[해외토픽]
기존 치료에도 반응하지 않던 거대한 분변종이 콜라 관장으로 빠르게 줄어들었다는 80대 여성의 사례가 보고됐다.
미국 플로리다대, 세인트조지스대 의료진에 따르면 치매, 당뇨병, 고혈압 등을 앓고 있는 82세 여성이 급성 복통으로 병원을 찾았다. 당시 환자의 복부는 팽창돼 있었고, 의식은 명료했으나 치매로 인해 정확한 병력 파악은 어려운 상태였다.
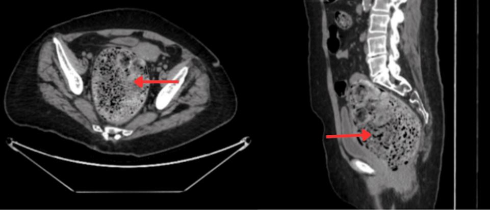
CT(컴퓨터단층촬영) 검사 결과, 직장과 연결된 대장 아랫부분인 S자 결장에 최대 12.2×10.5cm 크기의 거대한 분변종이 발견됐다. 분변종은 장 속에서 장기간 머문 대변이 수분을 잃고 돌처럼 딱딱하게 굳어 덩어리 형태로 변한 상태를 말한다. 심한 경우 석회화가 진행돼 엑스레이나 CT 상에서 종양처럼 보이기도 하며, 장폐색, 분변성 궤양, 천공, 요폐 등 심각한 합병증으로 이어질 수 있다. 일반적으로는 경구용 완하제, 관장, 수동 제거 등의 보존적 치료를 우선 시행하며, 효과가 없을 경우 내시경이나 수술적 치료가 필요하다.
사례자의 경우 주변 염증이나 천공은 없었지만, 크기가 커 수동 제거에는 실패했다. 이후 완하제와 인산타트륨 관장을 포함한 보존적 치료를 시행했으나 복통, 복부팽만, 구토 증상은 4일 이상 지속됐고 분변종 크기에도 변화는 없었다.
입원 13일째, 증상이 개선되지 않자 의료진은 대체 치료로 ‘코카콜라 관장’을 시도했다. 1000mL의 일반 코카콜라를 관장액으로 투여한 결과, 다음날 복통과 구토 증상이 사라졌고 CT 검사에서 분변종의 크기가 약 50% 감소한 것으로 확인됐다. 이후 입원 16일째 동일한 치료를 한 차례 더 시행하자 증상은 완전히 해소됐고, 환자는 유지 치료를 받은 뒤 퇴원한 것으로 전해졌다.
미국 플로리다대, 세인트조지스대 의료진에 따르면 치매, 당뇨병, 고혈압 등을 앓고 있는 82세 여성이 급성 복통으로 병원을 찾았다. 당시 환자의 복부는 팽창돼 있었고, 의식은 명료했으나 치매로 인해 정확한 병력 파악은 어려운 상태였다.
CT(컴퓨터단층촬영) 검사 결과, 직장과 연결된 대장 아랫부분인 S자 결장에 최대 12.2×10.5cm 크기의 거대한 분변종이 발견됐다. 분변종은 장 속에서 장기간 머문 대변이 수분을 잃고 돌처럼 딱딱하게 굳어 덩어리 형태로 변한 상태를 말한다. 심한 경우 석회화가 진행돼 엑스레이나 CT 상에서 종양처럼 보이기도 하며, 장폐색, 분변성 궤양, 천공, 요폐 등 심각한 합병증으로 이어질 수 있다. 일반적으로는 경구용 완하제, 관장, 수동 제거 등의 보존적 치료를 우선 시행하며, 효과가 없을 경우 내시경이나 수술적 치료가 필요하다.
사례자의 경우 주변 염증이나 천공은 없었지만, 크기가 커 수동 제거에는 실패했다. 이후 완하제와 인산타트륨 관장을 포함한 보존적 치료를 시행했으나 복통, 복부팽만, 구토 증상은 4일 이상 지속됐고 분변종 크기에도 변화는 없었다.
입원 13일째, 증상이 개선되지 않자 의료진은 대체 치료로 ‘코카콜라 관장’을 시도했다. 1000mL의 일반 코카콜라를 관장액으로 투여한 결과, 다음날 복통과 구토 증상이 사라졌고 CT 검사에서 분변종의 크기가 약 50% 감소한 것으로 확인됐다. 이후 입원 16일째 동일한 치료를 한 차례 더 시행하자 증상은 완전히 해소됐고, 환자는 유지 치료를 받은 뒤 퇴원한 것으로 전해졌다.
일부 사례 보고에 따르면 코카콜라는 분변종을 부드럽게 하고 분해를 촉진하는 데 도움을 줄 수 있다. pH 약 2.5의 산성, 중탄산 나트륨 성분, 이산화탄소 발생 등이 복합적으로 작용해 단단한 덩어리를 약화시키는 것으로 추정된다. 실제로 10건 내외의 사례 보고에서 기존 치료에 반응하지 않던 분변종이 코카콜라 관장 후 빠르게 감소한 결과가 보고된 바 있다.
다만 이러한 방법을 일반적인 치료로 권장하기에는 근거가 부족하다. 현재까지의 연구는 대부분 단일 사례 보고에 그쳐 효과와 안전성을 객관적으로 입증하기 어렵다. 의료진은 “용량, 농도, 유지 시간 등에 대한 표준화된 지침이 없고, 장기적인 안전성 자료도 부족하다”며 “효과와 안전성을 평가하기 위해서는 추가적인 전향적 연구가 필요하다”고 말했다.
이번 사례는 ‘큐레우스 저널(Cureus)’에 지난 21일 게재됐다.
다만 이러한 방법을 일반적인 치료로 권장하기에는 근거가 부족하다. 현재까지의 연구는 대부분 단일 사례 보고에 그쳐 효과와 안전성을 객관적으로 입증하기 어렵다. 의료진은 “용량, 농도, 유지 시간 등에 대한 표준화된 지침이 없고, 장기적인 안전성 자료도 부족하다”며 “효과와 안전성을 평가하기 위해서는 추가적인 전향적 연구가 필요하다”고 말했다.
이번 사례는 ‘큐레우스 저널(Cureus)’에 지난 21일 게재됐다.
이 기사와 관련기사