[해외토픽]
팔씨름을 하다 갑작스러운 통증과 함께 팔뼈가 부러진 20대 남성의 사례가 보고됐다.
미국 제퍼슨스트랫퍼드종합병원 응급의학과 의료진에 따르면, 25세 남성은 팔씨름 도중 발생한 급성 우측 위팔 통증으로 응급실을 찾았다. 환자는 상대방의 팔을 넘기기 위해 강하게 힘을 주는 순간, 갑작스럽게 심한 통증이 발생했다고 진술했다.
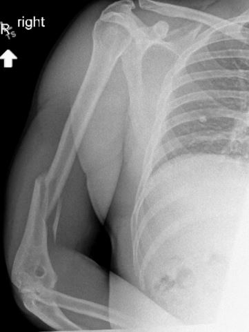
환자의 오른쪽 팔 윗부분에 변형이 관찰됐고 상완골 바깥쪽으로 심한 압통이 확인됐다. 환자는 통증으로 인해 팔을 스스로 움직일 수 없는 상태였다. 이어진 엑스레이 검사 결과, 상완골 중간 부위에 나선형 골절이 확인됐다.
다행히 신경이나 혈관 손상은 없었고, 뼈가 크게 어긋나지 않은 점을 고려해 의료진은 보존적 치료를 결정했다. 환자는 바로 뼈를 맞추고, 도수 조작을 통해 골 정렬을 개선하는 처치를 받았다. 이후 촬영한 영상에서도 정렬이 양호하게 유지된 것으로 확인됐다. 환자는 부목으로 팔을 고정한 뒤, 해당 부위에 체중을 싣지 않도록 주의하라는 안내와 함께 정형외과 외래 추적 관찰을 권고받고 퇴원했다.
상완골 골절, 특히 나선형 골절은 일반적으로 뼈에 비틀림힘이 가해질 때 발생하는 골절 형태로, 횡골절이나 사선골절보다 변위 가능성은 상대적으로 낮지만 뼈가 제대로 붙지 않거나 비뚤게 붙는 등의 합병증 위험은 여전히 존재한다. 다만 이번 사례처럼 환자가 젊고 건강하며, 골절 변위가 크지 않고 신경혈관 손상이 없는 경우 수술 없이 뼈를 맞추고 고정하는 치료만으로 충분한 회복을 기대할 수 있다.
일본 에이주 종합병원, 게이오대 의과대학 공동 연구팀이 팔씨름 중 발생한 153건의 상완골 골절에 대해 분석한 결과, 경기 세부 정보가 기록된 환자들은 대부분 경기 흐름을 바꾸기 위해 순간적으로 강한 굴곡 동작을 취하는 과정에서 부상을 입은 것으로 나타났다. 특히 이러한 골절은 숙련된 선수보다 일반인에게서 더 흔한 것으로 보고됐는데, 이는 숙련된 선수는 팔꿈치를 테이블에 고정하는 반면 일반인은 경기 중 몸이 흔들리며 어깨 높이에서 팔을 고정한 채 힘을 쓰기 때문으로 분석됐다.
의료진은 “이러한 골절은 경기 중 상완골에 가해지는 힘의 특성과, 상완골 하부 쪽이 상대적으로 얇다는 점에서 기인한다”며 “팔씨름 후 갑작스러운 통증이나 변형, 움직임 제한이 나타날 경우 단순 근육통으로 넘기지 말고 골절 가능성을 염두에 둬야 한다”고 했다.
한편, 이 사례는 ‘큐레우스’ 저널에 지난 25일 게재됐다.
미국 제퍼슨스트랫퍼드종합병원 응급의학과 의료진에 따르면, 25세 남성은 팔씨름 도중 발생한 급성 우측 위팔 통증으로 응급실을 찾았다. 환자는 상대방의 팔을 넘기기 위해 강하게 힘을 주는 순간, 갑작스럽게 심한 통증이 발생했다고 진술했다.
환자의 오른쪽 팔 윗부분에 변형이 관찰됐고 상완골 바깥쪽으로 심한 압통이 확인됐다. 환자는 통증으로 인해 팔을 스스로 움직일 수 없는 상태였다. 이어진 엑스레이 검사 결과, 상완골 중간 부위에 나선형 골절이 확인됐다.
다행히 신경이나 혈관 손상은 없었고, 뼈가 크게 어긋나지 않은 점을 고려해 의료진은 보존적 치료를 결정했다. 환자는 바로 뼈를 맞추고, 도수 조작을 통해 골 정렬을 개선하는 처치를 받았다. 이후 촬영한 영상에서도 정렬이 양호하게 유지된 것으로 확인됐다. 환자는 부목으로 팔을 고정한 뒤, 해당 부위에 체중을 싣지 않도록 주의하라는 안내와 함께 정형외과 외래 추적 관찰을 권고받고 퇴원했다.
상완골 골절, 특히 나선형 골절은 일반적으로 뼈에 비틀림힘이 가해질 때 발생하는 골절 형태로, 횡골절이나 사선골절보다 변위 가능성은 상대적으로 낮지만 뼈가 제대로 붙지 않거나 비뚤게 붙는 등의 합병증 위험은 여전히 존재한다. 다만 이번 사례처럼 환자가 젊고 건강하며, 골절 변위가 크지 않고 신경혈관 손상이 없는 경우 수술 없이 뼈를 맞추고 고정하는 치료만으로 충분한 회복을 기대할 수 있다.
일본 에이주 종합병원, 게이오대 의과대학 공동 연구팀이 팔씨름 중 발생한 153건의 상완골 골절에 대해 분석한 결과, 경기 세부 정보가 기록된 환자들은 대부분 경기 흐름을 바꾸기 위해 순간적으로 강한 굴곡 동작을 취하는 과정에서 부상을 입은 것으로 나타났다. 특히 이러한 골절은 숙련된 선수보다 일반인에게서 더 흔한 것으로 보고됐는데, 이는 숙련된 선수는 팔꿈치를 테이블에 고정하는 반면 일반인은 경기 중 몸이 흔들리며 어깨 높이에서 팔을 고정한 채 힘을 쓰기 때문으로 분석됐다.
의료진은 “이러한 골절은 경기 중 상완골에 가해지는 힘의 특성과, 상완골 하부 쪽이 상대적으로 얇다는 점에서 기인한다”며 “팔씨름 후 갑작스러운 통증이나 변형, 움직임 제한이 나타날 경우 단순 근육통으로 넘기지 말고 골절 가능성을 염두에 둬야 한다”고 했다.
한편, 이 사례는 ‘큐레우스’ 저널에 지난 25일 게재됐다.
이 기사와 관련기사