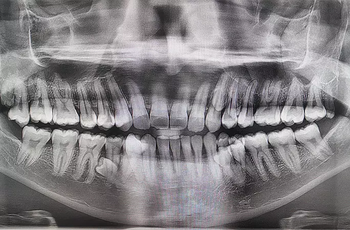
40°³ ÀÌ»óÀÇ Ä¡¾Æ¸¦ °¡Áø ¸»·¹ÀÌ½Ã¾Æ ³²¼ºÀÌ ±â³×½ººÏ¿¡ ¿Ã¶ú´Ù.
11ÀÏ ±â³×½º ¼¼°è±â·Ï¿¡ µû¸£¸é, ¸»·¹ÀÌ½Ã¾Æ ³²¼º ÇÁ¶óž ¹«´Ï¾Èµð(33)´Â ÃÖ±Ù ¡®ÃÖ´Ù Ä¡¾Æ º¸À¯ ³²¼º¡¯ ºÎ¹®¿¡ À̸§À» ¿Ã·È´Ù. ±×ÀÇ Ä¡¾Æ °³¼ö´Â ÃÑ 42°³·Î, ÀÏ¹Ý ¼ºÀÎ Ä¡¾Æ °³¼ö(32°³)º¸´Ù 10°³ ´õ ¸¹´Ù.
¾Õ¼ ÇÁ¶óžÀº µÎ ¸íÀÇ Ä¡°úÀÇ»çÀÇ °ËÁøÀ» ÅëÇØ Ä¡¾Æ °³¼ö¸¦ È®ÀÎÇß´Ù. °Ë»ç °á°ú, ±×´Â 42°³ Ä¡¾Æ ¿Ü¿¡µµ ÀÕ¸ö ¼Ó¿¡ ¸Åº¹ÇÑ Ä¡¾Æ°¡ 2°³ ´õ ÀÖ´Â °ÍÀ¸·Î ³ªÅ¸³µ´Ù.
ÇÁ¶óžÀº ¡°5³â Àü Â÷¸¦ ¸¶½Ã´Ù°¡ °¡Á·µé¿¡°Ô ¡®Ä¡¾Æ°¡ ´õ ÀÚ¶ó´Â °Í °°´Ù¡¯°í À̾߱âÇß´Ù¡±¸ç ¡°±×¶§ ³²µéº¸´Ù Ä¡¾Æ°¡ ´õ ¸¹´Ù´Â °ÍÀ» óÀ½ ¹ß°ßÇß´Ù¡±°í ¸»Çß´Ù. ±×·¯¸é¼ ¡°´ç½Ã Ä¡¾Æ¸¦ ¼¼¾îº¸´Ï 38°³¿´°í, 2023³â ÃÊ¿¡´Â ÃÑ 42°³ÀÇ Ä¡¾Æ°¡ ³ °É ¾Ë°Ô µÆ´Ù¡±°í Çß´Ù.
ÇÁ¶óžÀº 42°³ Ä¡¾Æ°¡ ¸ðµÎ Á¤»óÀûÀ¸·Î ÀÚ¶úÀ¸¸ç, °Ç°¿¡ º°´Ù¸¥ ¹®Á¦°¡ ¾ø´Â °ÍÀ¸·Î ÀüÇØÁ³´Ù. ±×´Â ¡°ÇÏ·ç¿¡ µÎ ¹ø ¾çÄ¡ÁúÀ» Çϰí Á¤±âÀûÀ¸·Î Ä¡½ÇÀ» »ç¿ëÇÏ´Â µî ±¸° À§»ýÀ» öÀúÈ÷ °ü¸®Çϱâ À§ÇØ ³ë·ÂÇϰí ÀÖ´Ù¡±¸ç ¡°Ä¡¾Æ´Â ³ª¿¡°Ô ¾î¶² ¿µÇâµµ ¹ÌÄ¡Áö ¾Ê´Â´Ù¡±°í ¸»Çß´Ù. ÀÌ¾î ¡°³»°¡ ¾Ë·ÁÁÖ±â Àü±îÁö ´ëºÎºÐ »ç¶÷µéÀÌ ³ªÀÇ µ¡´Ï¸¦ ¾Ë¾ÆÂ÷¸®Áö ¸øÇÑ´Ù¡±¸ç ¡°ºñ¹Ð¸®¿¡ ¼¼°è ±â·ÏÀ» º¸À¯ÇÑ »ç¶÷ÀÌ ¾ó¸¶³ª µÉÁö ±Ã±ÝÇÏ´Ù¡±°í Çß´Ù.
11ÀÏ ±â³×½º ¼¼°è±â·Ï¿¡ µû¸£¸é, ¸»·¹ÀÌ½Ã¾Æ ³²¼º ÇÁ¶óž ¹«´Ï¾Èµð(33)´Â ÃÖ±Ù ¡®ÃÖ´Ù Ä¡¾Æ º¸À¯ ³²¼º¡¯ ºÎ¹®¿¡ À̸§À» ¿Ã·È´Ù. ±×ÀÇ Ä¡¾Æ °³¼ö´Â ÃÑ 42°³·Î, ÀÏ¹Ý ¼ºÀÎ Ä¡¾Æ °³¼ö(32°³)º¸´Ù 10°³ ´õ ¸¹´Ù.
¾Õ¼ ÇÁ¶óžÀº µÎ ¸íÀÇ Ä¡°úÀÇ»çÀÇ °ËÁøÀ» ÅëÇØ Ä¡¾Æ °³¼ö¸¦ È®ÀÎÇß´Ù. °Ë»ç °á°ú, ±×´Â 42°³ Ä¡¾Æ ¿Ü¿¡µµ ÀÕ¸ö ¼Ó¿¡ ¸Åº¹ÇÑ Ä¡¾Æ°¡ 2°³ ´õ ÀÖ´Â °ÍÀ¸·Î ³ªÅ¸³µ´Ù.
ÇÁ¶óžÀº ¡°5³â Àü Â÷¸¦ ¸¶½Ã´Ù°¡ °¡Á·µé¿¡°Ô ¡®Ä¡¾Æ°¡ ´õ ÀÚ¶ó´Â °Í °°´Ù¡¯°í À̾߱âÇß´Ù¡±¸ç ¡°±×¶§ ³²µéº¸´Ù Ä¡¾Æ°¡ ´õ ¸¹´Ù´Â °ÍÀ» óÀ½ ¹ß°ßÇß´Ù¡±°í ¸»Çß´Ù. ±×·¯¸é¼ ¡°´ç½Ã Ä¡¾Æ¸¦ ¼¼¾îº¸´Ï 38°³¿´°í, 2023³â ÃÊ¿¡´Â ÃÑ 42°³ÀÇ Ä¡¾Æ°¡ ³ °É ¾Ë°Ô µÆ´Ù¡±°í Çß´Ù.
ÇÁ¶óžÀº 42°³ Ä¡¾Æ°¡ ¸ðµÎ Á¤»óÀûÀ¸·Î ÀÚ¶úÀ¸¸ç, °Ç°¿¡ º°´Ù¸¥ ¹®Á¦°¡ ¾ø´Â °ÍÀ¸·Î ÀüÇØÁ³´Ù. ±×´Â ¡°ÇÏ·ç¿¡ µÎ ¹ø ¾çÄ¡ÁúÀ» Çϰí Á¤±âÀûÀ¸·Î Ä¡½ÇÀ» »ç¿ëÇÏ´Â µî ±¸° À§»ýÀ» öÀúÈ÷ °ü¸®Çϱâ À§ÇØ ³ë·ÂÇϰí ÀÖ´Ù¡±¸ç ¡°Ä¡¾Æ´Â ³ª¿¡°Ô ¾î¶² ¿µÇâµµ ¹ÌÄ¡Áö ¾Ê´Â´Ù¡±°í ¸»Çß´Ù. ÀÌ¾î ¡°³»°¡ ¾Ë·ÁÁÖ±â Àü±îÁö ´ëºÎºÐ »ç¶÷µéÀÌ ³ªÀÇ µ¡´Ï¸¦ ¾Ë¾ÆÂ÷¸®Áö ¸øÇÑ´Ù¡±¸ç ¡°ºñ¹Ð¸®¿¡ ¼¼°è ±â·ÏÀ» º¸À¯ÇÑ »ç¶÷ÀÌ ¾ó¸¶³ª µÉÁö ±Ã±ÝÇÏ´Ù¡±°í Çß´Ù.
ÇÑÆí, Ä¡¾Æ°¡ 32°³(¼ºÀÎ ±âÁØ)º¸´Ù ¸¹ÀÌ ³ °ÍÀ» ÀÇÇÐÀûÀ¸·Î´Â ¡®´Ù¹ß¼º °úÀ×Ä¡Áõ¡¯À̶ó°í ÇÑ´Ù. 1~2°³ °úÀ×Ä¡´Â Á¾Á¾ ¹ß°ßµÇÁö¸¸, ÇÁ¶óžó·³ 10°³¾¿ °úÀ×Ä¡°¡ È®ÀεǴ °æ¿ì´Â ¸¹Áö ¾Ê´Ù.
Áö³ÇØ ¹Ì±¹ Ä¡°ú±³Á¤¡¤¾Ç¾È¸é¿Ü°úÇÐȸÁö¿¡´Â ÃÑ 81°³ Ä¡¾Æ¸¦ °¡Áø 11¼¼ ºê¶óÁú ¼Ò³àÀÇ »ç·Ê°¡ º¸°íµÅ ÈÁ¦¸¦ ¸ðÀ¸±âµµ Çß´Ù. ÇØ´ç ¼Ò³à´Â À¯Ä¡ 18°³¿Í ¿µ±¸Ä¡ 32°³, °úÀ×Ä¡ 31°³ µîÀ» º¸À¯ÇßÀ¸¸ç, À§ÂÊ À¯Ä¡ 1°³¸¦ »Ì±â À§ÇØ º´¿øÀ» ã¾Ò´Ù°¡ ÀÌ °°Àº »ç½ÇÀ» ¹ß°ßÇÑ °ÍÀ¸·Î ÀüÇØÁ³´Ù.
°úÀ×Ä¡´Â ÀÕ¸ö ¼Ó¿¡ ±íÀÌ ¹¯Çô Àְųª Á¤»ó Ä¡¾Æ¿Í ÇüŰ¡ À¯»çÇØ Á¤È®ÇÑ ±¸ºÐÀÌ ¾î·Æ´Ù. ȯÀÚ°¡ ÀÓÀÇ·Î ¹ßÄ¡ÇÒ °æ¿ì ÁÖº¯ Ä¡¾Æ³ª ÀÕ¸ö, ÅλÀ µîÀÌ ¼Õ»óµÉ À§ÇèÀÌ ÀÖ´Ù.
Áö³ÇØ ¹Ì±¹ Ä¡°ú±³Á¤¡¤¾Ç¾È¸é¿Ü°úÇÐȸÁö¿¡´Â ÃÑ 81°³ Ä¡¾Æ¸¦ °¡Áø 11¼¼ ºê¶óÁú ¼Ò³àÀÇ »ç·Ê°¡ º¸°íµÅ ÈÁ¦¸¦ ¸ðÀ¸±âµµ Çß´Ù. ÇØ´ç ¼Ò³à´Â À¯Ä¡ 18°³¿Í ¿µ±¸Ä¡ 32°³, °úÀ×Ä¡ 31°³ µîÀ» º¸À¯ÇßÀ¸¸ç, À§ÂÊ À¯Ä¡ 1°³¸¦ »Ì±â À§ÇØ º´¿øÀ» ã¾Ò´Ù°¡ ÀÌ °°Àº »ç½ÇÀ» ¹ß°ßÇÑ °ÍÀ¸·Î ÀüÇØÁ³´Ù.
°úÀ×Ä¡´Â ÀÕ¸ö ¼Ó¿¡ ±íÀÌ ¹¯Çô Àְųª Á¤»ó Ä¡¾Æ¿Í ÇüŰ¡ À¯»çÇØ Á¤È®ÇÑ ±¸ºÐÀÌ ¾î·Æ´Ù. ȯÀÚ°¡ ÀÓÀÇ·Î ¹ßÄ¡ÇÒ °æ¿ì ÁÖº¯ Ä¡¾Æ³ª ÀÕ¸ö, ÅλÀ µîÀÌ ¼Õ»óµÉ À§ÇèÀÌ ÀÖ´Ù.
ÀÌ ±â»ç¿Í °ü·Ã±â»ç