¿Â ´õ ºí·°¡¯¿¡ Ã⿬ÇÑ Çã°¡À±Àº ¹è¿ì·Î ÀüÇâÇÑ µÚ °ÞÀº ¾î·Á¿òÀ» Åоî³ù´Ù. Çã°¡À±Àº ¡°¹è¿ì Ȱµ¿ÀÌ ³» »ý°¢Ã³·³ Ç®¸®Áö..
°ü·Ã±â»ç
¡®40¾ï ¿ø Àڻ갡¡¯ Àü¿øÁÖ, °¡½º ¿ä±Ý êÅ 1370¿ø¡¦ ¡°ÀÌ..
[26/02/26 12:00]
¹è¿ì Àü¿øÁÖ(86)°¡ ÇѰܿ£µµ º¸ÀÏ·¯¸¦ °ÅÀÇ ÄÑÁö ¾Ê´Â »ýȰÀ» °ø°³ÇÏ¸ç ³²´Ù¸¥ Àý¾à Á¤½ÅÀ» µå·¯³Â´Ù.Áö³ 24ÀÏ Àü¿øÁÖ À¯Æ©ºê ä³Î¿¡´Â ¡®»½ ¶Õ¸° µÞ¸Ó¸® Ä¿¹öÇÏ·¯ ¸ç´À¸®¿Í °¡¹ß ¸ÂÃß°í ¿Ô½À´Ï´Ù¡¯¶ó´Â Á¦¸ñÀÇ ¿µ..
°ü·Ã±â»ç
¡®45kg °¨·®¡¯ ÃÖÁØÈñ, °¨·® Àü ¸ð½À °ø°³¡¦ ¡°¿©¸®¿©¸®..
[26/02/26 11:45]
45kg °¨·®¿¡ ¼º°øÇÑ ÀÎÇ÷ç¾ð¼ ÃÖÁØÈñ(23)°¡ ´ÙÀÌ¾îÆ® ÀüÈÄ ¸ð½ÀÀ» °ø°³Çß´Ù.Áö³ 24ÀÏ ÃÖÁØÈñ´Â ÀÚ½ÅÀÇ ÀνºÅ¸±×·¥À» ÅëÇØ ¡°°°Àº ³ª½Ã ´Ù¸¥ ´À³¦ ´Ùµé ¾Æ½ÃÁÒ¡±¶ó¸ç ¿µ»óÀ» °ÔÀçÇß´Ù. ÇØ´ç ¿µ»ó¿¡´Â °°Àº ¿ÊÀ» Âø..
°ü·Ã±â»ç
¡°¹ú½á ¿ä¿ä ¿Ô³ª¡± 7kg °¨·® ±èÁØÈ£, ´Þ¶óÁø ºñÁÖ¾ó¡¦ ..
[26/02/26 11:14]
°³±×¸Ç ±èÁØÈ£(50)°¡ ´ÙÀÌ¾îÆ® ÈÄ ¿ä¿ä°¡ ¿Â ±ÙȲÀ» °ø°³Çß´Ù.ÃÖ±Ù À¯Æ©ºê ä³Î ¡®ÁØÈ£ Áö¹Î¡¯¿¡ Ã⿬ÇÑ ÀÌ»ó¹ÎÀº ±èÁØÈ£¿¡°Ô ¡°Áö¹ÎÀÌ´Â °¥¼ö·Ï ¿¹»µÁö´Âµ¥ ³Ê´Â ¿Ö¡±¶ó°í ¸»Çß´Ù. ÀÌ¿¡ ±èÁö¹ÎÀº ¡°¿Àºü 10kg ÂÈ´Ù¡±..
°ü·Ã±â»ç
À̼öÁö, ¼ö½Ã·Î ¡®À̰͡¯ ÇÏ´Â ½À°ü ÀÖ´Ù´øµ¥¡¦ ¡°Ã¼Áß ..
[26/02/26 11:09]
Äڹ̵ð¾ð À̼öÁö(40)°¡ ¸ö¹«°Ô¸¦ ¼ö½Ã·Î Àé´Ù°í ¹àÇû´Ù.Áö³ 1¿ù 27ÀÏ ¹æ¼ÛµÈ JTBC ¡®È¥ÀÚ´Â ¸øÇØ¡¯¿¡¼ À̼öÁö´Â ÀüÇö¹«, Çã°æÈ¯°ú ´ÙÀÌ¾îÆ® Áß ¸ö¹«°Ô ÃøÁ¤¿¡ ´ëÇÑ ÀǰßÀ» ³ª´³´Ù. Çã°æÈ¯Àº ¡°ÇコÀå °¡¼ ÇÏ·ç ¿î..
°ü·Ã±â»ç
ÀÌÀü
<<
21
·
22
·
23
·
24
·
25
·
26
·
27
·
28
·
29
·
30
>>
´ÙÀ½
[29/0]