¡®ÇコÁ¶¼± ¸íÀÇ ÅåÅ塯 ÀÎÅͺä
¡®µÎ°³ÀúÁ¾¾ç ¸íÀÇ¡¯ »ï¼º¼¿ïº´¿ø ½Å°æ¿Ü°ú ¼³È£ÁØ ±³¼ö
·Îº¿ ¼ö¼úÀÇ ½Ã´ë¿¡µµ ¿©ÀüÈ÷ Àΰ£ÀÇ ¼Õ¿¡ Àý´ëÀûÀ¸·Î ÀÇÁöÇØ¾ß ÇÏ´Â ¼ö¼úµéÀÌ ÀÖ´Ù. ¼ö¼ú ºÎÀ§ Á¢±ÙÀÌ ¾î·Æ°í °úÁ¤ÀÌ º¹ÀâÇÑ ¼ö¼úÀÌ ´ë°³ ±×·¸´Ù. ¡®µÎ°³ÀúÁ¾¾ç¡¯ ¼ö¼úµµ ±×·± ºÎ·ù¿¡ ¼ÓÇÑ´Ù. µÎ°³Àú´Â ¸Ó¸®»À(ÔéËÏ) ¹Ù´Ú(î¼) ºÎÀ§·Î, À̰÷°ú ¸¸³ª´Â ³ú ½ÉºÎ¿¡´Â ³ú¿Í ô¼ö¸¦ ¿¬°áÇÏ´Â ³úÁÙ±â¿Í ´ë»çȰµ¿À» Á¶ÀýÇϴ ȣ¸£¸ó ±â°ü, ½Å°æ, Ç÷°ü µîÀÌ ÀÚ¸®Çϰí ÀÖ´Ù. µÎ°³ÀúÁ¾¾çÀ» Á¦°ÅÇÏ·Á¸é µÎ°³Àú±îÁö ¾ÈÀüÇÏ°Ô Á¢±ÙÇÏ´Â °ÍÀÌ ¿ì¼±Àε¥, Á¾¾çÀÌ ¿ö³« ±í¼÷ÀÌ ¼û¾îÀÖ°í Á¾¾ç ÁÖº¯¿¡ Áß¿äÇÑ Ç÷°ü¡¤½Å°æµéÀÌ ÀÎÁ¢ÇØ Á¢±Ù ÀÚü°¡ ¸Å¿ì ¾î·Æ´Ù. ÀÌ·± ¿¬À¯·Î ±¹³»¿¡¼± ±Ø¼Ò¼ö Àǻ縸 µÎ°³ÀúÁ¾¾ç °³µÎ¼úÀ» ÁýµµÇÑ´Ù. ±× Áß ÇÑ »ç¶÷ÀÎ »ï¼º¼¿ïº´¿ø ½Å°æ¿Ü°ú ¼³È£ÁØ ±³¼ö¸¦ ¸¸³ªºÃ´Ù.
»ï¼º¼¿ïº´¿ø ½Å°æ¿Ü°ú ¼³È£ÁØ ±³¼ö / »ï¼º¼¿ïº´¿ø Á¦°ø
µÎ°³ÀúÁ¾¾çÀº µÎ°³°ñ ¹Ù´Ú¸é(µÎ°³Àú)°ú ¸¸³ª´Â ³ú ºÎÀ§¿¡ ¹ß»ýÇÏ´Â Á¾¾çÀÌ´Ù. ³ú ±í¼÷ÇÑ °÷¿¡ »ý±ä Á¾¾çÀ» Á¦°ÅÇØ¾ß Çϱ⠶§¹®¿¡ ¼ö¼úÀÌ ¸Å¿ì ±î´Ù·Ó´Ù. / »ï¼º¼¿ïº´¿ø Á¦°ø
-Àüü ³úÁ¾¾ç¿¡¼ µÎ°³ÀúÁ¾¾çÀÌ Â÷ÁöÇÏ´Â ºñÁßÀÌ ¾ó¸¶³ª µÇ³ª?
¡°»ï¼º¼¿ïº´¿øÀ¸·Î ÇÑÁ¤Çϸé 1³â¿¡ ÁøÇàÇÏ´Â ³úÁ¾¾ç °³µÎ¼ú ¾à 1000°Ç Áß µÎ°³ÀúÁ¾¾çÀÌ 10~20%´Ù. °¡Àå ¸¹ÀÌ ¹ß°ßµÇ´Â µÎ°³ÀúÁ¾¾çÀº ³ú¼ö¸·Á¾À̰í, ±× ´ÙÀ½ÀÌ ½Å°æ¸·¿¡¼ ±Ù¿øÇÏ´Â ½Å°æÃÊÁ¾ÀÌ´Ù. µÎ°³Àú(»À)¿¡ »ý±â´Â ô»èÁ¾, ¿¬°ñÀ°Á¾µµ ÀÖ°í, ´Ù¸¥ Àå±âÀÇ ¾ÏÀÌ µÎ°³Àú »À¿¡ ÀüÀÌµÈ °æ¿ìµµ ÀÖ´Ù. ¾ÆÁÖ µå¹°°Ô ¾Ç¼º ½Å°æ±³Á¾ÀÌ µÎ°³Àú ±Ùó¿¡ ¹ß»ýÇϱ⵵ ÇÑ´Ù.¡±
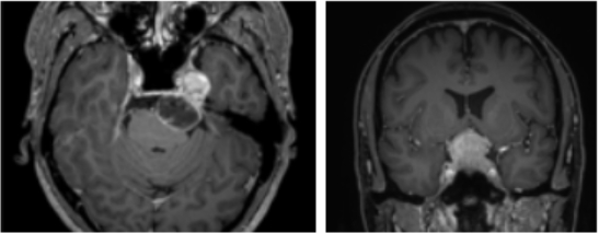
-ÀÏ¹Ý ³ú CT¡¤MRI °Ë»ç¸¦ ÅëÇØ È®ÀÎ °¡´ÉÇѰ¡?
¡°µÎ°³Àú¸¦ ÀÚ¼¼È÷ º¼ ¼ö ÀÖ´Â CT°Ë»ç°¡ ÇÊ¿äÇÏ´Ù. Á¾¾çÀÌ Ä§¹üÇÑ À§Ä¡¸¦ ÆÄ¾ÇÇϱâ À§ÇØ MRI °Ë»çµµ ½Ç½ÃÇÑ´Ù. Á¾¾çÀÌ ½Ã½Å°æÀ̳ª û½Å°æÀ» ¾Ð¹ÚÇϰí ÀÖÀ¸¸é ½Ã°¢ °Ë»ç, û°¢ °Ë»ç¿Í °°Àº ±â´É °Ë»ç¸¦ Çϰí, ¾ç¼º¡¤¾Ç¼º ¿©ºÎ ÆÇº°À» À§ÇÑ PET °Ë»ç ¶ÇÇÑ ÁøÇàÇÒ ¼ö ÀÖ´Ù. µÎ°³ÀúÁ¾¾ç ¼ö¼úÀº µÎ°³Àú¸¦ ÅëÇØ ³ú·Î ÇâÇÏ´Â ÁÖ¿ä Ç÷°üµéÀ» ¼Õ»ó½ÃŰÁö ¾Ê´Â °ÍÀÌ Áß¿äÇϱ⠶§¹®¿¡ µÎ°³ÀúÁ¾¾çÀÌ ¹ß°ßµÇ¸é ¿ì¼± ³úÇ÷°ü Á¶¿µ¼úÀ» ÅëÇØ Ç÷°üµéÀ» È®ÀÎÇÑ´Ù.¡±
-³ú ±í¼÷ÇÑ °÷¿¡ ¹ß»ýÇØ Ä¡¸í·üÀÌ ³ôÀ» °Í °°Àºµ¥?
¡°¼ö¼ú·Î ¿ÏÀü Á¦°Å°¡ ¾î·Á¿î Á¾¾çµéÀÌ ÀÖ´Ù. ´ëÇ¥ÀûÀÎ °Ô ô»èÁ¾ÀÌ´Ù. Á¦°Å ¼ö¼ú ÈÄ Á¶±ÝÀÌ¶óµµ Á¾¾çÀÌ ³²¾Æ ÀÖÀ¸¸é °è¼Ó Àç¹ßÇÑ´Ù. ÀÌ·Î ÀÎÇØ 5³â »ýÁ¸À²ÀÌ 30~40%¿¡ ºÒ°úÇÏ´Ù. ¾Ç¼º ½Å°æ±³Á¾, ±³¸ð¼¼Æ÷Á¾ÀÇ °æ¿ì ¿ø·¡µµ Æò±Õ »ýÁ¸·üÀÌ 2³â ¹Ì¸¸Àε¥, µÎ°³Àú ±Ùó¿¡ »ý±â¸é ¿ÏÀü Á¦°Å°¡ ¾î·Á¿ö ¿¹Èİ¡ ÁÁÁö ¾Ê´Ù. À̿ܿ¡µµ Á¾¾ç À§Ä¡³ª »óÅ ¶§¹®¿¡ ¼ö¼ú Áß À§ÇèÇÑ »óȲÀÌ »ý±æ ¼ö ÀÖ´Ù. Á¾¾çÀÌ Ç÷°üÀ» ¸¹ÀÌ °¨½Î°í ÀÖ´Â °æ¿ì, µÎ°³Àú °¡¿îµ¥¿¡ ÀÖ´Â ¼û°ñÀ» Å©°Ô ħ¹üÇÑ °æ¿ì, Á¾¾ç À¯ÂøÀÌ ½ÉÇÏ°í ´Ü´ÜÇÑ °æ¿ì µîÀÌ´Ù. ¼ö¼ú Àü CT, MRI °Ë»ç µîÀ» ÅëÇÑ È®ÀÎ ÀÛ¾÷ÀÌ Áß¿äÇÑ °Íµµ ÀÌ ¶§¹®ÀÌ´Ù. Á¦´ë·Î °èȹÀ» ¾È ¼¼¿ì°í ¼ö¼ú¿¡ µé¾î°¡¸é ¼ö¼ú Áß ¿¹±âÄ¡ ¾Ê°Ô Ç÷°üÀÌ ÅÍÁö´Â µî À§ÇèÇÑ »óȲÀÌ ¹ß»ýÇÒ ¼ö ÀÖ´Ù.¡±
-¼ö¼ú Àü¿¡ ½Ã¹Ä·¹À̼ÇÇØº¼ ¼ö´Â ¾ø³ª?
¡°MRI·Î »À, Ç÷°ü µîÀ» Á¤¹ÐÇÏ°Ô ÃÔ¿µÇؼ 3D·Î À籸¼ºÇÑ ÈÄ ¼ö¼ú Àü¿¡ ½Ã¿¬Çغ¼ ¼ö ÀÖ´Ù. ¼ö¼ú °æÇèÀÌ ¸¹Áö ¾ÊÀº ÀþÀº ÀÇ·áÁøÀÌ ¸¹ÀÌ È°¿ëÇϰí ÀÖ´Ù. ¾ÆÁ÷ ¹ßÀü ´Ü°èÁö¸¸ VR ±â¼úÀ» Ȱ¿ëÇØ °¡»óÀ¸·Î Á÷Á¢ ¼ö¼úÇØº¼ ¼öµµ ÀÖ´Ù. ´Ù¸¸, ¼ö¼úÀ» ÁغñÇÏ´Â °úÁ¤¿¡¼ Âü°íÇϱâ À§ÇØ ÇØº¼ »Ó, °¡»ó ¼ö¼ú¿¡ ÀÇÁ¸ÇÏÁø ¾Ê´Â´Ù. ½ÇÁ¦ ¼ö¼ú »óȲ¿¡¼´Â º¯¼ö°¡ ¸¹±â ¶§¹®ÀÌ´Ù. ÀÏ´Ü µÎ°³°ñÀ» ¿¸é ³ú º¯ÇüÀÌ ÀϾ°í, Á¾¾çÀ» Á¦°ÅÇÏ´Â °úÁ¤¿¡¼ Ç÷°ü À§Ä¡µµ ¹Ù²ï´Ù. ¶§¹®¿¡ ¼ö¼úÀÚÀÇ °æÇèÀÌ Áß¿äÇÏ´Ù. °³ÀÎÀûÀ¸·Ð ¼ö¼ú Àü¿¡ ȯÀÚÀÇ µÎ°³Àú ±¸Á¶¸¦ °ÅÀÇ ¿Ü¿ï Á¤µµ·Î CT¡¤MRI °Ë»ç °á°ú¸¦ ±²ÀåÈ÷ ¸¹ÀÌ È®ÀÎÇÑ´Ù. Á¾¾ç¿¡ ¾î¶»°Ô Á¢±ÙÇØ ¾î¶² ½ÄÀ¸·Î Á¦°ÅÇϸç, Á¦°Å ÈÄ ÁÖº¯ ½Å°æ°ú Ç÷°üµéÀÌ ¾î¶² ¸ð½ÀÀÏÁö µîÀ» ¸Ó¸´¼Ó¿¡ ±×·ÁµÐ »óÅ¿¡¼ ¼ö¼ú¿¡ µé¾î°£´Ù.¡±
-¼ö¼úÀÌ ¾Æ¿¹ ºÒ°¡´ÉÇÑ °æ¿ìµµ ÀÖ´ÂÁö?
¡°ÀÌ ¼¼»ó¿¡ ¼ö¼ú ºÒ°¡¶õ ¾ø´Ù. ¼ö¼úÀ» ÇØµµ À̵æÀÌ ¾ø´Ù°í ÆÇ´ÜÇØ¼ ¾È ÇÒ »ÓÀÌÁö, ¼ö¼ú ÀÚü°¡ ºÒ°¡´ÉÇÑ °æ¿ì´Â ¾ø´Ù´Â ¶æÀÌ´Ù. ¼ö¼úÀÌ ÇÊ¿äÇÒ ¶§´Â ¾ÈÀüÇÑ ¹üÀ§ ¾È¿¡¼ ºÎºÐÀûÀ¸·Î¶óµµ Á¾¾çÀ» ÃÖ´ëÇÑ Á¦°ÅÇÑ´Ù. Á¾¾çÀÌ ³²¾Ò¾îµµ ¾ç¼ºÁ¾¾çÀº Ãß°¡ ¼ö¼ú ¾øÀÌ °æ°ú¸¦ °üÂûÇϱ⵵ ÇÑ´Ù. ¾Ç¼º Á¾¾çÀÇ °æ¿ì¿£ °¨¸¶³ªÀÌÇÁ¿Í °°Àº ºÎ°¡ÀûÀÎ Ä¡·á¹ýÀ» º´ÇÕÇØº¼ ¼ö ÀÖ´Ù.¡±
-¼ö¼ú ½Ã µÎ°³Àú¿¡´Â ¾î¶»°Ô Á¢±ÙÇϳª?
¡°µÎ°³Àú´Â Å©°Ô Àü(îñ)µÎ°³¿Í, Áß(ñé)µÎ°³¿Í, ÈÄ(ý)µÎ°³¿Í·Î ³ª´¶´Ù. ÀüµÎ°³¿Í¿¡ Á¾¾çÀÌ »ý±ä °æ¿ì¿£ ¸Ó¸®¸¦ ¿°í ³ú¸¦ ´ç°Ü¼ µé¾î°£´Ù. Á¾¾çÀÌ ÀÛ°í °¡¿îµ¥¿¡ À§Ä¡ÇßÀ¸¸é ÄÚ·Î ¼ö¼ú ±â±¸¸¦ ³Ö¾î µÎ°³Àú ¹Ù´ÚÀ» ¶Õ°í Á¾¾ç¿¡ Á¢±ÙÇÑ´Ù. ÀÌ °úÁ¤¿¡¼ À̺ñÀÎÈİú ÀÇ·áÁø°ú Çù¾÷Çϱ⵵ ÇÑ´Ù. Áߵΰ³¿Í Á¾¾çÀÇ °æ¿ì ½Å°æÀÌ ³ª°¡´Â ±¸¸ÛµéÀÌ ¸¹±â ¶§¹®¿¡ ½Å°æÀ» ¼Õ»ó ½ÃŰÁö ¾Ê´Â ¹üÀ§ ¾È¿¡¼ ³ú¸¦ »ì¦ µé°í Á¾¾çÀ» Á¦°ÅÇÑ´Ù. Èĵΰ³¿Í´Â ¼ö¼úÀÌ °¡Àå ¾î·Á¿î °÷ÀÌ´Ù. ¾çÂÊ¿¡ ¡®ÇǶó¹Ìµå¡¯¶ó°í ºÎ¸£´Â ¾Ï¼® °°Àº »À°¡ ÀÖ¾î, Á¢±ÙÀÌ ½±Áö ¾Ê´Ù. »À ¾È¿¡ ÁÖ¿ä ½Å°æµéÀÌ Áö³ª°¡´Â ±¸Á¶¹°µéÀÌ ¼û¾îÀֱ⠶§¹®¿¡ ±× ºÎºÐÀ» ¼Õ»ó½ÃŰÁö ¾ÊÀ¸¸é¼ »À¸¦ Á¦°ÅÇÑ ÈÄ Á¾¾ç¿¡ Á¢±ÙÇØ¾ß ÇÑ´Ù.¡±
-¼ö¼ú ½Ã°£ÀÌ ±æ °Í °°Àºµ¥?
¡°¼ö¼ú ½Ã°£Àº ±×¶§±×¶§ ´Ù¸£´Ù. ¾ÆÄ§ºÎÅÍ »õº®±îÁö 16½Ã°£ µ¿¾È ¼ö¼úÇÑ Àûµµ ÀÖ¾ú´Ù. ´Ù¸¸, º¸ÅëÀº ½Å°æ¿Ü°ú ´Üµ¶À¸·Î ÁøÇàÇϸé 6~7½Ã°£ ¼Ò¿äµÈ´Ù. Á¾¾çÀÇ À§Ä¡¿Í Á¢±Ù ¹æ¹ý, ¹æÇâ¿¡ µû¶ó¼´Â À̺ñÀÎÈİú, ¼ºÇü¿Ü°ú ÀÇ·áÁø Çù¾÷ÀÌ ÇÊ¿äÇѵ¥, ÀÌ °æ¿ì¿£ ¼ö¼ú ½Ã°£ÀÌ ´õ ´Ã¾î³´Ù. 24½Ã°£ µ¿¾È ¼ö¼úÇÑ ÀÇ·áÁøµµ ÀÖ´Ù°í µé¾ú´Ù.¡±
-¼ö¼ú ÈÄÀ¯ÁõÀÌ »ý±æ ¼öµµ ÀÖ´ÂÁö?
¡°ÀϽÃÀûÀÎ ÈÄÀ¯Áõ°ú ¿µ±¸ÀûÀÎ ÈÄÀ¯ÁõÀÌ ÀÖ´Ù. ÀϽÃÀûÀÎ ÈÄÀ¯ÁõÀº ²Ï ÈçÇÏ´Ù. ¿¹¸¦ µé¾î ¾È¸é½Å°æ¿¡ Á¾¾çÀÌ ºÙ¾îÀÖÀ¸¸é ¾Æ¹«¸® Àß Á¦°ÅÇØµµ ½Å°æÀÌ ºÎÀ» ¼ö ÀÖ´Ù. ÀÌ °æ¿ì ¼ö¼ú ÈÄ ÀϽÃÀûÀ¸·Î ¾È¸é¸¶ºñ°¡ ¹ß»ýÇϱ⵵ ÇÑ´Ù. ¶§¹®¿¡ ¼ö¼ú Àü ȯÀÚ¿¡°Ô ÀϽÃÀûÀÎ ÈÄÀ¯ÁõÀÌ ¿Ã ¼ö ÀÖ´Ù´Â »ç½Ç°ú ±×·³¿¡µµ Á¾¾çÀ» Á¦°ÅÇßÀ» ¶§ ¾òÀ» ¼ö ÀÖ´Â ÀÌÁ¡¿¡ ´ëÇØ ÀÚ¼¼È÷ ¼³¸íÇÑ´Ù. ÀÌ °úÁ¤ÀÌ ¸Å¿ì Áß¿äÇÏ´Ù. ȯÀÚ¿¡°Ô ÈÄÀ¯Áõ¿¡ ´ëÇØ ÃæºÐÈ÷ ¾È³»Çϰí, ¼ö¼ú ½Ã¿¡´Â ¿µ±¸ÀûÀÎ ÇÕº´ÁõÀ» ÇÇÇÏ¸é¼ Á¾¾çÀ» ÃÖ´ëÇÑ Á¦°ÅÇÑ´Ù.¡±
-µÎ°³ÀúÁ¾¾ç ¼ö¼úµµ ³»½Ã°æÀÇ È°¿ëµµ°¡ ³ô¾ÆÁö°í ÀÖ³ª?
¡°³»½Ã°æÀº Á¼Àº Åë·Î¸¦ ÅëÇØ µé¾î°¡ ³ÐÀº ½Ã¾ß¸¦ È®º¸ÇÑ´Ù´Â ÀåÁ¡ÀÌ ÀÖ´Ù. ¹®Á¦´Â Á¾¾çÀ» º¸´Â °ÍÀ» ³Ñ¾î Á¦°ÅÇÏ´Â °úÁ¤ÀÌ ÇÊ¿äÇѵ¥, ¾ÆÁ÷±îÁö´Â ÀÌ ÀÛ¾÷ÀÌ Á¦ÇÑµÇ´Â Ãø¸éÀÌ ÀÖ´Ù. Á¼Àº °ø°£¿¡¼ Ä®À» ºñ·ÔÇÑ °¢Á¾ ¼ö¼ú ±â±¸µéÀ» »ç¿ëÇÏ´Â °ÍÀÌ ½±Áö ¾Ê±â ¶§¹®ÀÌ´Ù. ±×·³¿¡µµ °ú°Å¿¡ ºñÇØ¼´Â ±â¼úÀÌ ¹ßÀüÇÏ¸é¼ µÎ°³ÀúÁ¾¾çµµ ³»½Ã°æÀ» Ȱ¿ëÇÒ ¼ö ÀÖ´Â ¿µ¿ªÀÌ Á¡Á¡ È®´ëµÇ°í ÀÖ´Ù. ¾ÕÀ¸·Î ´õ ¹ßÀüÇÒ °ÍÀ¸·Î º»´Ù.¡±
-¹Ù¾ßÈå·Î ¡®·Îº¿ ¼ö¼úÀÇ ½Ã´ë¡¯ ¾Æ´Ñ°¡?
¡°µÎ°³ÀúÁ¾¾ç ºÐ¾ß¿¡¼ ·Îº¿ ¼ö¼úÀº ¾ÆÁ÷ Ãʱ⠽ÃÇè ´Ü°è´Ù. ¾ÆÁÖ °£´ÜÇÑ ¼ö¼ú¿¡ Á¦ÇÑÀûÀ¸·Î »ç¿ëÇϱ⵵ ÇÏÁö¸¸, °ÅÀÇ ¾²Áö ¾Ê´Â´Ù. º¯¼ö°¡ ³Ê¹« ¸¹±â ¶§¹®ÀÌ´Ù. ¿¹¸¦ µé¾î °°Àº ¼ö¸·Á¾À̶ó°í ÇØµµ, ¼ö¼úÇØº¸¸é ¾î¶² ¼ö¸·Á¾Àº ½Ã½Å°æ¿¡ ºÙ¾îÀÖ°í, ¾î¶² ¼ö¸·Á¾Àº Ç÷°üÀ» °¨½Î°í ÀÖ´Ù. Á¾¾çÀÌ ¿¹»óº¸´Ù ´Ü´ÜÇÑ °æ¿ìµµ ÀÖ´Ù. »ç¶÷ÀÇ ¼ÕÀ¸·Î ¼ö¼úÇÏ¸é ±×¶§±×¶§ ´ëÀÀÀÌ °¡´ÉÇѵ¥, ·Îº¿ ÆÈÀ» ÀÌ¿ëÇÒ ¶§´Â ÀÌ·± ºÎºÐ±îÁö ´ëÀÀÇÏ±ä ¾î·Æ´Ù. µÎ°³ÀúÁ¾¾ç ·Îº¿ ¼ö¼ú »ó¿ëȱîÁö ¾ÆÁ÷ ½Ã°£ÀÌ ÇÊ¿äÇÏÁö¸¸, ¼¼¹ÐÇÔÀÌ °³¼±µÇ°í µ¥ÀÌÅͰ¡ ½×À̸é ÀÌ °°Àº ÇѰ踦 ±Øº¹ÇÒ °ÍÀ̶ó°í »ý°¢ÇÑ´Ù.¡±
¡°»ï¼º¼¿ïº´¿øÀ¸·Î ÇÑÁ¤Çϸé 1³â¿¡ ÁøÇàÇÏ´Â ³úÁ¾¾ç °³µÎ¼ú ¾à 1000°Ç Áß µÎ°³ÀúÁ¾¾çÀÌ 10~20%´Ù. °¡Àå ¸¹ÀÌ ¹ß°ßµÇ´Â µÎ°³ÀúÁ¾¾çÀº ³ú¼ö¸·Á¾À̰í, ±× ´ÙÀ½ÀÌ ½Å°æ¸·¿¡¼ ±Ù¿øÇÏ´Â ½Å°æÃÊÁ¾ÀÌ´Ù. µÎ°³Àú(»À)¿¡ »ý±â´Â ô»èÁ¾, ¿¬°ñÀ°Á¾µµ ÀÖ°í, ´Ù¸¥ Àå±âÀÇ ¾ÏÀÌ µÎ°³Àú »À¿¡ ÀüÀÌµÈ °æ¿ìµµ ÀÖ´Ù. ¾ÆÁÖ µå¹°°Ô ¾Ç¼º ½Å°æ±³Á¾ÀÌ µÎ°³Àú ±Ùó¿¡ ¹ß»ýÇϱ⵵ ÇÑ´Ù.¡±
-ÀÏ¹Ý ³ú CT¡¤MRI °Ë»ç¸¦ ÅëÇØ È®ÀÎ °¡´ÉÇѰ¡?
¡°µÎ°³Àú¸¦ ÀÚ¼¼È÷ º¼ ¼ö ÀÖ´Â CT°Ë»ç°¡ ÇÊ¿äÇÏ´Ù. Á¾¾çÀÌ Ä§¹üÇÑ À§Ä¡¸¦ ÆÄ¾ÇÇϱâ À§ÇØ MRI °Ë»çµµ ½Ç½ÃÇÑ´Ù. Á¾¾çÀÌ ½Ã½Å°æÀ̳ª û½Å°æÀ» ¾Ð¹ÚÇϰí ÀÖÀ¸¸é ½Ã°¢ °Ë»ç, û°¢ °Ë»ç¿Í °°Àº ±â´É °Ë»ç¸¦ Çϰí, ¾ç¼º¡¤¾Ç¼º ¿©ºÎ ÆÇº°À» À§ÇÑ PET °Ë»ç ¶ÇÇÑ ÁøÇàÇÒ ¼ö ÀÖ´Ù. µÎ°³ÀúÁ¾¾ç ¼ö¼úÀº µÎ°³Àú¸¦ ÅëÇØ ³ú·Î ÇâÇÏ´Â ÁÖ¿ä Ç÷°üµéÀ» ¼Õ»ó½ÃŰÁö ¾Ê´Â °ÍÀÌ Áß¿äÇϱ⠶§¹®¿¡ µÎ°³ÀúÁ¾¾çÀÌ ¹ß°ßµÇ¸é ¿ì¼± ³úÇ÷°ü Á¶¿µ¼úÀ» ÅëÇØ Ç÷°üµéÀ» È®ÀÎÇÑ´Ù.¡±
-³ú ±í¼÷ÇÑ °÷¿¡ ¹ß»ýÇØ Ä¡¸í·üÀÌ ³ôÀ» °Í °°Àºµ¥?
¡°¼ö¼ú·Î ¿ÏÀü Á¦°Å°¡ ¾î·Á¿î Á¾¾çµéÀÌ ÀÖ´Ù. ´ëÇ¥ÀûÀÎ °Ô ô»èÁ¾ÀÌ´Ù. Á¦°Å ¼ö¼ú ÈÄ Á¶±ÝÀÌ¶óµµ Á¾¾çÀÌ ³²¾Æ ÀÖÀ¸¸é °è¼Ó Àç¹ßÇÑ´Ù. ÀÌ·Î ÀÎÇØ 5³â »ýÁ¸À²ÀÌ 30~40%¿¡ ºÒ°úÇÏ´Ù. ¾Ç¼º ½Å°æ±³Á¾, ±³¸ð¼¼Æ÷Á¾ÀÇ °æ¿ì ¿ø·¡µµ Æò±Õ »ýÁ¸·üÀÌ 2³â ¹Ì¸¸Àε¥, µÎ°³Àú ±Ùó¿¡ »ý±â¸é ¿ÏÀü Á¦°Å°¡ ¾î·Á¿ö ¿¹Èİ¡ ÁÁÁö ¾Ê´Ù. À̿ܿ¡µµ Á¾¾ç À§Ä¡³ª »óÅ ¶§¹®¿¡ ¼ö¼ú Áß À§ÇèÇÑ »óȲÀÌ »ý±æ ¼ö ÀÖ´Ù. Á¾¾çÀÌ Ç÷°üÀ» ¸¹ÀÌ °¨½Î°í ÀÖ´Â °æ¿ì, µÎ°³Àú °¡¿îµ¥¿¡ ÀÖ´Â ¼û°ñÀ» Å©°Ô ħ¹üÇÑ °æ¿ì, Á¾¾ç À¯ÂøÀÌ ½ÉÇÏ°í ´Ü´ÜÇÑ °æ¿ì µîÀÌ´Ù. ¼ö¼ú Àü CT, MRI °Ë»ç µîÀ» ÅëÇÑ È®ÀÎ ÀÛ¾÷ÀÌ Áß¿äÇÑ °Íµµ ÀÌ ¶§¹®ÀÌ´Ù. Á¦´ë·Î °èȹÀ» ¾È ¼¼¿ì°í ¼ö¼ú¿¡ µé¾î°¡¸é ¼ö¼ú Áß ¿¹±âÄ¡ ¾Ê°Ô Ç÷°üÀÌ ÅÍÁö´Â µî À§ÇèÇÑ »óȲÀÌ ¹ß»ýÇÒ ¼ö ÀÖ´Ù.¡±
-¼ö¼ú Àü¿¡ ½Ã¹Ä·¹À̼ÇÇØº¼ ¼ö´Â ¾ø³ª?
¡°MRI·Î »À, Ç÷°ü µîÀ» Á¤¹ÐÇÏ°Ô ÃÔ¿µÇؼ 3D·Î À籸¼ºÇÑ ÈÄ ¼ö¼ú Àü¿¡ ½Ã¿¬Çغ¼ ¼ö ÀÖ´Ù. ¼ö¼ú °æÇèÀÌ ¸¹Áö ¾ÊÀº ÀþÀº ÀÇ·áÁøÀÌ ¸¹ÀÌ È°¿ëÇϰí ÀÖ´Ù. ¾ÆÁ÷ ¹ßÀü ´Ü°èÁö¸¸ VR ±â¼úÀ» Ȱ¿ëÇØ °¡»óÀ¸·Î Á÷Á¢ ¼ö¼úÇØº¼ ¼öµµ ÀÖ´Ù. ´Ù¸¸, ¼ö¼úÀ» ÁغñÇÏ´Â °úÁ¤¿¡¼ Âü°íÇϱâ À§ÇØ ÇØº¼ »Ó, °¡»ó ¼ö¼ú¿¡ ÀÇÁ¸ÇÏÁø ¾Ê´Â´Ù. ½ÇÁ¦ ¼ö¼ú »óȲ¿¡¼´Â º¯¼ö°¡ ¸¹±â ¶§¹®ÀÌ´Ù. ÀÏ´Ü µÎ°³°ñÀ» ¿¸é ³ú º¯ÇüÀÌ ÀϾ°í, Á¾¾çÀ» Á¦°ÅÇÏ´Â °úÁ¤¿¡¼ Ç÷°ü À§Ä¡µµ ¹Ù²ï´Ù. ¶§¹®¿¡ ¼ö¼úÀÚÀÇ °æÇèÀÌ Áß¿äÇÏ´Ù. °³ÀÎÀûÀ¸·Ð ¼ö¼ú Àü¿¡ ȯÀÚÀÇ µÎ°³Àú ±¸Á¶¸¦ °ÅÀÇ ¿Ü¿ï Á¤µµ·Î CT¡¤MRI °Ë»ç °á°ú¸¦ ±²ÀåÈ÷ ¸¹ÀÌ È®ÀÎÇÑ´Ù. Á¾¾ç¿¡ ¾î¶»°Ô Á¢±ÙÇØ ¾î¶² ½ÄÀ¸·Î Á¦°ÅÇϸç, Á¦°Å ÈÄ ÁÖº¯ ½Å°æ°ú Ç÷°üµéÀÌ ¾î¶² ¸ð½ÀÀÏÁö µîÀ» ¸Ó¸´¼Ó¿¡ ±×·ÁµÐ »óÅ¿¡¼ ¼ö¼ú¿¡ µé¾î°£´Ù.¡±
-¼ö¼úÀÌ ¾Æ¿¹ ºÒ°¡´ÉÇÑ °æ¿ìµµ ÀÖ´ÂÁö?
¡°ÀÌ ¼¼»ó¿¡ ¼ö¼ú ºÒ°¡¶õ ¾ø´Ù. ¼ö¼úÀ» ÇØµµ À̵æÀÌ ¾ø´Ù°í ÆÇ´ÜÇØ¼ ¾È ÇÒ »ÓÀÌÁö, ¼ö¼ú ÀÚü°¡ ºÒ°¡´ÉÇÑ °æ¿ì´Â ¾ø´Ù´Â ¶æÀÌ´Ù. ¼ö¼úÀÌ ÇÊ¿äÇÒ ¶§´Â ¾ÈÀüÇÑ ¹üÀ§ ¾È¿¡¼ ºÎºÐÀûÀ¸·Î¶óµµ Á¾¾çÀ» ÃÖ´ëÇÑ Á¦°ÅÇÑ´Ù. Á¾¾çÀÌ ³²¾Ò¾îµµ ¾ç¼ºÁ¾¾çÀº Ãß°¡ ¼ö¼ú ¾øÀÌ °æ°ú¸¦ °üÂûÇϱ⵵ ÇÑ´Ù. ¾Ç¼º Á¾¾çÀÇ °æ¿ì¿£ °¨¸¶³ªÀÌÇÁ¿Í °°Àº ºÎ°¡ÀûÀÎ Ä¡·á¹ýÀ» º´ÇÕÇØº¼ ¼ö ÀÖ´Ù.¡±
-¼ö¼ú ½Ã µÎ°³Àú¿¡´Â ¾î¶»°Ô Á¢±ÙÇϳª?
¡°µÎ°³Àú´Â Å©°Ô Àü(îñ)µÎ°³¿Í, Áß(ñé)µÎ°³¿Í, ÈÄ(ý)µÎ°³¿Í·Î ³ª´¶´Ù. ÀüµÎ°³¿Í¿¡ Á¾¾çÀÌ »ý±ä °æ¿ì¿£ ¸Ó¸®¸¦ ¿°í ³ú¸¦ ´ç°Ü¼ µé¾î°£´Ù. Á¾¾çÀÌ ÀÛ°í °¡¿îµ¥¿¡ À§Ä¡ÇßÀ¸¸é ÄÚ·Î ¼ö¼ú ±â±¸¸¦ ³Ö¾î µÎ°³Àú ¹Ù´ÚÀ» ¶Õ°í Á¾¾ç¿¡ Á¢±ÙÇÑ´Ù. ÀÌ °úÁ¤¿¡¼ À̺ñÀÎÈİú ÀÇ·áÁø°ú Çù¾÷Çϱ⵵ ÇÑ´Ù. Áߵΰ³¿Í Á¾¾çÀÇ °æ¿ì ½Å°æÀÌ ³ª°¡´Â ±¸¸ÛµéÀÌ ¸¹±â ¶§¹®¿¡ ½Å°æÀ» ¼Õ»ó ½ÃŰÁö ¾Ê´Â ¹üÀ§ ¾È¿¡¼ ³ú¸¦ »ì¦ µé°í Á¾¾çÀ» Á¦°ÅÇÑ´Ù. Èĵΰ³¿Í´Â ¼ö¼úÀÌ °¡Àå ¾î·Á¿î °÷ÀÌ´Ù. ¾çÂÊ¿¡ ¡®ÇǶó¹Ìµå¡¯¶ó°í ºÎ¸£´Â ¾Ï¼® °°Àº »À°¡ ÀÖ¾î, Á¢±ÙÀÌ ½±Áö ¾Ê´Ù. »À ¾È¿¡ ÁÖ¿ä ½Å°æµéÀÌ Áö³ª°¡´Â ±¸Á¶¹°µéÀÌ ¼û¾îÀֱ⠶§¹®¿¡ ±× ºÎºÐÀ» ¼Õ»ó½ÃŰÁö ¾ÊÀ¸¸é¼ »À¸¦ Á¦°ÅÇÑ ÈÄ Á¾¾ç¿¡ Á¢±ÙÇØ¾ß ÇÑ´Ù.¡±
-¼ö¼ú ½Ã°£ÀÌ ±æ °Í °°Àºµ¥?
¡°¼ö¼ú ½Ã°£Àº ±×¶§±×¶§ ´Ù¸£´Ù. ¾ÆÄ§ºÎÅÍ »õº®±îÁö 16½Ã°£ µ¿¾È ¼ö¼úÇÑ Àûµµ ÀÖ¾ú´Ù. ´Ù¸¸, º¸ÅëÀº ½Å°æ¿Ü°ú ´Üµ¶À¸·Î ÁøÇàÇϸé 6~7½Ã°£ ¼Ò¿äµÈ´Ù. Á¾¾çÀÇ À§Ä¡¿Í Á¢±Ù ¹æ¹ý, ¹æÇâ¿¡ µû¶ó¼´Â À̺ñÀÎÈİú, ¼ºÇü¿Ü°ú ÀÇ·áÁø Çù¾÷ÀÌ ÇÊ¿äÇѵ¥, ÀÌ °æ¿ì¿£ ¼ö¼ú ½Ã°£ÀÌ ´õ ´Ã¾î³´Ù. 24½Ã°£ µ¿¾È ¼ö¼úÇÑ ÀÇ·áÁøµµ ÀÖ´Ù°í µé¾ú´Ù.¡±
-¼ö¼ú ÈÄÀ¯ÁõÀÌ »ý±æ ¼öµµ ÀÖ´ÂÁö?
¡°ÀϽÃÀûÀÎ ÈÄÀ¯Áõ°ú ¿µ±¸ÀûÀÎ ÈÄÀ¯ÁõÀÌ ÀÖ´Ù. ÀϽÃÀûÀÎ ÈÄÀ¯ÁõÀº ²Ï ÈçÇÏ´Ù. ¿¹¸¦ µé¾î ¾È¸é½Å°æ¿¡ Á¾¾çÀÌ ºÙ¾îÀÖÀ¸¸é ¾Æ¹«¸® Àß Á¦°ÅÇØµµ ½Å°æÀÌ ºÎÀ» ¼ö ÀÖ´Ù. ÀÌ °æ¿ì ¼ö¼ú ÈÄ ÀϽÃÀûÀ¸·Î ¾È¸é¸¶ºñ°¡ ¹ß»ýÇϱ⵵ ÇÑ´Ù. ¶§¹®¿¡ ¼ö¼ú Àü ȯÀÚ¿¡°Ô ÀϽÃÀûÀÎ ÈÄÀ¯ÁõÀÌ ¿Ã ¼ö ÀÖ´Ù´Â »ç½Ç°ú ±×·³¿¡µµ Á¾¾çÀ» Á¦°ÅÇßÀ» ¶§ ¾òÀ» ¼ö ÀÖ´Â ÀÌÁ¡¿¡ ´ëÇØ ÀÚ¼¼È÷ ¼³¸íÇÑ´Ù. ÀÌ °úÁ¤ÀÌ ¸Å¿ì Áß¿äÇÏ´Ù. ȯÀÚ¿¡°Ô ÈÄÀ¯Áõ¿¡ ´ëÇØ ÃæºÐÈ÷ ¾È³»Çϰí, ¼ö¼ú ½Ã¿¡´Â ¿µ±¸ÀûÀÎ ÇÕº´ÁõÀ» ÇÇÇÏ¸é¼ Á¾¾çÀ» ÃÖ´ëÇÑ Á¦°ÅÇÑ´Ù.¡±
-µÎ°³ÀúÁ¾¾ç ¼ö¼úµµ ³»½Ã°æÀÇ È°¿ëµµ°¡ ³ô¾ÆÁö°í ÀÖ³ª?
¡°³»½Ã°æÀº Á¼Àº Åë·Î¸¦ ÅëÇØ µé¾î°¡ ³ÐÀº ½Ã¾ß¸¦ È®º¸ÇÑ´Ù´Â ÀåÁ¡ÀÌ ÀÖ´Ù. ¹®Á¦´Â Á¾¾çÀ» º¸´Â °ÍÀ» ³Ñ¾î Á¦°ÅÇÏ´Â °úÁ¤ÀÌ ÇÊ¿äÇѵ¥, ¾ÆÁ÷±îÁö´Â ÀÌ ÀÛ¾÷ÀÌ Á¦ÇÑµÇ´Â Ãø¸éÀÌ ÀÖ´Ù. Á¼Àº °ø°£¿¡¼ Ä®À» ºñ·ÔÇÑ °¢Á¾ ¼ö¼ú ±â±¸µéÀ» »ç¿ëÇÏ´Â °ÍÀÌ ½±Áö ¾Ê±â ¶§¹®ÀÌ´Ù. ±×·³¿¡µµ °ú°Å¿¡ ºñÇØ¼´Â ±â¼úÀÌ ¹ßÀüÇÏ¸é¼ µÎ°³ÀúÁ¾¾çµµ ³»½Ã°æÀ» Ȱ¿ëÇÒ ¼ö ÀÖ´Â ¿µ¿ªÀÌ Á¡Á¡ È®´ëµÇ°í ÀÖ´Ù. ¾ÕÀ¸·Î ´õ ¹ßÀüÇÒ °ÍÀ¸·Î º»´Ù.¡±
-¹Ù¾ßÈå·Î ¡®·Îº¿ ¼ö¼úÀÇ ½Ã´ë¡¯ ¾Æ´Ñ°¡?
¡°µÎ°³ÀúÁ¾¾ç ºÐ¾ß¿¡¼ ·Îº¿ ¼ö¼úÀº ¾ÆÁ÷ Ãʱ⠽ÃÇè ´Ü°è´Ù. ¾ÆÁÖ °£´ÜÇÑ ¼ö¼ú¿¡ Á¦ÇÑÀûÀ¸·Î »ç¿ëÇϱ⵵ ÇÏÁö¸¸, °ÅÀÇ ¾²Áö ¾Ê´Â´Ù. º¯¼ö°¡ ³Ê¹« ¸¹±â ¶§¹®ÀÌ´Ù. ¿¹¸¦ µé¾î °°Àº ¼ö¸·Á¾À̶ó°í ÇØµµ, ¼ö¼úÇØº¸¸é ¾î¶² ¼ö¸·Á¾Àº ½Ã½Å°æ¿¡ ºÙ¾îÀÖ°í, ¾î¶² ¼ö¸·Á¾Àº Ç÷°üÀ» °¨½Î°í ÀÖ´Ù. Á¾¾çÀÌ ¿¹»óº¸´Ù ´Ü´ÜÇÑ °æ¿ìµµ ÀÖ´Ù. »ç¶÷ÀÇ ¼ÕÀ¸·Î ¼ö¼úÇÏ¸é ±×¶§±×¶§ ´ëÀÀÀÌ °¡´ÉÇѵ¥, ·Îº¿ ÆÈÀ» ÀÌ¿ëÇÒ ¶§´Â ÀÌ·± ºÎºÐ±îÁö ´ëÀÀÇÏ±ä ¾î·Æ´Ù. µÎ°³ÀúÁ¾¾ç ·Îº¿ ¼ö¼ú »ó¿ëȱîÁö ¾ÆÁ÷ ½Ã°£ÀÌ ÇÊ¿äÇÏÁö¸¸, ¼¼¹ÐÇÔÀÌ °³¼±µÇ°í µ¥ÀÌÅͰ¡ ½×À̸é ÀÌ °°Àº ÇѰ踦 ±Øº¹ÇÒ °ÍÀ̶ó°í »ý°¢ÇÑ´Ù.¡±
-óÀ½ µÎ°³ÀúÁ¾¾ç ¼ö¼úÀ» ¹è¿ï ¶§ Çß´ø ³ë·ÂÀÌ ÀÖ´Ù¸é?
¡°·¹Áö´øÆ® ½ÃÀý ¼ö¼ú¿¡ µé¾î°¡¸é »ó´çÈ÷ ¶³¸°´Ù. »ç¶÷À̶ó¸é ±×·² ¼ö¹Û¿¡ ¾ø´Ù. ƯÈ÷ ³ú¼ö¼úÀº Á¶±Ý¸¸ À߸øÇصµ À§ÇèÇÑ »óȲÀÌ ¹ß»ýÇÒ ¼ö Àֱ⠶§¹®¿¡ ´õ¿í ±äÀåÇÏ°Ô µÈ´Ù. ±×¶§ ½º½Â¿¡°Ô ¹è¿î °Ô ÈûÀ» »©´Â ±â¼úÀ̾ú´Ù. ±×·¡¼ óÀ½¿£ ¶³¸±¼ö·Ï Á¤½ÅÀ» ´ÙÀâ°í ¾î±ú, ÆÈ²ÞÄ¡, ¼Õ¸ñÀÇ ÈûÀ» »©·Á°í ³ë·ÂÇß´Ù. ±× ¿Ü¿¡ Á£°¡¶ôÀ¸·Î Äá Àâ±â °°Àº °Íµµ ¸¹ÀÌ Çϰí, È¥ÀÚ À̹ÌÁö Æ®·¹ÀÌ´×µµ Á¤¸» ¸¹ÀÌ Çß´Ù.¡±
-µÎ°³ÀúÁ¾¾ç ¼ö¼úÀ» ÇÏ´Â Àǻ簡 ¸¹Áö ¾ÊÀºµ¥?
¡°ÀºÅð Àü±îÁö µÎ°³Àú¼ö¼úÀ» ÇÒ ¼ö ÀÖ´Â »õ·Î¿î ÀÇ»çµéÀ» À°¼ºÇϰíÀÚ ÇÑ´Ù. ±³À°À» ÅëÇØ ÀþÀº Àü°øÀǵéÀÌ µÎ°³Àú¿¡ °ü½ÉÀ» °¡Áú ¼ö ÀÖµµ·Ï ³ë·ÂÇϰí ÀÖ´Ù. ±× Àü¿¡ ó¿ì¿¡ ´ëÇÑ °³¼±µµ ÇÊ¿äÇÏ´Ù. Èûµçµ¥ ÀûÀýÇÑ º¸»óÀÌ ¾øÀ¸¸é ´©±¸µµ ÀÌ ºÐ¾ß¸¦ ¼±ÅÃÇÏ·Á ÇÏÁö ¾Ê´Â´Ù. ÇÐȸ Â÷¿ø¿¡¼µµ °³¼± ¹æ¾ÈÀ» ã°í ÀÖ´Ù. Á¤Ã¥ÀûÀÎ Áö¿øµµ µÞ¹ÞħµÅ¾ß ÇÑ´Ù.¡±
¼³È£ÁØ ±³¼ö´Â¡¦
¼¿ï´ë ÀǴ븦 Á¹¾÷ÇÏ°í µ¿´ëÇÐ ¼®¡¤¹Ú»ç ÇÐÀ§¸¦ ÃëµæÇß´Ù. ÇöÀç »ï¼º¼¿ïº´¿ø ½Å°æ¿Ü°ú Áø·á°úÀåÀ» ¸Ã°í ÀÖÀ¸¸ç, ´ëÇѽŰæ¿Ü°úÇÐȸ, ´ëÇѳ»½Ã°æ³ú¼ö¼úÇÐȸ, ´ëÇѳúÁ¾¾çÇÐȸ, ´ëÇÑ½Å°æ¹æ»ç¼±¼ö¼úÇÐȸ µî ¿©·¯ ÇÐȸ¿¡¼ Ȱ¹ßÈ÷ Ȱµ¿ ÁßÀÌ´Ù. ÃÖ±Ù¿¡´Â ´ëÇѵΰ³ÀúÇÐȸ Â÷±â ȸÀåÀ¸·Îµµ ¼±ÃâµÆ´Ù. ¼³ ±³¼öÀÇ ÁÖ¿ä Áø·áºÐ¾ß´Â µÎ°³ÀúÁ¾¾ç, ³úÁ¾¾ç, ³úÇϼöü Á¾¾ç µîÀÌ´Ù. ƯÈ÷ Á¢±ÙÀÌ ¾î·Á¿î ¼ö¸·Á¾¡¤½Å°æÃÊÁ¾ µî ¾ç¼º µÎ°³ÀúÁ¾¾ç°ú ´Ù¾çÇÑ ¾Ç¼º ÁúȯÀÇ ¹Ì¼¼¼ö¼ú ºÐ¾ß¿¡¼ Àü¹®¼ºÀ» ÀÎÁ¤¹Þ°í ÀÖ´Ù. ÇöÀç ³Ä¡¼º ¾Ç¼º ³úÁ¾¾ç ÃֽŠġ·á ±â¹ý°ú ȯÀÚ ¸ÂÃãÇü Ä¡·á¸¦ À§ÇÑ ±âÃÊ¡¤Áß°³ ¿¬±¸¿¡µµ ¸ÅÁøÇϰí ÀÖ´Ù.
¡°·¹Áö´øÆ® ½ÃÀý ¼ö¼ú¿¡ µé¾î°¡¸é »ó´çÈ÷ ¶³¸°´Ù. »ç¶÷À̶ó¸é ±×·² ¼ö¹Û¿¡ ¾ø´Ù. ƯÈ÷ ³ú¼ö¼úÀº Á¶±Ý¸¸ À߸øÇصµ À§ÇèÇÑ »óȲÀÌ ¹ß»ýÇÒ ¼ö Àֱ⠶§¹®¿¡ ´õ¿í ±äÀåÇÏ°Ô µÈ´Ù. ±×¶§ ½º½Â¿¡°Ô ¹è¿î °Ô ÈûÀ» »©´Â ±â¼úÀ̾ú´Ù. ±×·¡¼ óÀ½¿£ ¶³¸±¼ö·Ï Á¤½ÅÀ» ´ÙÀâ°í ¾î±ú, ÆÈ²ÞÄ¡, ¼Õ¸ñÀÇ ÈûÀ» »©·Á°í ³ë·ÂÇß´Ù. ±× ¿Ü¿¡ Á£°¡¶ôÀ¸·Î Äá Àâ±â °°Àº °Íµµ ¸¹ÀÌ Çϰí, È¥ÀÚ À̹ÌÁö Æ®·¹ÀÌ´×µµ Á¤¸» ¸¹ÀÌ Çß´Ù.¡±
-µÎ°³ÀúÁ¾¾ç ¼ö¼úÀ» ÇÏ´Â Àǻ簡 ¸¹Áö ¾ÊÀºµ¥?
¡°ÀºÅð Àü±îÁö µÎ°³Àú¼ö¼úÀ» ÇÒ ¼ö ÀÖ´Â »õ·Î¿î ÀÇ»çµéÀ» À°¼ºÇϰíÀÚ ÇÑ´Ù. ±³À°À» ÅëÇØ ÀþÀº Àü°øÀǵéÀÌ µÎ°³Àú¿¡ °ü½ÉÀ» °¡Áú ¼ö ÀÖµµ·Ï ³ë·ÂÇϰí ÀÖ´Ù. ±× Àü¿¡ ó¿ì¿¡ ´ëÇÑ °³¼±µµ ÇÊ¿äÇÏ´Ù. Èûµçµ¥ ÀûÀýÇÑ º¸»óÀÌ ¾øÀ¸¸é ´©±¸µµ ÀÌ ºÐ¾ß¸¦ ¼±ÅÃÇÏ·Á ÇÏÁö ¾Ê´Â´Ù. ÇÐȸ Â÷¿ø¿¡¼µµ °³¼± ¹æ¾ÈÀ» ã°í ÀÖ´Ù. Á¤Ã¥ÀûÀÎ Áö¿øµµ µÞ¹ÞħµÅ¾ß ÇÑ´Ù.¡±
¼³È£ÁØ ±³¼ö´Â¡¦
¼¿ï´ë ÀǴ븦 Á¹¾÷ÇÏ°í µ¿´ëÇÐ ¼®¡¤¹Ú»ç ÇÐÀ§¸¦ ÃëµæÇß´Ù. ÇöÀç »ï¼º¼¿ïº´¿ø ½Å°æ¿Ü°ú Áø·á°úÀåÀ» ¸Ã°í ÀÖÀ¸¸ç, ´ëÇѽŰæ¿Ü°úÇÐȸ, ´ëÇѳ»½Ã°æ³ú¼ö¼úÇÐȸ, ´ëÇѳúÁ¾¾çÇÐȸ, ´ëÇÑ½Å°æ¹æ»ç¼±¼ö¼úÇÐȸ µî ¿©·¯ ÇÐȸ¿¡¼ Ȱ¹ßÈ÷ Ȱµ¿ ÁßÀÌ´Ù. ÃÖ±Ù¿¡´Â ´ëÇѵΰ³ÀúÇÐȸ Â÷±â ȸÀåÀ¸·Îµµ ¼±ÃâµÆ´Ù. ¼³ ±³¼öÀÇ ÁÖ¿ä Áø·áºÐ¾ß´Â µÎ°³ÀúÁ¾¾ç, ³úÁ¾¾ç, ³úÇϼöü Á¾¾ç µîÀÌ´Ù. ƯÈ÷ Á¢±ÙÀÌ ¾î·Á¿î ¼ö¸·Á¾¡¤½Å°æÃÊÁ¾ µî ¾ç¼º µÎ°³ÀúÁ¾¾ç°ú ´Ù¾çÇÑ ¾Ç¼º ÁúȯÀÇ ¹Ì¼¼¼ö¼ú ºÐ¾ß¿¡¼ Àü¹®¼ºÀ» ÀÎÁ¤¹Þ°í ÀÖ´Ù. ÇöÀç ³Ä¡¼º ¾Ç¼º ³úÁ¾¾ç ÃֽŠġ·á ±â¹ý°ú ȯÀÚ ¸ÂÃãÇü Ä¡·á¸¦ À§ÇÑ ±âÃÊ¡¤Áß°³ ¿¬±¸¿¡µµ ¸ÅÁøÇϰí ÀÖ´Ù.