[ÇØ¿ÜÅäÇÈ]
º¹ÅëÀ» È£¼ÒÇÏ´ø 10´ë ¿©¾ÆÀÇ À§¿¡¼ ¹öºíƼ¿¡ µé¾î°¡´Â ŸÇÇ¿ÀÄ« ÆÞÀÌ ¹«´õ±â·Î ¹ß°ßµÈ »ç·Ê°¡ º¸°íµÆ´Ù.
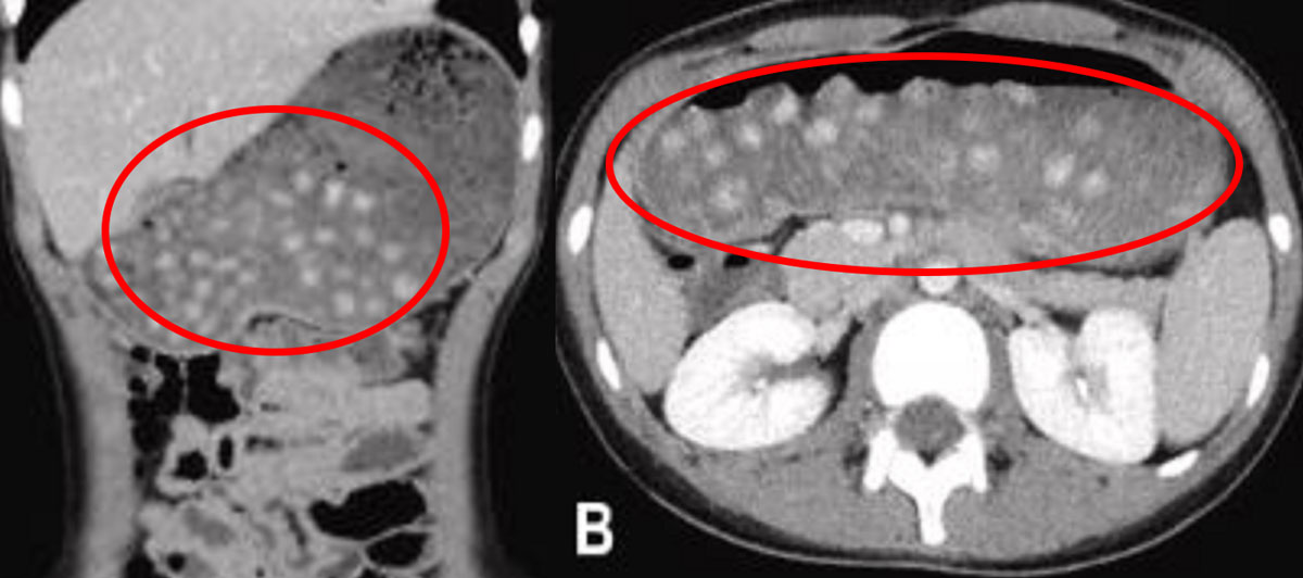
ÀϺ» ½ÃÁî¿ÀÄ«Çö ÈÄÁö½Ã Á¾ÇÕº´¿ø ¼Ò¾Æ°ú ÀÇ·áÁø¿¡ µû¸£¸é, ±âÀúÁúȯÀÌ ¾ø´Â 10¼¼ ¿µ¾Æ°¡ »óº¹ºÎ ÅëÁõÀ» È£¼ÒÇÏ¸ç ³»¿øÇß´Ù. º¹ºÎ CT °Ë»ç °á°ú, À§ ³»¿¡ ´Ù¼öÀÇ ÁøÁÖ ¸ð¾ç µ¢¾î¸®µéÀÌ °üÂûµÆ´Ù. Å©±â´Â 8~10mm Á¤µµ¿´´Ù.
±×´Â ³»¿ø 6½Ã°£ Àü ¹öºíƼ¸¦ ¼·ÃëÇß¾ú´Ù°í ÀüÇß°í, À§¸¦ ¸·°í ÀÖ´ø µ¢¾î¸®µéÀÇ Á¤Ã¼´Â ¹öºíƼ ¼Ó¿¡ µé¾î Àִ ŸÇÇ¿ÀÄ« ÆÞÀ̾ú´Ù. ÀÌ¿¡ ÀÇ·áÁøÀº ÄÚ·Î °¡´À´Ù¶õ °üÀ» ³Ö¾î À§ÀÇ ¾Ð·ÂÀ» ³·ÃçÁÖ´Â ºñÀ§°ü °¨¾Ð¼úÀ» ½ÃÇàÇß´Ù. ÀÌÈÄ ÃßÀû °üÂû °Ë»ç¿¡¼ À§ ³» º´º¯µéÀÌ ½ÊÀÌÁöÀåÀ¸·Î ¹èÃâµÈ µÚ ¼ÒÀåÀ¸·Î À̵¿ÇÑ °ÍÀÌ È®ÀεƴÙ.
ÀÇ·áÁøÀº ¡°À½½Ä¹°Àº º¸Åë ½Äµµ¿¡¼ Àß °É¸®´Âµ¥, ȯÀÚó·³ À§¿¡¼ ¹ß»ýµÇ´Â °æ¿ì´Â ¸Å¿ì µå¹°´Ù¡±¸ç ¡°ÁÖ·Î °í±â, °¢Á¾ ¾¾¾Ñ·ù, ¶±, °ï¾à µîÀÌ ´ëÇ¥Àû¡±À̶ó°í ¸»Çß´Ù. ÀÌ¾î ¡°ÃæºÐÈ÷ ¾ÃÁö ¾ÊÀº ´Ù·®ÀÇ Å¸ÇÇ¿ÀÄ« ÆÞÀ» »ïų °æ¿ì, ¼ÒȵÇÁö ¾Ê´Â ÀüºÐ ¼ººÐÀ¸·Î ÀÎÇØ À§¿¡ Á¤Ã¼µÇ¾î ÀÖÀ» ¼ö ÀÖ´Ù¡±°í ¸»Çß´Ù.
¹öºíƼ¸¦ ¸¶½Ç ¶§´Â ÆÞÀ» ÇÑ ¾Ë¾¿ ÃæºÐÈ÷ ¾Ã¾î¸Ô°í, Á¶±Ý¾¿ õõÈ÷ ¸¶¼Å¾ß ÇÑ´Ù. ÆÞÀÌ µé¾î°£ ¹öºíƼ¸¦ ½Ãų ¶§ ÆÞ ¾çÀ» ÁÙÀÌ´Â °Íµµ ¹æ¹ýÀÌ´Ù.
ÀÌ »ç·Ê´Â ¡®¼Ò¾Æ°úÇÐ ¹× ½Å»ý¾ÆÇС¯ Àú³Î¿¡ °ÔÀçµÆ´Ù.
ÀϺ» ½ÃÁî¿ÀÄ«Çö ÈÄÁö½Ã Á¾ÇÕº´¿ø ¼Ò¾Æ°ú ÀÇ·áÁø¿¡ µû¸£¸é, ±âÀúÁúȯÀÌ ¾ø´Â 10¼¼ ¿µ¾Æ°¡ »óº¹ºÎ ÅëÁõÀ» È£¼ÒÇÏ¸ç ³»¿øÇß´Ù. º¹ºÎ CT °Ë»ç °á°ú, À§ ³»¿¡ ´Ù¼öÀÇ ÁøÁÖ ¸ð¾ç µ¢¾î¸®µéÀÌ °üÂûµÆ´Ù. Å©±â´Â 8~10mm Á¤µµ¿´´Ù.
±×´Â ³»¿ø 6½Ã°£ Àü ¹öºíƼ¸¦ ¼·ÃëÇß¾ú´Ù°í ÀüÇß°í, À§¸¦ ¸·°í ÀÖ´ø µ¢¾î¸®µéÀÇ Á¤Ã¼´Â ¹öºíƼ ¼Ó¿¡ µé¾î Àִ ŸÇÇ¿ÀÄ« ÆÞÀ̾ú´Ù. ÀÌ¿¡ ÀÇ·áÁøÀº ÄÚ·Î °¡´À´Ù¶õ °üÀ» ³Ö¾î À§ÀÇ ¾Ð·ÂÀ» ³·ÃçÁÖ´Â ºñÀ§°ü °¨¾Ð¼úÀ» ½ÃÇàÇß´Ù. ÀÌÈÄ ÃßÀû °üÂû °Ë»ç¿¡¼ À§ ³» º´º¯µéÀÌ ½ÊÀÌÁöÀåÀ¸·Î ¹èÃâµÈ µÚ ¼ÒÀåÀ¸·Î À̵¿ÇÑ °ÍÀÌ È®ÀεƴÙ.
ÀÇ·áÁøÀº ¡°À½½Ä¹°Àº º¸Åë ½Äµµ¿¡¼ Àß °É¸®´Âµ¥, ȯÀÚó·³ À§¿¡¼ ¹ß»ýµÇ´Â °æ¿ì´Â ¸Å¿ì µå¹°´Ù¡±¸ç ¡°ÁÖ·Î °í±â, °¢Á¾ ¾¾¾Ñ·ù, ¶±, °ï¾à µîÀÌ ´ëÇ¥Àû¡±À̶ó°í ¸»Çß´Ù. ÀÌ¾î ¡°ÃæºÐÈ÷ ¾ÃÁö ¾ÊÀº ´Ù·®ÀÇ Å¸ÇÇ¿ÀÄ« ÆÞÀ» »ïų °æ¿ì, ¼ÒȵÇÁö ¾Ê´Â ÀüºÐ ¼ººÐÀ¸·Î ÀÎÇØ À§¿¡ Á¤Ã¼µÇ¾î ÀÖÀ» ¼ö ÀÖ´Ù¡±°í ¸»Çß´Ù.
¹öºíƼ¸¦ ¸¶½Ç ¶§´Â ÆÞÀ» ÇÑ ¾Ë¾¿ ÃæºÐÈ÷ ¾Ã¾î¸Ô°í, Á¶±Ý¾¿ õõÈ÷ ¸¶¼Å¾ß ÇÑ´Ù. ÆÞÀÌ µé¾î°£ ¹öºíƼ¸¦ ½Ãų ¶§ ÆÞ ¾çÀ» ÁÙÀÌ´Â °Íµµ ¹æ¹ýÀÌ´Ù.
ÀÌ »ç·Ê´Â ¡®¼Ò¾Æ°úÇÐ ¹× ½Å»ý¾ÆÇС¯ Àú³Î¿¡ °ÔÀçµÆ´Ù.
ÀÌ ±â»ç¿Í °ü·Ã±â»ç