¼ö¼ú ºÒ°¡´ÉÇÑ °£¾Ï, '¿¬ÇÕ Àü·«(±¹¼ÒÀûÇ׾Ϲæ»ç¼±µ¿½Ã¿ä¹ý)'À¸·Î Å©±â ÁÙÀÎ µÚ ¼ö¼ú

ÀÔ·Â 2014.07.02 08:30

[äß À¶ÇÕÄ¡·áÀÇ ÇöÀå] ¨ç°£¾Ï

Ç׾ϡ¤¹æ»ç¼± Ä¡·á µ¿½Ã ÁøÇࡦ ¿¬¼¼¾Ïº´¿ø óÀ½ °³¹ß
¼ÒÈ­±â³»°ú¡¤¿Ü°ú µî 3~4°³ Ρ, Áø·á¡¤Ä¡·á °øµ¿ Âü¿©

¾Ï Ä¡·á¿¡ ÀÖ¾î ¡®¼öÆÛ½ºÅ¸¡¯´Â ¾ø´Ù. ÃÖ÷´Ü ¾Ï Ä¡·á Àåºñ°¡ °³¹ßµÇ°í ¾Ï¼¼Æ÷¸¸ °ñ¶ó Á×Àδٴ ½Å¾àÀÌ ³ª¿Íµµ ¾ÏÀº Á¤º¹µÇÁö ¸øÇß´Ù. ¿¬¼¼¾Ïº´¿øÀº 1990³â´ë Á߹ݺÎÅÍ ³»°ú¡¤¿Ü°ú¡¤¹æ»ç¼±Á¾¾çÇаú¡¤¿µ»óÀÇÇаú¡¤Áø´Ü°Ë»çÀÇÇаú µîÀÇ ¿©·¯ Áø·á°ú°¡ Ä¡·á Àü °úÁ¤¿¡¼­ Âü¿©ÇØ Çù·ÂÇÏ´Â ¡®À¶ÇÕÄ¡·á¡¯¸¦ Çϰí ÀÖ´Ù. À¶ÇÕÄ¡·á¸¦ ÅëÇØ ¾Ï »ýÁ¸À²À» ÃÖ´ëÇÑ ²ø¾î¿Ã¸®°Ú´Ù´Â °ÍÀÌ´Ù. °£¾ÏÀ» ½ÃÀÛÀ¸·Î À§¾Ï, ´ëÀå¾ÏÀÇ À¶ÇÕÄ¡·á Àü·«¿¡ ´ëÇØ ¾Ë¾Æº»´Ù. ÆíÁýÀÚ

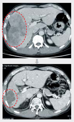
°£ ¿À¸¥ÂÊ¿¡ 11§¯ Å©±âÀÇ ¾ÏÀÌ ÀÖ´Â º¹ºÎCT»çÁø(À§)°ú ±¹¼ÒÀûÇ׾Ϲæ»ç¼±µ¿½Ã¿ä¹ýÀ» ÇÏ°í ³­ µÚ ¾Ï Å©±â°¡ 6.8§¯·Î ÁÙ¾îµç ¸ð½À.
°£ ¿À¸¥ÂÊ¿¡ 11§¯ Å©±âÀÇ ¾ÏÀÌ ÀÖ´Â º¹ºÎCT»çÁø(À§)°ú ±¹¼ÒÀûÇ׾Ϲæ»ç¼±µ¿½Ã¿ä¹ýÀ» ÇÏ°í ³­ µÚ ¾Ï Å©±â°¡ 6.8§¯·Î ÁÙ¾îµç ¸ð½À. / ¿¬¼¼¾Ïº´¿ø °£¾Ï¼¾ÅÍ Á¦°ø
°íµîÇб³ ±³»ç ±è¸ð(45)¾¾´Â 2005³â °£¾Ï Áø´ÜÀ» ¹Þ¾Ò´Ù. °£ ¿À¸¥ÂÊ¿¡ 11§¯ Å©±âÀÇ ¾ÏÀÌ ÀÖ¾ú°í °£À» Áö³ª´Â Ç÷°ü¿¡µµ ¾ÏÀÌ Ä§¹üÇÑ »óÅ¿´´Ù. ¾ÏÀÌ °£ÀÇ Àý¹Ý ÀÌ»óÀ» Â÷ÁöÇϰí ÀÖ¾î ¼ö¼úÀÌ ¾î·Á¿ü´Ù. ´ç½Ã ÁÖÄ¡ÀÇ¿´´ø ¿¬¼¼¾Ïº´¿ø °£¾Ï¼¾ÅÍ Çѱ¤Çù ±³¼ö´Â °£µ¿¸Æ¿¡ Ç×¾ÏÁ¦¸¦ ÁÖÀÔÇϰí, ¹æ»ç¼± Ä¡·á¸¦ º´ÇàÇÏ´Â '±¹¼ÒÀûÇ׾Ϲæ»ç¼±µ¿½Ã¿ä¹ý(CCRT)'À» ±ÇÇß´Ù. ½Ã¼ú ÈÄ ¾ÏÀÇ Å©±â°¡ 11§¯¿¡¼­ 6.8§¯·Î ÁÙ¾îµç ´öºÐ¿¡ ±è¾¾´Â ¾Ï¼¼Æ÷¸¦ ÀýÁ¦ÇÏ´Â ¼ö¼úÀ» ¹Þ¾Ò´Ù. ±è¾¾´Â 8³âÀÌ Áö³­ Áö±Ýµµ °Ç°­ÇÏ´Ù.

¡Þ95³âºÎÅÍ °£¾Ï ÆÀ ²Ù·Á Ä¡·á

°£¾ÏÀº Ä¡·á°¡ ¾î·Æ°í º¹ÀâÇÑ ¾ÏÀÌ´Ù. ȯÀÚÀÇ 5³â »ýÁ¸À²ÀÌ 28.6%¿¡ ºÒ°úÇÏ´Ù. °£¾ÏÀÇ 80~90%´Â °£°æÈ­°¡ ¹ßÀüÇÑ °ÍÀÌ´Ù. °£ ±â´ÉÀÌ ¸¹ÀÌ ¶³¾îÁ® Àֱ⠶§¹®¿¡ °£ ÀýÁ¦ ¼ö¼úÀ» ÇÒ ¼ö ¾ø´Â °æ¿ì°¡ ¸¹´Ù. ¶Ç °£¿¡´Â Å« Ç÷°üÀÌ ¸¹ÀÌ Áö³ª°¡±â ¶§¹®¿¡ ÀüÀÌÀÇ À§Çèµµ ³ô´Ù. ÀÌ ¶§¹®¿¡ ±è¾¾Ã³·³ Ç×¾ÏÄ¡·á¡¤¹æ»ç¼±Ä¡·á¡¤¼ö¼ú °°Àº '¿¬ÇÕ Àü·«(ÇùÁø)'À» ÆîÃÄ¾ß Ä¡·á È¿°ú¸¦ ±Ø´ëÈ­½Ãų ¼ö ÀÖ´Ù. ¿¬¼¼¾Ïº´¿øÀº 1995³â ±¹³» ÃÖÃÊ·Î ¼ÒÈ­±â³»°ú¡¤¿Ü°ú¡¤¿µ»óÀÇÇаú¡¤¹æ»ç¼±Á¾¾çÇаú µîÀÇ ÀÇ·áÁøÀ» ¸ð¾Æ °£¾Ï ÆÀÀ» ²Ù·È´Ù. Çѱ¤Çù ±³¼ö´Â "³»°ú ÀÇ»ç´Â ¿ÀÄɽºÆ®¶ó ÁöÈÖÀÚó·³ Ä¡·á ¹æÇâÀ» °áÁ¤Çϰí, ¿µ»óÀÇÇаú´Â Á¤È®ÇÑ Áø´Ü°ú Ä«Å×ÅÍ(µµ°ü) »ðÀÔ°ú °°Àº ÁßÀç½Ã¼úÀ» Çϰí, ¿Ü°ú´Â ¼ö¼ú, ¹æ»ç¼±Á¾¾çÇаú´Â ¹æ»ç¼± Ä¡·á¸¦ ¸Ã¾Æ ÃÖ¼±ÀÇ Ä¡·á °á°ú¸¦ ³»¾ß ÇÑ´Ù"°í ¸»Çß´Ù.

¡Þ¼ö¼ú ¸øÇϴ ȯÀÚ »ýÁ¸À² ³ô¿©

¿¬¼¼¾Ïº´¿øÀÇ ÇùÁøÀº Ä¡·á¹ýÀ» °áÁ¤Çϴµ¥ ±×Ä¡Áö ¾Ê°í, Ä¡·á °úÁ¤¿¡ °ü·Ã °ú(Ρ)°¡ µ¿½Ã´Ù¹ßÀûÀ¸·Î Âü¿©ÇÑ´Ù. ´ëÇ¥ÀûÀÎ Ä¡·á¹ýÀÌ ±¹¼ÒÀûÇ׾Ϲæ»ç¼±µ¿½Ã¿ä¹ý(CCRT)ÀÌ´Ù. ÀÌ Ä¡·á¹ýÀº ¾ÏÀÌ ³Ê¹« Å©°í Ç÷°ü¿¡ ħ¹üÇÑ °£¾Ï ȯÀÚ¿¡°Ô À¯¿ëÇÏ´Ù. ¿µ»óÀÇÇаú ÀÇ·áÁøÀÌ ¿·±¸¸® ÂÊ¿¡ ±¸¸ÛÀ» ¶Õ¾î ¾ãÀº °ü(ÄɸðÆ÷Æ®)À» °£±îÁö »ðÀÔÇϸé, ³»°ú ÀÇ·áÁøÀº °üÀ» ÅëÇØ Ç×¾ÏÁ¦¸¦ Åõ¿©ÇÑ´Ù. ¹æ»ç¼±Á¾¾çÇаú´Â ¹æ»ç¼± Ä¡·á¸¦ ´ã´çÇÑ´Ù. ÀÌ·¸°Ô ÇØ¼­ ¾Ï Å©±â°¡ ÁÙ¸é ¿Ü°ú¿¡¼­ ¼ö¼úÀ» ÇÑ´Ù.

½Ç½Ã°£À¸·Î °£¾Ï À§Ä¡¸¦ ÃßÀûÇØ ¾Ï¿¡¸¸ ¹æ»ç¼±À» ±ÕµîÇÏ°Ô Á¶»çÇϴ ÷´Ü ¹æ»ç¼± Ä¡·á±â ¡®·Îº¸Æ½ IMRT¡¯
¿¬¼¼¾Ïº´¿ø °£¾Ï¼¾ÅÍ´Â ¿©·¯ Áø·á°ú°¡ µ¿½Ã´Ù¹ßÀûÀ¸·Î Ä¡·á¿¡ Âü¿©ÇØ Ä¡·á È¿°ú¸¦ ±Ø´ëÈ­½ÃŲ´Ù. »çÁøÀº ½Ç½Ã°£À¸·Î °£¾Ï À§Ä¡¸¦ ÃßÀûÇØ ¾Ï¿¡¸¸ ¹æ»ç¼±À» ±ÕµîÇÏ°Ô Á¶»çÇϴ ÷´Ü ¹æ»ç¼± Ä¡·á±â ¡®·Îº¸Æ½ IMRT¡¯. ¿¬¼¼¾Ïº´¿ø¿¡¼­ ¾Æ½Ã¾Æ ÃÖÃÊ·Î µé¿©¿Ô´Ù. / ½ÅÁöÈ£ ÇコÁ¶¼± ±âÀÚ
ÀÌ Ä¡·á¹ýÀº 1990³â´ë Áß¹Ý ¿¬¼¼¾Ïº´¿ø °£¾Ï¼¾ÅÍ¿¡¼­ óÀ½À¸·Î °í¾ÈÇßÀ¸¸ç, ´Ù¸¥ Ä¡·á¹ýº¸´Ù ¼ºÀûÀÌ ³ôÀº °ÍÀ¸·Î ÀÎÁ¤¹Þ°í ÀÖ´Ù. ¿¬¼¼¾Ïº´¿ø °£¾Ï¼¾ÅÍ ÃÖÁø¼· ±³¼öÆÀÀº Áö³­ ´Þ ¿Ü°úÀÓ»óÁ¾¾çÇÐȸ¿¬º¸¿¡ CCRT¸¦ ÇÑ 243¸íÀÇ °£¾Ï ȯÀÚÀÇ ¿¹Èĸ¦ ºÐ¼®ÇÑ °á°ú¸¦ ½Ç¾ú´Ù. 41¸í(17%)Àº ¾Ï Å©±â°¡ ÁÙ¾î ¼ö¼úÀ» Çß°í, À̵éÀÇ 5³â »ýÁ¸À²Àº 50% Á¤µµ¿´´Ù. ¼ö¼úÀ» ¸øÇÑ ³ª¸ÓÁö ȯÀÚ´Â Æò±Õ 11°³¿ù »ì¾Ò´Ù. Çѱ¤Çù ±³¼ö´Â "°°Àº º´±âÀÇ °£¾Ï ȯÀÚÀÇ Æò±Õ »ýÁ¸ ±â°£Àº 6°³¿ù Á¤µµ"¶ó°í ¸»Çß´Ù.

¡Þ¾Ï »óÅ¿¡ µû¶ó ´Ù¸¥ Ä¡·á¹ý Àû¿ë

'¿¬ÇÕ Àü·«'ÀÇ ÀåÁ¡Àº ¾ÏÀÇ Å©±â¡¤¸ð¾ç¡¤ºÐÆ÷, ±×¸®°í Ä¡·á¿¡ µû¸¥ ½Åü ºÎ´ã µîÀ» °í·ÁÇØ ´Ù¾çÇÏ°Ô Àû¿ëÇÒ ¼ö ÀÖ´Ù´Â °ÍÀÌ´Ù. °£ÀýÁ¦¼ú ȤÀº °£ÀÌ½Ä ¼ö¼úÀº °£¾ÏÀÇ ±Ùº»ÀûÀÎ ÇØ°á ¹æ¹ýÀÌ´Ù. ±×·¯³ª ¼ö¼úÀÌ °¡´ÉÇÑ °æ¿ì´Â Àüü ȯÀÚÀÇ 25%¿¡ ºÒ°úÇÏ´Ù. ¼ö¼úÀ» ÇØµµ Àç¹ß·üÀÌ 40~50%³ª µÇ¹Ç·Î °ü·Ã °úÀÇ ±ä¹ÐÇÑ Çù¾÷À» ÅëÇØ Ä¡·á ¿¹Èĸ¦ Àß ºÁ¾ß ÇÑ´Ù.