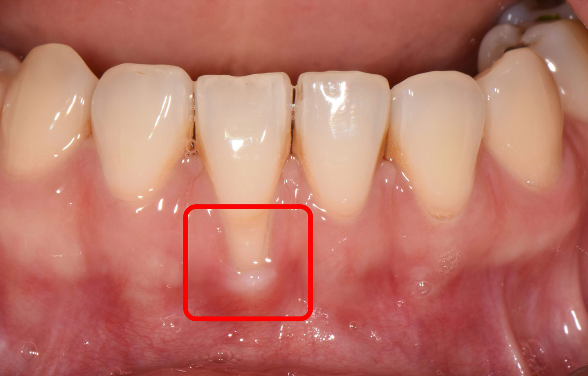
°Å¿ïÀ» º¼ ¶§ ¾Õ´Ï°¡ À¯µ¶ ±æ¾î º¸À̰ųª ¿ôÀ» ¶§ Ä¡¾Æ »Ñ¸®°¡ µå·¯³ª ½ºÆ®·¹½º¸¦ ¹Þ´Â À̵éÀÌ ´Ã°í ÀÖ´Ù. ÀÌ´Â ÀÕ¸öÀÌ Ä¡¾Æ »Ñ¸® ¹æÇâÀ¸·Î ³»·Á¾É´Â ¡®Ä¡Àº ÅðÃ࡯ Çö»óÀ¸·Î ´Ü¼øÈ÷ º¸±â ½ÈÀº °ÍÀ» ³Ñ¾î Âù¹°¿¡ ½Ã¸° Áõ»ó°ú »Ñ¸® ÃæÄ¡¸¦ À¯¹ßÇØ Ä¡¾Æ ¼ö¸íÀ» ´ÜÃà½ÃŰ´Â ÁÖ¿øÀÎÀÌ µÈ´Ù.
¡ÞÄ¡¾Æ À§Ä¡ µî ¿µÇ⡦ ÀþÀºÃþ¿¡¼µµ ¹ß»ý
Ä¡Àº ÅðÃàÀº À߸øµÈ Ä©¼ÖÁú ½À°ü»Ó¸¸ ¾Æ´Ï¶ó ¼±ÃµÀûÀ¸·Î ÀÕ¸ö»À¿Í ÀÕ¸öÀÌ ¾ãÀº °æ¿ì ¹ß»ý ºóµµ°¡ ³ô´Ù. ƯÈ÷ Ä¡¾Æ ±³Á¤ µîÀ¸·Î Ä¡¾Æ°¡ À̵¿ÇÏ´Â °úÁ¤¿¡¼ ¾ãÀº ÀÕ¸öÀÌ ¹öƼÁö ¸øÇØ ÅðÃàÀÌ ÁøÇàµÇ´Â °æ¿ìµµ ÀÖ´Ù.
Ä¡ÁÖÁúȯÀ¸·Î ÀÎÇÑ ÀÕ¸ö Á¶Á÷ÀÇ ¼Ò½ÇÀº ÁÖ·Î ÁßÀå³âÃþ¿¡¼ ³ªÅ¸³ªÁö¸¸, Ä¡¾Æ ¿Ü»ó µî¿¡ ÀÇÇØ Ä¡ÁÖÁ¶Á÷ÀÌ ¾ãÀº ºÎÀ§¿¡¼ »ý±â´Â Ä¡ÀºÅðÃàÀº ÀþÀº ¿¬·É¿¡µµ ÀÚÁÖ ¹ß»ýÇÑ´Ù. °í·Á´ë ¾È»êº´¿ø Ä¡ÁÖ°ú ±èÇö ±³¼ö´Â ¡°Ä¡¾Æ »Ñ¸®°¡ ÈÖ¾îÁø Á¤µµ, Ä¡¾Æ À§Ä¡µµ ¿µÇâÀ» Áش١±¸ç ¡°¸Â´ê´Â Ä¡¾Æ°¡ ¾ø¾î Ä¡¾Æ°¡ ¼Ú¾Æ³ª´Â ¡®Á¤Ã⡯ Çö»óÀÌ »ý±â´Â °æ¿ì¿¡µµ »ó´ëÀûÀÎ ÀÕ¸öÅðÃàÀÌ ¹ß»ýÇÑ´Ù¡±°í ¸»Çß´Ù.
ÀÕ¸öÀÌ Ä¡¾Æ »Ñ¸® ¹æÇâÀ¸·Î ³»·Á°¡¸é Ä¡¾Æ »Ñ¸®°¡ ³ëÃâµÅ Â÷°í ¶ß°Å¿î °Í¿¡ ¹Î°¨ÇØÁø´Ù. Ä¡¾Æ »çÀÌ °ø°£ÀÌ ³Ð¾îÁú °æ¿ì À½½Ä¹°ÀÌ Àß ³¢¸ç, ³ëÃâµÈ ¸éÀ̳ª ÀÎÁ¢ÇÑ ¸é¿¡ ÃæÄ¡°¡ ¹ß»ýÇÒ ¼öµµ ÀÖ´Ù. Æò¼Òº¸´Ù Ä¡¾Æ »çÀÌ¿¡ À½½Ä¹°ÀÌ ¸¹ÀÌ ³¢°Å³ª, ¾Õ´Ï »Ñ¸®°¡ ÀÌÀüº¸´Ù ¸¹ÀÌ º¸À̰í Ä¡¾Æ°¡ ±æ¾îÁø °Íó·³ ´À²¸Áø´Ù¸é ÀÕ¸ö Á¡°ËÀ» ¹Þ¾Æº¼ Çʿ䰡 ÀÖ´Ù.
¡ÞÀÕ¸ö Á¶Á÷ À̽ÄÇØ Ä¡·á °¡´É
ÀÌ·¯ÇÑ ¹®Á¦¸¦ ÇØ°áÇÏ´Â Ä¡·á¹ýÀÌ ¹Ù·Î ¡®Ä¡±ÙÇǰ³¼ú(ÀÕ¸ö Àç°Ç¼ú)¡¯ÀÌ´Ù. ³ëÃâµÈ Ä¡¾Æ »Ñ¸®¸¦ ´Ù½Ã ưưÇÑ ÀÕ¸öÀ¸·Î µ¤¾îÁÖ¾î ½É¹Ì¼ºÀ» ȸº¹Çϰí Ä¡¾Æ¸¦ º¸È£ÇÏ´Â ¼ú½ÄÀÌ´Ù.
Ä¡ÁÖ°úÀûÀÎ Çй®Àû ±Ù°Å¿¡ ±â¹ÝÇÑ °¡Àå Á¤¼®ÀûÀÎ ¹æ¹ýÀº ÀÕ¸öÀ» Àý°³ÇÏ¿© ²ø¾î¿Ã¸®´Â ¹æ½Ä(CAF)°ú ¡®ÀÚ°¡ ÀÕ¸ö À̽ļú(SCTG)¡¯À» º´ÇàÇÏ´Â °ÍÀÌ´Ù. ÀÕ¸öÀ» Ä¡¾Æ ÂÊÀ¸·Î ¿Ã¸®¸é¼ ȯÀÚ º»ÀÎÀÇ ÀÔõÀå¿¡¼ ưưÇÑ ÀÕ¸ö Á¶Á÷À» ¶¼¾î¿Í À̽ÄÇÏ´Â ¹æ½ÄÀÌ´Ù. »ýÂø·üÀÌ ³ôÀ¸¸ç ¾ãÀº ÀÕ¸öÀ̳ª ³ëÃâµÈ Ä¡¾Æ »Ñ¸®¸¦ ´Ù½Ã ÀÕ¸öÀ¸·Î µ¤¾î È®½ÇÇÏ°Ô °³¼±ÇÒ ¼ö ÀÖ´Ù.
ÃÖ±Ù¿¡´Â ÀÔõÀå¿¡¼ Á¶Á÷À» ¶¼¾î³¾ ¶§ÀÇ ÅëÁõÀ» ÁÙÀ̰í ȸº¹À» ºü¸£°Ô µ½´Â ´Ù¾çÇÑ ¼ö¼ú ±â¹ýµéÀÌ ½ÃµµµÇ°í ÀÖ´Ù. ÀÚ°¡ Á¶Á÷ ´ë½Å ¾ÈÀüÇÏ°Ô °¡°øµÈ ´ëü ÁøÇÇ(ADM)¸¦ »ç¿ëÇÏ¿© ¼ö¼ú ÈÄ ÅëÁõÀ» ȹ±âÀûÀ¸·Î ÁÙÀ̰ųª ÀÕ¸ö Àüü¸¦ Àý°³ÇÏÁö ¾Ê°í ¹Ì¼¼ÇÑ ±¸¸ÛÀ» ÅëÇØ ¼ö¼úÇÏ´Â ¡®Åͳθµ¡¯, ¡®VISTA¡¯ ±â¹ý µîÀÌ ´ëÇ¥ÀûÀÌ´Ù.
±èÇö ±³¼ö´Â ¡°Ä¡Àº ÅðÃà Ä¡·á´Â ´Ü¼øÈ÷ Ä¡¾Æ »Ñ¸®¸¦ µ¤´Â °ÍÀ» ³Ñ¾î ȯÀÚ°¡ °¡Áø ÇöÀçÀÇ ÀÕ¸ö ³ôÀÌ¿Í »À »óŸ¦ °í·ÁÇÏ¿© Çй®Àû ±Ù°Å¸¦ ¹ÙÅÁÀ¸·Î ÇÑ ¸ÂÃãÇü Ä¡·á ¼³°è¿Í ¼úÀÚÀÇ °æÇèÀÌ ¼ºÆÐ¸¦ Á¿ìÇÑ´Ù¡±°í ¸»Çß´Ù.
ÀÌ¾î ±è ±³¼ö´Â ¡°¾Õ´Ï¿Í °°Àº ½É¹ÌÀûÀÎ ºÎÀ§´Â ÈäÅͰ¡ ³²Áö ¾Êµµ·Ï ¹Ì¼¼ Çö¹Ì°æÀ̳ª È®´ë°æÀ» ÀÌ¿ëÇÑ ¹Ì¼¼ ¼ö¼úÀÌ À¯¸®ÇÏ´Ù¡±¸ç ¡°È¯ÀÚÀÇ »óȲ¿¡ µû¶ó ¡®ÀÚ°¡ À̽ÄÀÇ ¾ÈÁ¤¼º¡¯ÀÌ ÇÊ¿äÇÑÁö, ¡®´ëü ÁøÇǸ¦ ÅëÇÑ ¼ö¼ú ÈÄ ÅëÁõ °¨¼Ò¡¯°¡ À¯¸®ÇÒÁö¸¦ Á¤È®È÷ ÆÇ´ÜÇØ ÁÙ ¼ö ÀÖ´Â Àü¹®°¡¿Í »ó´ãÇØ º¸´Â °ÍÀÌ Áß¿äÇÏ´Ù¡±°í Çß´Ù. ¾Æ¿ï·¯ ¡°±³Á¤ Ä¡·á ÀüÈÄ ÀÕ¸öÀÌ ¾ã¾ÆÁú ¿ì·Á°¡ Àְųª ÀÌ¹Ì »Ñ¸®°¡ µå·¯³ °æ¿ì¿¡µµ ÀûÀýÇÑ ½Ã±â¿¡ ÀÕ¸ö Àç°Ç¼úÀ» ½ÃÇàÇÏ¸é °Ç°ÇÏ°í ¾Æ¸§´Ù¿î ÀÕ¸ö ¶óÀÎÀ» µÇãÀ» ¼ö ÀÖ´Ù¡±°í ¸»Çß´Ù.
¡ÞÄ¡¾Æ À§Ä¡ µî ¿µÇ⡦ ÀþÀºÃþ¿¡¼µµ ¹ß»ý
Ä¡Àº ÅðÃàÀº À߸øµÈ Ä©¼ÖÁú ½À°ü»Ó¸¸ ¾Æ´Ï¶ó ¼±ÃµÀûÀ¸·Î ÀÕ¸ö»À¿Í ÀÕ¸öÀÌ ¾ãÀº °æ¿ì ¹ß»ý ºóµµ°¡ ³ô´Ù. ƯÈ÷ Ä¡¾Æ ±³Á¤ µîÀ¸·Î Ä¡¾Æ°¡ À̵¿ÇÏ´Â °úÁ¤¿¡¼ ¾ãÀº ÀÕ¸öÀÌ ¹öƼÁö ¸øÇØ ÅðÃàÀÌ ÁøÇàµÇ´Â °æ¿ìµµ ÀÖ´Ù.
Ä¡ÁÖÁúȯÀ¸·Î ÀÎÇÑ ÀÕ¸ö Á¶Á÷ÀÇ ¼Ò½ÇÀº ÁÖ·Î ÁßÀå³âÃþ¿¡¼ ³ªÅ¸³ªÁö¸¸, Ä¡¾Æ ¿Ü»ó µî¿¡ ÀÇÇØ Ä¡ÁÖÁ¶Á÷ÀÌ ¾ãÀº ºÎÀ§¿¡¼ »ý±â´Â Ä¡ÀºÅðÃàÀº ÀþÀº ¿¬·É¿¡µµ ÀÚÁÖ ¹ß»ýÇÑ´Ù. °í·Á´ë ¾È»êº´¿ø Ä¡ÁÖ°ú ±èÇö ±³¼ö´Â ¡°Ä¡¾Æ »Ñ¸®°¡ ÈÖ¾îÁø Á¤µµ, Ä¡¾Æ À§Ä¡µµ ¿µÇâÀ» Áش١±¸ç ¡°¸Â´ê´Â Ä¡¾Æ°¡ ¾ø¾î Ä¡¾Æ°¡ ¼Ú¾Æ³ª´Â ¡®Á¤Ã⡯ Çö»óÀÌ »ý±â´Â °æ¿ì¿¡µµ »ó´ëÀûÀÎ ÀÕ¸öÅðÃàÀÌ ¹ß»ýÇÑ´Ù¡±°í ¸»Çß´Ù.
ÀÕ¸öÀÌ Ä¡¾Æ »Ñ¸® ¹æÇâÀ¸·Î ³»·Á°¡¸é Ä¡¾Æ »Ñ¸®°¡ ³ëÃâµÅ Â÷°í ¶ß°Å¿î °Í¿¡ ¹Î°¨ÇØÁø´Ù. Ä¡¾Æ »çÀÌ °ø°£ÀÌ ³Ð¾îÁú °æ¿ì À½½Ä¹°ÀÌ Àß ³¢¸ç, ³ëÃâµÈ ¸éÀ̳ª ÀÎÁ¢ÇÑ ¸é¿¡ ÃæÄ¡°¡ ¹ß»ýÇÒ ¼öµµ ÀÖ´Ù. Æò¼Òº¸´Ù Ä¡¾Æ »çÀÌ¿¡ À½½Ä¹°ÀÌ ¸¹ÀÌ ³¢°Å³ª, ¾Õ´Ï »Ñ¸®°¡ ÀÌÀüº¸´Ù ¸¹ÀÌ º¸À̰í Ä¡¾Æ°¡ ±æ¾îÁø °Íó·³ ´À²¸Áø´Ù¸é ÀÕ¸ö Á¡°ËÀ» ¹Þ¾Æº¼ Çʿ䰡 ÀÖ´Ù.
¡ÞÀÕ¸ö Á¶Á÷ À̽ÄÇØ Ä¡·á °¡´É
ÀÌ·¯ÇÑ ¹®Á¦¸¦ ÇØ°áÇÏ´Â Ä¡·á¹ýÀÌ ¹Ù·Î ¡®Ä¡±ÙÇǰ³¼ú(ÀÕ¸ö Àç°Ç¼ú)¡¯ÀÌ´Ù. ³ëÃâµÈ Ä¡¾Æ »Ñ¸®¸¦ ´Ù½Ã ưưÇÑ ÀÕ¸öÀ¸·Î µ¤¾îÁÖ¾î ½É¹Ì¼ºÀ» ȸº¹Çϰí Ä¡¾Æ¸¦ º¸È£ÇÏ´Â ¼ú½ÄÀÌ´Ù.
Ä¡ÁÖ°úÀûÀÎ Çй®Àû ±Ù°Å¿¡ ±â¹ÝÇÑ °¡Àå Á¤¼®ÀûÀÎ ¹æ¹ýÀº ÀÕ¸öÀ» Àý°³ÇÏ¿© ²ø¾î¿Ã¸®´Â ¹æ½Ä(CAF)°ú ¡®ÀÚ°¡ ÀÕ¸ö À̽ļú(SCTG)¡¯À» º´ÇàÇÏ´Â °ÍÀÌ´Ù. ÀÕ¸öÀ» Ä¡¾Æ ÂÊÀ¸·Î ¿Ã¸®¸é¼ ȯÀÚ º»ÀÎÀÇ ÀÔõÀå¿¡¼ ưưÇÑ ÀÕ¸ö Á¶Á÷À» ¶¼¾î¿Í À̽ÄÇÏ´Â ¹æ½ÄÀÌ´Ù. »ýÂø·üÀÌ ³ôÀ¸¸ç ¾ãÀº ÀÕ¸öÀ̳ª ³ëÃâµÈ Ä¡¾Æ »Ñ¸®¸¦ ´Ù½Ã ÀÕ¸öÀ¸·Î µ¤¾î È®½ÇÇÏ°Ô °³¼±ÇÒ ¼ö ÀÖ´Ù.
ÃÖ±Ù¿¡´Â ÀÔõÀå¿¡¼ Á¶Á÷À» ¶¼¾î³¾ ¶§ÀÇ ÅëÁõÀ» ÁÙÀ̰í ȸº¹À» ºü¸£°Ô µ½´Â ´Ù¾çÇÑ ¼ö¼ú ±â¹ýµéÀÌ ½ÃµµµÇ°í ÀÖ´Ù. ÀÚ°¡ Á¶Á÷ ´ë½Å ¾ÈÀüÇÏ°Ô °¡°øµÈ ´ëü ÁøÇÇ(ADM)¸¦ »ç¿ëÇÏ¿© ¼ö¼ú ÈÄ ÅëÁõÀ» ȹ±âÀûÀ¸·Î ÁÙÀ̰ųª ÀÕ¸ö Àüü¸¦ Àý°³ÇÏÁö ¾Ê°í ¹Ì¼¼ÇÑ ±¸¸ÛÀ» ÅëÇØ ¼ö¼úÇÏ´Â ¡®Åͳθµ¡¯, ¡®VISTA¡¯ ±â¹ý µîÀÌ ´ëÇ¥ÀûÀÌ´Ù.
±èÇö ±³¼ö´Â ¡°Ä¡Àº ÅðÃà Ä¡·á´Â ´Ü¼øÈ÷ Ä¡¾Æ »Ñ¸®¸¦ µ¤´Â °ÍÀ» ³Ñ¾î ȯÀÚ°¡ °¡Áø ÇöÀçÀÇ ÀÕ¸ö ³ôÀÌ¿Í »À »óŸ¦ °í·ÁÇÏ¿© Çй®Àû ±Ù°Å¸¦ ¹ÙÅÁÀ¸·Î ÇÑ ¸ÂÃãÇü Ä¡·á ¼³°è¿Í ¼úÀÚÀÇ °æÇèÀÌ ¼ºÆÐ¸¦ Á¿ìÇÑ´Ù¡±°í ¸»Çß´Ù.
ÀÌ¾î ±è ±³¼ö´Â ¡°¾Õ´Ï¿Í °°Àº ½É¹ÌÀûÀÎ ºÎÀ§´Â ÈäÅͰ¡ ³²Áö ¾Êµµ·Ï ¹Ì¼¼ Çö¹Ì°æÀ̳ª È®´ë°æÀ» ÀÌ¿ëÇÑ ¹Ì¼¼ ¼ö¼úÀÌ À¯¸®ÇÏ´Ù¡±¸ç ¡°È¯ÀÚÀÇ »óȲ¿¡ µû¶ó ¡®ÀÚ°¡ À̽ÄÀÇ ¾ÈÁ¤¼º¡¯ÀÌ ÇÊ¿äÇÑÁö, ¡®´ëü ÁøÇǸ¦ ÅëÇÑ ¼ö¼ú ÈÄ ÅëÁõ °¨¼Ò¡¯°¡ À¯¸®ÇÒÁö¸¦ Á¤È®È÷ ÆÇ´ÜÇØ ÁÙ ¼ö ÀÖ´Â Àü¹®°¡¿Í »ó´ãÇØ º¸´Â °ÍÀÌ Áß¿äÇÏ´Ù¡±°í Çß´Ù. ¾Æ¿ï·¯ ¡°±³Á¤ Ä¡·á ÀüÈÄ ÀÕ¸öÀÌ ¾ã¾ÆÁú ¿ì·Á°¡ Àְųª ÀÌ¹Ì »Ñ¸®°¡ µå·¯³ °æ¿ì¿¡µµ ÀûÀýÇÑ ½Ã±â¿¡ ÀÕ¸ö Àç°Ç¼úÀ» ½ÃÇàÇÏ¸é °Ç°ÇÏ°í ¾Æ¸§´Ù¿î ÀÕ¸ö ¶óÀÎÀ» µÇãÀ» ¼ö ÀÖ´Ù¡±°í ¸»Çß´Ù.
ÀÌ ±â»ç¿Í °ü·Ã±â»ç