¾ð·Ð»ç
ÀÔ·Â : 2019.07.24 17:31
°è¸í´ë µ¿»êº´¿ø ¸ð¹ÙÀÏ ¾Û ¿ÀÇÂ
-
- Ãâó:ÇコÄÚ¸®¾Æ´º½º
°è¸í´ëÇб³ µ¿»êº´¿øÀº Áö³ 22ÀÏ ½º¸¶Æ®ÆùÀ¸·Î ¼Õ½±°Ô º´¿ø ¼ºñ½º¸¦ ÀÌ¿ëÇÒ ¼ö ÀÖ´Â ¸ð¹ÙÀÏ ¾ÛÀ» º»°Ý ¿ÀÇÂÇß´Ù.
º¹ÀâÇÑ º´¿øÀýÂ÷, Áö·çÇÑ ±â´Ù¸² ¾øÀÌ ¸ð¹ÙÀÏ ¾ÛÀ¸·Î °£Æí ¿¹¾à, Áø·áµµÂø È®ÀÎ, ¹øÈ£Ç¥ ¹ßÇà, Áø·áÄ«µå, Áø·áºñ °áÁ¦ µîÀÇ ¸ÂÃãÇü ¼ºñ½º¸¦ ÀÌ¿ëÇÒ ¼ö ÀÖ´Ù. ¶ÇÇÑ Áø·á³»¿ª°ú ó¹æÁ¶È¸, äÇ÷°Ë»ç °á°úµµ È®ÀÎ °¡´ÉÇÏ´Ù.
¿¹¾àÁõÀ» ³õ°í ¿À°Å³ª, ºÐ½ÇÇÑ °æ¿ì¿¡µµ ⱸ Àç¹ß±Þ ¾øÀÌ ¸ð¹ÙÀÏ Áø·áÄ«µå·Î º´¿ø ³» ¾îµð¼³ª »ç¿ëÀÌ °¡´ÉÇϸç, ¾ÛÀ¸·Î ¹øÈ£Ç¥¸¦ ¹ß±Þ¹Þ¾Æ ¾Ë¶÷ÀÌ ¿ï¸®¸é ÇØ´ç ⱸ·Î °¡¸é µÈ´Ù. ¶ÇÇÑ Áø·á´ë±â ¼ø¼µµ È®ÀÎÇÒ ¼ö ÀÖ¾î, ´ë±â½Ç¿¡¼ Áö·çÇÏ°Ô ±â´Ù¸± Çʿ䰡 ¾ø´Ù.
Áø·áºñ°áÁ¦ ¿ª½Ã °£ÆíÇÏ°Ô ÇÒ ¼ö ÀÖÀ¸¸ç ´ë¸®°áÁ¦µµ °¡´ÉÇØÁ³´Ù. °ú°Å ȤÀº ÇöÀçÀÇ Ã³¹æÀü ³»¿ªÀº ¹°·Ð, ¾Ë·¹¸£±â Á¤º¸, äÇ÷°Ë»ç, ÀÔ¿øÈ¯ÀÚÀÇ ½Ä´Üµµ È®ÀÎÇÒ ¼ö ÀÖ°í, ½Ç¼Õº¸Çèû±¸µµ ÀϺΠ°¡´ÉÇÏ´Ù. ¿Ü·¡ ¹× ÀÔ¿ø, ¿À½Ã´Â ±æ, ÁÖÂ÷¾È³» µî¿¡ ´ëÇÑ »ó¼¼ÇÑ Á¤º¸»Ó ¾Æ´Ï¶ó ÀÏ»ó»ýȰ¿¡¼ Ç÷¾Ð, Ç÷´ç µîÀÇ °Ç°»óŸ¦ Á¡°ËÇÒ ¼ö ÀÖ´Â °Ç°¼öø ±â´Éµµ ÀÌ¿ëÇÒ ¼ö ÀÖ´Ù.
°è¸í´ë µ¿»êº´¿ø À̿밴Àº ´©±¸³ª ±¸±Û½ºÅä¾î¿Í ¾Û½ºÅä¾î¿¡¼ ‘°è¸í´ëÇб³ µ¿»êº´¿ø’ ¾ÛÀ» ¼³Ä¡Çϰí ȸ¿ø°¡ÀÔ ÈÄ, ¸ðµç ¼ºñ½º¸¦ ÀÌ¿ëÇÒ ¼ö ÀÖ´Ù.
µ¿»êº´¿øÀº ÇâÈÄ ÀüÀÚó¹æÀü Àü¼Û ¹× ¾à°ª °áÀç, ½Ç¼Õº¸Çè °£Æíû±¸ µî Ãß°¡ ±â´ÉÀ» È®´ëÇÏ¿© ÇÑÃþ ´õ Æí¸®ÇÏ°í ½Å¼ÓÇÏ°Ô º´¿øÀ» ÀÌ¿ëÇÒ ¼ö ÀÖµµ·Ï ÇÒ ¿¹Á¤ÀÌ´Ù.
µ¿»êº´¿øÀº Áö³ÇغÎÅÍ Áö¿ª ÃÖÃÊ·Î ¸ð¹ÙÀÏ ¾ÛÀ» ÅëÇØ °Ç°°ËÁø °á°ú¸¦ È®ÀÎÇÏ´Â ‘¸ð¹ÙÀÏ °Ç°°ËÁø ¼ºñ½º’¸¦ ½ÃÇàÇϰí ÀÖ´Ù. ¶Ç 2016³âºÎÅÍ´Â °¢Á¾ Áúº´°ú °Ë»ç, Áø·á °ü·Ã Á¤º¸¸¦ ¾Ë±â ½±°Ô ¾Ö´Ï¸ÞÀÌ¼Ç µ¿¿µ»óÀ¸·Î Á¦ÀÛÇÏ¿© ȯÀÚ¿Í º¸È£ÀÚÀÇ ÈÞ´ëÀüȷΠó¹æÇÏ´Â ÇÏÀÌÂ÷Æ®(Hi-Chart) ¼³¸í󹿼ºñ½ºµµ Á¦°øÇϰí ÀÖ´Ù.
ÀÌÇâ¾Ö Çѱ¹¿©ÀÇ»çȸÀå ´º¿å MWIAÃÑȸ Âü¼®
-
- ÀÌÇâ¾Ö Çѱ¹¿©ÀÇ»çȸÀå<br>
ÀÌÇâ¾Ö Çѱ¹¿©ÀÚÀÇ»çȸ ȸÀåÀº ´º¿å¿¡¼ ¿¸®´Â Á¦31Â÷ ¼¼°è¿©ÀÚÀÇ»çȸ(MWIA) ÃÑȸ ¹× ±¹Á¦Çмú´ëȸ±â°£ Áß Àç¹Ì ÇÑÀο©ÀÇ»çȸ¿øµéÀ» ÃÊûÇÏ¿© ¸¸Âù ¸ðÀÓÀ» °®°í ÇÑ-¹Ì Ä£¼±À» µµ¸ðÇÑ´Ù.
¸¸Âù ¸ðÀÓÀº ÇöÁö½Ã°£À¸·Î ¿À´Â 26ÀÏ ¿ÀÈÄ 6½Ã 30ºÐ ´º¿å ½Ã³» ºÎ·èŬ¸°ÇÏÀÌÃ÷ ¼ÒÀç ·¹½ºÅä¶û ‘Äý ¸¶¸®’¿¡¼ ¿¸± ¿¹Á¤À̸ç, °í·ÁÀÌȼ¿ï¿¬¼¼ÀÇ´ë µîÀ» Á¹¾÷ ÇÑ µÚ ¹Ì±¹¿¡ Á¤ÂøÇÑ ¿©ÀÇ»ç ȸ¿ø 15¸í°ú Áö³ 2011³â ¹Ì±¹µå·º¼¿Àǰú´ëÇÐÀ» Á¹¾÷ÇÑ ÀþÀº ±³Æ÷ ¿©ÀÇ»ç ±èÀºÁö¾¾ µî ÀÌ ÃÊ´ëµÆ´Ù. ƯÈ÷ ÀÌ ¸ðÀÓ¿¡´Â ¿©ÀÇ»ç·Î¼ º£Æ®³²ÀÇ»çȸ ȸÀå°ú ºÎȸÀåÀ» ¸Ã°íÀÖ´Â Nguyen Thi Xuyen¾¾¿Í Nguyen Thi Ngoc Dung¾¾µµ ÃÊ´ëÇÏ¿© ÇÑ-º£Æ®³² ¿ìÀÇ ÁõÁøÀ» ±âÇÒ ¹æÄ§ÀÌ´Ù.
Á¦31Â÷ ¼¼°è¿©ÀÚÀÇ»çȸ ÃÑȸ ¹× Çмú´ëȸ´Â ¿À´Â 25ÀϺÎÅÍ 28ÀϱîÁö ´º¿å ¸Þ¸®¾îƮȣÅÚ¿¡¼ ¿¸®¸ç, Çѱ¹¿©ÀÚÀÇ»çȸ´Â À̹ø ±¹Á¦Çмú´ëȸ¿¡ ÀÌÇâ¾Ö ȸÀå µî 33¸íÀÌ Âü¼®ÇØ Çмú¹ßÇ¥¿Í Ä£¼±Çà»ç¸¦ ÅëÇØ ±Û·Î¹ú ¿ª·®À» °ú½ÃÇÒ ¿¹Á¤ÀÌ´Ù.
°£¹«Çù, °£È£Çùȸ »ó»ýÇù·Â Á¦¾È¿¡ ´ëÇÑ ³íÆò ¹ßÇ¥
´ëÇѰ£È£Á¶¹«»çÇùȸ°¡ ‘¾ç Á÷¿ª °£ »ó»ý Çù·Â ¹æ¾ÈÀ» ãÀÚ’°í Á¦¾ÈÇÑ ´ëÇѰ£È£Çùȸ¿¡ “ȯ¿µ”ÀÇ ¶æÀ» ¹àÈ÷´Â ÇÑÆí, ±×¿¡ ¾Õ¼ ¸ÕÀú °£¹«Çù¿¡ ‘°ø½Ä »ç°ú’ÇÒ °ÍÀ» Ã˱¸Çß´Ù.
°£¹«ÇùÀº 23ÀÏ ÀÌ °°Àº ³»¿ëÀÇ ³íÆòÀ» ³»°í “°£¹«ÇùÀÌ °£È£»ç¿Í °£È£Á¶¹«»ç ó¿ì°³¼±À» ¹æÇØÇÏ´Â ÀÚ¿µ¾÷ ÀÇ»çµéÀ» ´ëº¯Çϰí ÀÖ´Ù”°í ÇÑ °Í¿¡ ´ëÇØ “75¸¸ °£È£Á¶¹«»çÀÇ Ã³¿ì °³¼±°ú ±ÇÀÍ Çâ»óÀ» ´ëº¯ÇØ ¿Â °£¹«ÇùÀÇ ¸í¿¹¸¦ ÈѼÕÇÏ°í °£È£Á¶¹«»ç Àüü¸¦ ¸ðµ¶ÇÑ ¸·¸»”À̶ó¸ç “»ó»ýÇù·ÂÀ» ¸»Çϱâ Àü¿¡ °£¹«Çù¿¡ °ø½Ä »ç°úºÎÅÍ ÇØ¾ß ÇÑ´Ù”°í ¸»Çß´Ù.
¶Ç °£¹«ÇùÀº “°£È£ÇùȸÀÇ ÁÖ¿ä ÀÓ¿øµéÀÌ º´¿ø°£È£ºÎ ¼öÀå±Þ °ü¸®ÀÚµé”À̶ó¸ç, “ÀÌµé º´¿ø°£È£ºÎ °ü¸®ÀÚµéÀ̾߸»·Î º´¿ø»ç¿ëÀÚ Æí¿¡¼ ÀÏÇØ ¿Â »ç¶÷µé”À̶ó°í ÁöÀûÇÏ°í °£È£Çùȸ ½º½º·Î¸¦ ¸ÕÀú µÇµ¹¾Æº¸¶ó°í ºñÆÇÇß´Ù.
¾Æ¿ï·¯ “°£È£Çùȸ°¡ °£È£»ç ó¿ì°³¼±À» À§Çؼ ³ë·ÂÇØ ¿ÔÀ»Áö´Â ¸ô¶óµµ °£È£Á¶¹«»çÀÇ Ã³¿ì°³¼±°ú °ü·ÃÇØ¼´Â ¾î¶² ³ë·ÂÀ» ÇÑ ¹Ùµµ ¾øÀ¸¸ç, ¿ÀÈ÷·Á °£È£Á¶¹«»ç¸¦ Â÷º°ÇÏ°í ±ÇÀÍ Çâ»óÀ» °¡·Î¸·¾Æ¿Ô´Ù”¸é¼ “°£È£Çùȸ´Â °£È£Á¶¹«»ç ó¿ì°³¼±¿¡ ´ëÇØ ¸»ÇÒ ÀÚ°ÝÁ¶Â÷ ¾ø´Ù”°í Àϰ¥Çß´Ù.
°£¹«ÇùÀº °£È£Çùȸ°¡ °£È£Á¶¹«»ç Áß¾Óȸ ¹ýÁ¤´Üü ÀÎÁ¤À» ¹Ý´ëÇϰí ÀÖ´Â °Í°ú °ü·ÃÇØ “º¸°Çº¹ÁöºÎµµ µ¿ÀÇÇÏ°í ´ë¾È±îÁö Á¦ÃâÇߴµ¥ °£È£Çùȸ°¡ ¹«½¼ ±Ç¸®·Î ºÎ´çÇÑ °£¼·°ú °©Áú ȾÆ÷¸¦ °è¼ÓÇÏ´ÂÁö ¾Ë ¼ö ¾ø´Ù”¸ç “¾ç ´ÜüÀÇ »ó»ýÇù·ÂÀ» À§Çؼ´Â °£¹«ÇùÀÇ ¹ýÁ¤´Üü ÀÎÁ¤ÀÌ Çʼö ¼±°áÁ¶°Ç”À̶ó°í °Á¶Çß´Ù.
À̹ø ³íÆòÀº °£È£ÇùȸÀÇ »ó»ýÇù·ÂÁ¦¾È¿¡ ´ëÇÑ 1Â÷ ³íÆòÀ¸·Î, ‘2015³â ÀÇ·á¹ý °³Á¤¿¡ µû¸¥ °£È£Á¶¹«»çÀÇ ¾÷¹«¿Í ¿ªÇÒ, ±×¸®°í °£È£Àη Á¤¿ø±ÔÁ¤¿¡ °üÇÑ °£¹«ÇùÀÇ ÀÔÀå’À» ÁÖÁ¦·Î 2Â÷ ³íÆòÀ» °ð ¹ßÇ¥ÇÏ°Ú´Ù°í ¹àÇû´Ù.
º£½ºÆ¼¾ÈÀç´Ü, ‘ÀÏ·»ýȰ ±ÕÇüÄ·ÆäÀΑ Âü¿©±â¾÷ ¼±Á¤
º£½ºÆ¼¾ÈÀç´ÜÀÌ °í¿ë³ëµ¿ºÎ°¡ ÁÖ°üÇÏ´Â ‘2019 ÀÏ·»ýȰ ±ÕÇü Ä·ÆäÀΑ Âü¿©±â¾÷¿¡ ¼±Á¤µÆ´Ù.
‘ÀÏ·»ýȰ ±ÕÇü Ä·ÆäÀÎ(¿ö¶ó¹ë Work&Life Balance)‘Àº ÀÏÇÏ´Â ¹æ½Ä°ú ¹®È¸¦ °³¼±ÇÏ¿© ±Ù·ÎÀÚ°¡ ¸¶À½²¯ ´É·ÂÀ» ¹ßÈÖÇÒ ¼ö ÀÖµµ·Ï Çϰí, ±â¾÷ÀÇ »ý»ê¼º°ú °æÀï·ÂÀ» ³ôÀÌ¸é¼ Àϰú »ýȰÀÇ ±ÕÇüÀ» ã¾Æ°¡±â À§ÇÑ ¿îµ¿À¸·Î ¿À·¡ ÀÏÇÏÁö ¾Ê±â, ¶È¶ÈÇÏ°Ô ÀÏÇϱâ, Á¦´ë·Î ½¬±â µîÀ» ÁÖ¿ä °ñÀÚ·Î ÇÑ´Ù.
±×µ¿¾È Àç´ÜÀº 2015³â ¿©¼º°¡Á·ºÎ ‘°¡Á· Ä£È ÀÎÁõ’ ÃëµæÀ» ½ÃÀÛÀ¸·Î ÀÚµ¿ À°¾ÆÈÞÁ÷Á¦ ¿î¿µ ½Ã°£¼±ÅÃÁ¦ ±Ù¹« ¿î¿µ ¿¬Â÷ÈÞ°¡ ¿î¿µÇÁ·Î¼¼½º Àü»êȸ¦ ÅëÇÑ »ç¿ë Ȱ¼ºÈ µî Àϰú »ýȰÀÇ ¾ç¸³À» À§ÇÑ ´Ù¾çÇÑ È°µ¿À» ÃßÁøÇؿԴÙ. ÀÌ¿¡ °í¿ë³ëµ¿ºÎ·ÎºÎÅÍ Àϰú »ýȰ ±ÕÇüÀ» ¸ð¹üÀûÀ¸·Î ½ÇõÇϰí ÀÖ´Â ±â¾÷À̶ó´Â Æò°¡¸¦ ¹ÞÀ¸¸ç Ä·ÆäÀÎ Âü¿©±â¾÷À¸·Î ¼±Á¤µÆ´Ù.
¼øÃµÇâ´ëõ¾Èº´¿ø ±è½Â¼ö ±³¼ö, ´ëÇѼö¸é¿¬±¸ÇÐȸ ¿ì¼ö³í¹®»ó ¼ö»ó
-
- ¼Ò¾ÆÃ»¼Ò³â°ú ±è½Â¼ö ±³¼ö<br>
¼øÃµÇâ´ëÇб³ ºÎ¼Ó õ¾Èº´¿ø ¼Ò¾ÆÃ»¼Ò³â°ú ±è½Â¼ö ±³¼ö°¡ ÃÖ±Ù ¼¿ï ¹é¹ü±è±¸±â³ä°ü¿¡¼ ¿¸° 2019³âµµ ´ëÇѼö¸é¿¬±¸ÇÐȸ Çмú´ëȸ¿¡¼ ¿ì¼ö³í¹®»óÀ» ¼ö»óÇß´Ù.
±è ±³¼ö´Â ³í¹®¿¡¼ ºñ¸¸ Æó¼â¼ö¸é¹«È£ÈíÁõÀÇ ¾ç¾Ð±â »çÀüÀûÀÀÄ¡·á¿¡ ÇÊ¿äÇÑ ¾Ð·Â°ªÀ» º¸´Ù Á¤È®È÷ ¿¹ÃøÇÒ ¼ö ÀÖ´Â »õ·Î¿î ¹æ¹ýÀ» °³¹ßÇϰí, ±× Á¤È®µµ¸¦ ºÐ¼®ÇØ º¸°íÇß´Ù.
±è½Â¼ö ±³¼ö´Â “¼øÃµÇâ´ëõ¾Èº´¿ø ¼ö¸é¼¾ÅÍÀÇ Æó¼â¼ö¸é¹«È£ÈíȯÀÚ Áß ºñ¸¸µµ(üÁú·®Áö¼ö) 25ÀÌ»óÀÇ È¯ÀÚ 162¸íÀ» ´ë»óÀ¸·Î ¿¬±¸¸¦ ÁøÇàÇß´Ù”¸é¼ “»õ ¿¹Ãø¸ðµ¨Àº ¾ç¾Ð±â Ä¡·áÀÇ ¼º°ø·ü Çâ»ó¿¡ µµ¿òÀÌ µÉ °Í”À̶ó°í ¸»Çß´Ù.
±è ±³¼ö°¡ Á¦½ÃÇÑ »õ·Î¿î ¿¹Ãø¹æ¹ýÀº ±â°èÇнÀ(Machine Leaming)À» ÀÌ¿ëÇÑ °ÍÀ¸·Î, ±âÁ¸ Ȱ¿ëµÇ´ø ¿¹Ãø¹æ¹ýµéº¸´Ù ÈξÀ Á¤È®µµ°¡ ³ô¾Ò´Ù.
´ëÇ¥ÀûÀÎ Æó¼â¼ö¸é¹«È£Èí Ä¡·á¹ýÀÎ ¾ç¾Ð±â Ä¡·á´Â ÀûÀÀ¿©ºÎ°¡ ¼ºÆÐ¸¦ Á¿ìÇÑ´Ù. µû¶ó¼ ¾ç¾Ð±â ÀûÁ¤ °Ë»ç Àü 1~3°³¿ù »çÀüÀûÀÀÄ¡·á°¡ ÇÊ¿äÇѵ¥, ÀÌ ¶§ ÀûÁ¤ ¾Ð·Â°ª »êÁ¤ÀÌ ¸Å¿ì Áß¿äÇÏ´Ù.
±è ±³¼öÀÇ ¼ö»ó ³í¹®Àº ‘ºñ¸¸ Æó¼â¼ö¸é¹«È£Èí ȯÀÚ¿¡¼ ±â°èÇнÀÀ» ÅëÇÑ ÀûÁ¤ ¾ç¾Ð ¿¹Ãø¸ðÇü’À¸·Î ´ëÇѼö¸é¿¬±¸ÇÐȸ ÇмúÁö Journal of sleep medicine ÃÖ±ÙÈ£¿¡ ½Ç·È´Ù.
ºÐ´ç¼¿ï´ëº´¿ø °¡Á¤ÀÇÇаú À̱âÇå ±³¼ö ¿¬±¸ÆÀ, ÁýÁßÀû ±Ý¿¬ Ä¡·á ÇÊ¿ä ¿¬±¸°á°ú ¹ßÇ¥
-
- ºÐ´ç¼¿ï´ëÇб³º´¿ø À̱âÇå<br>
ºÐ´ç¼¿ï´ëÇб³º´¿ø °¡Á¤ÀÇÇаú À̱âÇå ±³¼öÆÀ(Á¦1ÀúÀÚ: °¡Ãµ´ë ±æº´¿ø °Ç°ÁõÁø¼¾ÅÍ ±¸Çý¿¬ ±³¼ö)Àº ¾Ï »ýÁ¸ÀÚÀÇ °Ç°°ú »îÀÇ Áú¿¡ ÀÖ¾î Áß¿äÇÑ ¿µÇâÀ» °®´Â Èí¿¬ ½À°ü ¹× °ü·Ã ÀÎÀÚ¸¦ Á¶»çÇØ ±× °á°ú¸¦ ¹ßÇ¥Çß´Ù.
¾ÏÀ» Áø´Ü ¹ÞÀº ±¹³» ³²¼º Èí¿¬ÀÚÀÇ Àý¹Ý ÀÌ»óÀÌ Áø´Ü ÈÄ¿¡µµ Èí¿¬À» Áö¼ÓÇÑ´Ù´Â ¿¬±¸°á°ú·Î ¾Ï ȯÀÚµéÀ» ´ë»óÀ¸·Î ÇÑ ±Ý¿¬ Ä¡·áÀÇ Á߿伺ÀÌ ºÎ°¢µÇ°í ÀÖ´Ù.
óÀ½ ¾ÏÀ» Áø´Ü ¹ÞÀ¸¸é Ãæ°Ý°ú µÎ·Á¿òÀ¸·Î ÀÎÇØ ´ã¹è¸¦ ²÷À¸·Á´Â µ¿±â°¡ °ÈµÇ¾î º¸´Ù ½±°Ô ±Ý¿¬¿¡ ¼º°øÇÒ °ÍÀ¸·Î ÁüÀÛÇÒ ¼ö ÀÖÁö¸¸, ¸¹Àº ȯÀÚµéÀÌ ±Ý¿¬¿¡ ½ÇÆÐÇÏ°í ¸¸´Ù. ÀÌ·¸°Ô ¾Ï Áø´Ü ÈÄ¿¡µµ Èí¿¬À» Áö¼ÓÇÏ´Â ½À°üÀº ¾ÏÀÇ Àç¹ß, ÀÌÂ÷¾ÏÀÇ ¹ß»ý ¹× »ç¸Á·üÀ» ³ô¿© ¾Ï »ýÁ¸ÀÚÀÇ °Ç°¿¡ Áö´ëÇÑ ¾Ç¿µÇâÀ» ¹ÌÄ¡°Ô µÈ´Ù.
±×·¯³ª ÀÌ¹Ì ¾Ï¿¡ °É·È´Ù°í ÇØµµ Æ÷±âÇÏÁö ¾Ê°í Àü¹®°¡ÀÇ µµ¿òÀ» ¹Þ¾Æ ±Ý¿¬¿¡ ¼º°øÇÏ¸é ¾Ï Ä¡·á È¿°ú¸¦ ³ôÀÏ »Ó ¾Æ´Ï¶ó »ýÁ¸ ±â°£µµ ´Ã¸± ¼ö ÀÖÀ¸¹Ç·Î, ¿ÀÈ÷·Á ¾Ï Áø´Ü ½ÃÁ¡À» ±âȸ·Î »ï¾Æ ÁýÁßÀû ±Ý¿¬Ä¡·á¸¦ ½ÃÀÛÇÏ´Â °ÍÀÌ µµ¿òÀÌ µÉ ¼ö ÀÖ´Ù.
¿¬±¸ÆÀÀÌ ±¹¹Î°Ç°º¸Çè°ø´ÜÀÇ ºòµ¥ÀÌÅ͸¦ Ȱ¿ëÇÏ¿© 2004³â-2011³â »çÀÌ¿¡ óÀ½À¸·Î ¾Ï Áø´ÜÀ» ¹ÞÀº 40¼¼ ÀÌ»ó ³²¼º 15,141¸íÀ» ´ë»óÀ¸·Î ¾Ï Áø´Ü ÀüÈÄ Èí¿¬ »óÅ º¯È¸¦ ºÐ¼®ÇÑ °á°ú, ¾Ï Áø´Ü Àü Èí¿¬À» Çß´ø ³²¼º Áß ¹«·Á 51.6%°¡ ¾Ï Áø´Ü ÈÄ¿¡µµ ¿©ÀüÈ÷ Èí¿¬À» Áö¼ÓÇÏ´Â °ÍÀ¸·Î º¸°íµÆ´Ù. ƯÈ÷ ¿¬·É´ë¿Í ¼Òµæ ¼öÁØÀÌ ³·°í, ¾Ï Áø´Ü Àü Èí¿¬·®ÀÌ ³ôÀ¸¸ç, Èí¿¬°ú ¿¬°ü¼ºÀÌ ³·Àº ¾ÏÀ» Áø´Ü¹ÞÀº ȯÀÚÀϼö·Ï ¾Ï Áø´Ü ÈÄ¿¡µµ Èí¿¬À» Áö¼ÓÇÒ À§ÇèÀÌ ³ôÀº °ÍÀ¸·Î ³ªÅ¸³µ´Ù.
À̹ø ¿¬±¸¸¦ À̲ö À̱âÇå ±³¼ö´Â “Åë³ä°ú´Â ´Þ¸® ¾Ï Áø´ÜÀ» ¹Þ°íµµ ¹«·Á Àý¹Ý ÀÌ»óÀÌ Èí¿¬À» Áö¼ÓÇϴµ¥, ÀÌ´Â ±Ý¿¬ÀÌ ¾ó¸¶³ª ¾î·Á¿î ¹®Á¦ÀÎÁö¸¦ ¿©½ÇÈ÷ º¸¿©ÁÖ´Â »ç·Ê”¶ó¸ç “¾Ï Áø´Ü ÈÄ ´ã¹è¸¦ ²÷´Â °ÍÀº ¾ÏȯÀÚÀÇ »ýÁ¸À²À» ³ôÀÏ ¼ö ÀÖÀ¸¹Ç·Î, Èí¿¬ÇÏ´Â ½Å±Ô ¾ÏȯÀÚ¿¡ ´ëÇÑ ±Ý¿¬Ä¡·á´Â ¿ì¸® »çȸ¿¡¼ ÀÇÇзº¸°ÇÇÐÀû ¿ì¼±¼øÀ§°¡ µÇ¾î¾ß ÇÑ´Ù”°í °Á¶Çß´Ù.
À̹ø ¿¬±¸°á°ú´Â ´ëÇѾÏÇÐȸ (Korean Cancer Association)¿¡¼ ¹ß°£ÇÏ´Â ±¹Á¦ Çмú ±ÇÀ§ÁöÀÎ ‘´ëÇѾÏÇÐȸÁö (Cancer Research and Treatment)’ ÃÖ½ÅÈ£¿¡ ¹ßÇ¥µÆ´Ù.
Á¶¼±´ëº´¿ø, ¸ð¾Æ»êºÎÀΰú¿Í ¾÷¹«Çù¾à ü°á
-
- Ãâó:ÇコÄÚ¸®¾Æ´º½º
Á¶¼±´ëº´¿øÀº Áö³ 22ÀÏ 10Ãþ ȸÀǽǿ¡¼ ±¤ÁÖ ³²±¸¿¡ ¼ÒÀçÇÑ ¸ð¾Æ»êºÎÀΰú(´ëÇ¥¿øÀå ±èº´¼±)¿Í ¾÷¹«Çù¾àÀ» ü°áÇϰí Áö¿ª ÁÖ¹ÎÀÇ º¸°ÇÇâ»ó°ú ÀÇ·á°è °øµ¿ ¹ßÀü¿¡ ±â¿©ÇÒ °ÍÀ» ¾à¼ÓÇß´Ù.
¾ç ±â°üÀå ¹× »êºÎÀΰú ¼Ò¼Ó ÁÖ¿ä °ü°èÀÚ°¡ ÇÔ²² Âü¼®ÇÑ °¡¿îµ¥ ¿¸° À̳¯ Çù¾à½Ä¿¡¼´Â »óÈ£ ±â°ü°£ÀÇ È¯ÀÚÀÇ·Ú¿Í È¸¼Û, ÃÖ½ÅÀÇÇÐ Á¤º¸±³·ù¸¦ °ñÀÚ·Î ±ä¹ÐÇÑ Çù·Â ü°è ±¸ÃàÀ» µµ¸ðÇÏ¿´´Ù.
ƯÈ÷ ȯÀÚÁø·á¿Í ÀÓ»ó±³À°À» À§ÇÑ ÀÎÀû ¹× ±â¼úÀû Áö¿ø ÀÓ»ó ¹× ±âÃÊºÐ¾ß °øµ¿¿¬±¸ ¹× ÇмúÁö¿ø Áø·áÀÇ·Ú È¯ÀÚ¿¡ ´ëÇÑ ÆíÀÇÁ¦°ø ¹× ÀÇÇÐÁ¤º¸ ±³È¯, Áø·á ÈÄ È¸¼Û °¢Á¾ Çмú´ëȸ ¹× ±³À° Âü¿© ±âȸ Á¦°ø µî Áø·á¿Í ¿¬±¸ ºÐ¾ß¿¡ ÁßÁ¡À» µÎ°í Çù¾àÀÌ ÀÌ·ïÁ³´Ù.
°æÈñ´ëÇб³Çѹ溴¿ø, ±³Åë»ç°íŬ¸®´Ð °³¼³
°æÈñ´ëÇб³Çѹ溴¿øÀº »ç°í ¹ß»ý Ãʱ⿡ Çѹæ ÁýÁßÄ¡·á¸¦ Á¦°øÇϰíÀÚ ‘±³Åë»ç°íŬ¸®´Ð’À» °³¼³Çß´Ù.
±³Åë»ç°íŬ¸®´Ð¿¡¼´Â ÀÔ¿ø-°Ë»ç-ÇùÁø ½Ã½ºÅÛ¿¡ µû¶ó ü°èÀûÀÎ Ä¡·á¸¦ Á¦°øÇÑ´Ù. X-ray, CT, MRI µî ±âº» °Ë»çºÎÅÍ Àû¿Ü¼±Ã¼¿°Ë»ç, Çѹæ°Ë»ç µîÀ» ÁøÇà, ¿Ü»ó»Ó ¾Æ´Ï¶ó ÈÄÀ¯ÁõÀ» ÀÏÀ¸Å³ ¼ö ÀÖ´Â ¹Ì¼¼ÇÑ ¼Õ»ó±îÁö Àâ¾Æ³½´Ù.
ÀÌÈÄ È¯ÀÚ°¡ È£¼ÒÇÏ´Â Áõ»ó¿¡ ¸ÂÃç ´Ù¾çÇÑ ÇÑ¹æ ¿ä¹ýÀ» ½ÃÇàÇÑ´Ù. ħ, ¶ä, ºÎÇ× µî ±âº»ÀûÀÎ Ä¡·á»Ó ¾Æ´Ï¶ó ÇѾà, ¾àħ, Ãß³ª¿ä¹ýÀ» ½ÃÇàÇØ ÅëÁõÀ» ¿ÏÈÇϰí, ÈÄÀ¯Áõ±îÁö ¿¹¹æÇÒ ¼ö ÀÖ´Ù.
»óÇØ Á¤µµ°¡ ½ÉÇØ Åë¿øÄ¡·á°¡ ¾î·Æ´Ù¸é »ç°í ÈÄ 2ÁÖ±îÁö´Â ÀÔ¿øµµ °¡´ÉÇÏ´Ù. ÀÔ¿ø Ä¡·á´Â »ç°í ÈÄ ¾ÈÁ¤À» µµ¿Í Ä¡·á¿¡¸¸ ÁýÁßÇÒ ¼ö ÀÖµµ·Ï µµ¿ÍÁØ´Ù. ¶Ç °æÈñ´ëÇѹ溴¿ø 24½Ã Áø·á¼¾Å͸¦ ÅëÇØ ¾ß°£, ÁÖ¸», °øÈÞÀÏ¿¡ °ü°è¾øÀÌ Ä¡·á¹ÞÀ» ¼ö ÀÖ´Ù.
°³² ¸ðÄ¿¸®Çѹ溴¿ø, ±³´ë¿ªÀ¸·Î È®ÀåÀÌÀü
°³² ¸ðÄ¿¸®Çѹ溴¿øÀÌ Áö³ 22ÀÏ ÄèÀûÇÏ°í Æí¾ÈÇÑ Áø·á¸¦ À§ÇØ ±³´ë¿ªÀ¸·Î º´¿øÀ» È®Àå ÀÌÀüÇß´Ù.
°³² ¸ðÄ¿¸®Çѹ溴¿øÀº ±âÁ¸ µµ°îµ¿¿¡¼ ¿î¿µÇÏ´ø º´¿øÀ» ±³´ë¿ª 1¹ø Ãⱸ ºÎ±ÙÀÎ ÇÁ·Îºñ½ºÅ¸ È£ÅÚ °Ç¹°·Î È®Àå ÀÌÀüÇß´Ù. ¸ðÄ¿¸®Çѹ溴¿øÀº ÇÁ·Îºñ½ºÅ¸ È£ÅÚ °Ç¹° ÁöÇÏ 1ÃþºÎÅÍ 8Ãþ±îÁö ÃÑ 9ÃþÀ» ¿î¿µÇÑ´Ù. À̹ø È®Àå ÀÌÀüÀ» ÅëÇØ ȯÀÚµéÀÇ ÆíÀǸ¦ °í·ÁÇÑ ÀǷἺñ½º È®Ãæ, Æí¸®ÇÑ ±³Åë µîÀ¸·Î ȯÀڵ鿡°Ô ¸¸Á·µµ ³ôÀº ÀǷἺñ½º¸¦ Á¦°øÇÒ °èȹÀÌ´Ù.
¸ðÄ¿¸®Çѹ溴¿øÀº ±âÁ¸ µÎ °³ÀÇ °Ç¹°¿¡¼ ³ª´©¾î ÁøÇàÇÏ´ø Áø·á¸¦ ÇϳªÀÇ °Ç¹°·Î ÅëÇÕÇÏ¿© Áø·á µ¿¼±ÀÌ Æí¸®ÇØÁ³À¸¸ç ȯÀÚ Áõ°¡·Î Áø·áºÎ°¡ ´Ã¾î³ª¸é¼ 4¸íÀÇ ÀÇ·áÁøÀ» Ãß°¡ ¿µÀÔÇÏ¿© ¿µ»ó°Ë»ç¿Í ÀÓ»óÁõ»óÀ» ²Ä²ÄÇÏ°Ô ºñ±³Çϸç Ä¡·áÇÏ´Â ¸ðÄ¿¸®ÀÇ Áø·áöÇÐÀ» °è¼ÓÇØ¼ À¯ÁöÇÒ ¼ö ÀÖ°Ô µÆ´Ù. ÇÑ¾ç¹æÇùÁø º´¿øÀ¸·Î MRI, X-ray °Ë»ç°¡ °¡´ÉÇÏ°í ¹°¸®Ä¡·á½Ç°ú µµ¼öÄ¡·á½Çµµ ±¸ºñÇϰí ÀÖ´Ù.
¾ÆÁִ뺴¿ø ¸¶ÃëÅëÁõÀÇÇаú ¹Î»ó±â ±³¼ö, ´ëÇѿܷ¡¸¶ÃëÇÐȸ 2´ë ȸÀå ÃëÀÓ
-
- ¾ÆÁִ뺴¿ø ¸¶ÃëÅëÁõÀÇÇаú ¹Î»ó±â ±³¼ö<br>
¾ÆÁִ뺴¿ø ¸¶ÃëÅëÁõÀÇÇаú ¹Î»ó±â ±³¼ö°¡ 2019³â 7¿ù ´ëÇѿܷ¡¸¶ÃëÇÐȸ 2´ë ȸÀåÀ¸·Î ÃëÀÓÇß´Ù. ´ëÇѿܷ¡¸¶ÃëÇÐȸ´Â ¿Ü·¡¸¶ÃëÀÇ ¹ßÀü ¹× º¸±Þ, ÀÌ¿Í °ü·ÃµÈ ÀÓ»ó, ±³À°, ¿¬±¸ ºÐ¾ßÀÇ Çâ»ó¿¡ ±â¿©ÇÏ´Â °ÍÀ» ¸ñÇ¥·Î Çмú´ëȸ °³ÃÖ, ÇÐȸÁö ¹ß°£ µî ´Ù¾çÇÑ È°µ¿À» ÁøÇàÇϰí ÀÖ´Ù.
À̹ø¿¡ 2´ë ȸÀåÀ¸·Î ÃëÀÓÇÑ ¹Î»ó±â ±³¼öÀÇ Àü¹®Áø·áºÐ¾ß´Â »ê°ú ¸¶Ãë, Á¤¸Æ ¸¶Ãë·Î, 1998³âºÎÅÍ ¾ÆÁÖ´ëÇб³ Àǰú´ëÇÐ ¸¶ÃëÅëÁõÀÇÇб³½Ç¿¡¼ ±Ù¹«Çϰí ÀÖÀ¸¸ç ÇöÀç ÁÖÀÓ±³¼ö ¹× ÀÓ»ó°úÀåÀ» ¸Ã°í ÀÖ´Ù. ´ë¿ÜÀûÀ¸·Î ´ëÇѸ¶Ãë°úÇÐȸ ÀÇ·áÁ¤º¸À§¿ø, ´ëÇÑÁ¤¸Æ¸¶ÃëÇÐȸ Á¤º¸ÀÌ»ç, ´ëÇÑ»ê°ú¸¶ÃëÇÐȸ ÇмúÀ§¿øÀ¸·Î Ȱµ¿Çϰí ÀÖ´Ù.
¹Î»ó±â ±³¼ö´Â “¹Ì±¹ÀÇ °æ¿ì Àü½Å¸¶Ãë ÃÑ °Ç¼öÀÇ 80%°¡ ¿Ü·¡¸¶Ãë·Î ½ÃÇàµÇ°í ÀÖÀ» Á¤µµ·Î Ȱ¼ºÈ µÇ¾î ÀÖ´Ù. ¶Ç Åë¿ø¼ö¼ú ¹× ´çÀϼö¼úÀ» Æ÷ÇÔÇÏ¿© ³»½Ã°æ°ú ¹æ»ç¼±°ú ÁßÀç¼ú(intervention)¿¡µµ ¸¶ÃëÅëÁõÀÇÇаú Àǻ簡 Âü¿©ÇÑ´Ù”¸ç “±¹³» º´¿øµéµµ ÇöÀç´Â ¾î·Á¿òÀÌ ÀÖÁö¸¸ ÇâÈÄ ÀÌ·¯ÇÑ »õ·Î¿î ½Ã½ºÅÛÀ¸·Î À̾îÁú °ÍÀ¸·Î ±â´ëÇϸç, ´ëÇѿܷ¡¸¶ÃëÇÐȸ°¡ ÀÌ¿¡ ±â¿©ÇÒ ¼ö ÀÖÀ» °ÍÀ¸·Î ±â´ëÇÑ´Ù”°í ¸»Çß´Ù.
±¹¸³¾Ï¼¾ÅÍ, ¸é¿ª¼¼Æ÷Ä¡·á ÀÇ»ý¸í°úÇÐÆ÷·³ °³ÃÖ
ÃÖ±Ù Ç׾ϸ鿪¼¼Æ÷Ä¡·á¿¡ ´ëÇÑ °ü½ÉÀÌ ³ô¾ÆÁö´Â °¡¿îµ¥, ±¹¸³¾Ï¼¾ÅÍ´Â ¿À´Â 26ÀÏ ¿ÀÈÄ 2½ÃºÎÅÍ ±¹°¡¾Ï¿¹¹æ°ËÁøµ¿ 8Ãþ ´ë°Àǽǿ¡¼ ‘¸é¿ª¼¼Æ÷Ä¡·á: »õ·Î¿î µµ¾à’À̶ó´Â ÁÖÁ¦·Î ¿ÃÇØ ³× ¹øÂ° ÀÇ»ý¸í°úÇÐÆ÷·³À» °³ÃÖÇÑ´Ù.
±¹¸³¾Ï¼¾ÅÍ´Â Áö³ 10³â°£ ³Ä¡¼º ¾ÏȯÀÚ¿¡°Ô »õ·Î¿î Ä¡·á±âȸ¸¦ Á¦°øÇϱâ À§ÇØ Ç׾ϸ鿪¼¼Æ÷Ä¡·áÁ¦ÀÎ T¼¼Æ÷Ä¡·áÁ¦ÀÇ °³¹ß°ú ÀÓ»ó½ÃÇè¿¡ ¾ÕÀ弿ԴÙ. À̹ø Æ÷·³¿¡¼´Â Ç׾ϸ鿪¼¼Æ÷Ä¡·á ºÐ¾ßÀÇ ÃֽŠÁö°ßÀ» »ìÆìº¸°í, ÀÓ»ó È®´ë¸¦ À§ÇÑ µ¹ÆÄ±¸¸¦ ¸ð»öÇÑ´Ù.
¼¼ºÎÀûÀ¸·Î Ç׾ϸ鿪ġ·áÀÇ ÀÌÇØ(°Ã¢À² ¼¿ï´ë ±³¼ö) ¿£Áö´Ï¾î¸µµÈ T¼¼Æ÷ À¯·¡ ¸é¿ª¿¢¼ÒÁ»À» ÀÌ¿ëÇÑ ¸é¿ªÇ×¾ÏÁ¦ º´¿ëÄ¡·á±â¼ú °³¹ß Àü·«(¹é¹®Ã¢ °æºÏ´ë ±³¼ö) WT1 ƯÀ̼º CTLÀ» Ȱ¿ëÇÑ ±Þ¼º °ñ¼ö¼º ¹éÇ÷º´ ȯÀÚÀÇ ¸ÂÃãÄ¡·á(±èÈñÁ¦ ¼¿ï¼º¸ðº´¿ø ±³¼ö) ´Ù¹ß¼º °ñ¼öÁ¾¿¡¼ CAR-T¼¼Æ÷-¿ä¹ý(¾öÇö¼® ±¹¸³¾Ï¼¾ÅÍ Ç÷¾×¾Ï¼¾ÅÍÀå) T¼¼Æ÷¸é¿ªÄ¡·á¿¡ ´ëÇÑ »õ·Î¿î Á¢±Ù: T¼¼Æ÷ Ç׿ø ¼ö¿ëü¿Í Á¢Âø ¼ö¿ëÁ¦ÀÇ °áÇÕ Á¶Àý(Àüâ´ö ±¤ÁÖ°úÇбâ¼ú¿ø ±³¼ö)ÀÇ ¹ßÇ¥°¡ ÁøÇàµÈ´Ù.
¿ì»ó¸í ±¹¸³¾Ï¼¾ÅÍ ¸é¿ª¼¼Æ÷Ä¡·á»ç¾÷´ÜÀåÀº “Ç׾ϸ鿪¼¼Æ÷Ä¡·áÁ¦´Â ¶Ù¾î³ ÀÓ»óÈ¿°ú¸¦ ¹ßÈÖÇÒ Àç·ÂÀÌ Å©Áö¸¸, ³Î¸® »ç¿ëµÇ±â À§Çؼ´Â ±Øº¹ÇØ¾ß ÇÒ °úÁ¦µéÀÌ ´Ù¼ö ³²¾Æ ÀÖ´Ù”¸ç “À̹ø Æ÷·³À» ÅëÇØ Ç׾ϸ鿪¼¼Æ÷Ä¡·á ºÐ¾ßÀÇ ÃÖ½ÅÁö°ßÀ» °øÀ¯Çϰí, ¹ßÀü¹æÇâ¿¡ ´ëÇÑ ½Éµµ ÀÖ´Â Åä·ÐÀÌ ÀÌ·ïÁö±æ ±â´ëÇÑ´Ù”°í ¸»Çß´Ù.
ÀÇ»ý¸í°úÇÐÆ÷·³Àº ¿ì¸®³ª¶ó ÀÇ»ý¸í°úÇÐ ¹ßÀü¿¡ ±â¿©Çؿ ±¹¸³¾Ï¼¾ÅͰ¡ °³ÃÖÇÏ´Â Àü¹®°¡ Æ÷·³ÀÌ´Ù. ÀÇ»ý¸í°úÇÐ ºÐ¾ß ÃÖ±Ù Æ®·»µå ¹× À̽´¿¡ ´ëÇØ ÃÖ°í ¼öÁØÀÇ Àü¹®°¡¸¦ ¸ð½Ã°í Áö½ÄÀ» °øÀ¯Çϰí Åä·ÐÇÑ´Ù. ¸é¿ª¼¼Æ÷Ä¡·áÁ¦¿¡ ´ëÇÑ À̹ø Æ÷·³ÀÌ ¿ÃÇØ °èȹµÈ ÀÇ»ý¸í°úÇÐÆ÷·³ÀÇ ³× ¹øÂ°ÀÌÀÚ ¸¶Áö¸· Çà»çÀÌ´Ù. Æ÷·³ Âü¼® ¹× »çÀüµî·Ï¿¡ ´ëÇÑ ¹®ÀÇ´Â ÀÎÀç°³¹ßÆÀÀ¸·Î ÇÏ¸é µÈ´Ù.
¼¼ºê¶õ½º, ȯÀÚ ÁßÁõµµ Æò°¡ X-ray ÆÇµ¶ AI ±â¼ú ÀÌÀü
-
- Ãâó:ÇコÄÚ¸®¾Æ´º½º
¼¼ºê¶õ½ºº´¿ø ¿µ»óÀÇÇаú ÀÌ¿µÇÑ ±³¼ö ¿¬±¸ÆÀÀÌ ¿¬¼¼´ëÇб³ °ø°ú´ëÇРȲµµ½Ä ±³¼ö¿ÍÀÇ °øµ¿¿¬±¸¸¦ ÅëÇØ X-ray °á°ú·Î ȯÀÚÀÇ ÁßÁõµµ¸¦ ÆÄ¾ÇÇÒ ¼ö ÀÖ´Â ÀΰøÁö´É(AI) ±â¼úÀ» °³¹ßÇØ ÃÖ±Ù µö³ëÀ̵忡 ÀÌÀüÇß´Ù.
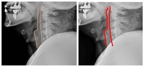
¿Ü»óÀ¸·Î ÀÀ±Þ½ÇÀ» ¹æ¹®ÇÑ È¯ÀÚ¿¡¼ °æÃß¿Í ÈäºÎ, °ñ¹Ý X-ray¸¦ ±âº»À¸·Î ÃÔ¿µÇØ »óŸ¦ È®ÀÎÇÑ´Ù. ÀÌ Áß °æÃß X-ray ¿µ»óÀº ÀÀ±ÞȯÀÚ³ª ÁßÁõ ȯÀÚ¸¦ Æò°¡Çϴµ¥ Áß¿äÇÑ ±âÃÊ ¿µ»óÀÚ·á·Î Ȱ¿ëµÈ´Ù.
°æÃß C2/3¹ø°ú C6/7¹øÀÇ °æ¿ì ôÃß¾Õ°ø°£Àº °¢°¢ 6~7mm¿Í 20mm Á¤µµ·Î ÃøÁ¤µÇ´Âµ¥, ³»ºÎÃâÇ÷À̳ª ºÎÁ¾ µîÀÌ ÀÖÀ» °æ¿ì ÀÌ µÎ²²°¡ ³Ð¾îÁø´Ù. ÀÌ ¶§ ÀÇ»ç´Â X-ray ¿µ»óÆÇµ¶°á°ú¿¡ µû¶ó CT³ª MRI µîÀÇ Á¤¹Ð °Ë»ç¸¦ ½Å¼ÓÈ÷ ÁøÇàÇØ¾ß ÇÒÁö ÀÀ±Þóġ¸¦ ¿ì¼±ÇØ¾ß ÇÒÁö µîÀÇ Áø´Ü°ú Ä¡·á °èȹÀ» ¼¼¿ì°Ô µÈ´Ù.
ÀÌ¿µÇÑ ±³¼ö ¿¬±¸ÆÀÀº °æÃß X-ray °Ë»ç¿¡¼ C2¹ø°ú C6¹ø ôÃß¾Õ °ø°£À» °ËÃâÇÒ ¼ö ÀÖµµ·Ï 200¸íÀÇ ÃøÁ¤°ªÀ» µ¥ÀÌÅÍÈ ½ÃÄÑ µö·¯´×À» ÅëÇØ AI¿¡ ÇнÀ½ÃÄ×´Ù.
¿¬±¸ÆÀÀº ÀÌ·¸°Ô ÇнÀÇÑ AI¸¦ ÅëÇØ ½ÇÁ¦ ÀÀ±Þ½ÇÀ» ¹æ¹®ÇÑ 136¸íÀÇ °æÃß X-ray¸¦ ºÐ¼®Çß´Ù. ºÐ¼® °á°ú C2ÀÇ °æ¿ì 132¸í(97%)¿¡¼ ¿µ»óÀÇÇаú ÀÇ»çÀÇ Áø´Ü°ú ÀÏÄ¡ÇßÀ¸¸ç, C6ÀÇ °æ¿ì 126¸í(92.7%)¿¡¼ Á¤È®µµ¸¦ º¸¿´´Ù. ƯÈ÷, °æÃß ¼ö¼úÀ» ¹ÞÀº ȯÀÚ³ª ÀÓÇöõÆ® µî º¸Ã¶¹°À» °¡Áø ȯÀÚ¿¡¼µµ Á¤È®ÇÑ Áø´ÜÀÌ °¡´ÉÇß´Ù.
-
- Ãâó:ÇコÄÚ¸®¾Æ´º½º
½ÇÁ¦ Ä¡°ú º¸Ã¶Ä¡·á¸¦ ¹ÞÀº ¿Ü»óȯÀÚÀÇ °æÃß X-ray ¿µ»óÀ» ¿µ»óÀÇÇаú Àǻ簡 ÆÇµ¶(»çÁø ÁÂÃø)ÇÑ °á°ú¿Í AI°¡ ÆÇµ¶(»çÁø ¿ìÃø)ÇÑ °á°ú¸¦ ºñ±³ÇßÀ» ¶§ Å« Â÷À̸¦ º¸ÀÌÁö ¾Ê¾Ò´Ù. ¿¢½º·¹À̸¦ ÆÇµ¶ÇÒ ¶§ ôÃß ¾Õ °ø°£À» º¸±â À§ÇØ Ã´Ãß ¾Õ °ø°£¼±À» ±×¸®°Ô µÇ´Âµ¥ AI ¿ª½Ã Àǻ簡 ±×¸°°ø°£¼±°ú °°Àº ¸ð¾çÀ» ±×·È´Ù.
À̹ø X-ray AI ±â¼úÀÌ Àû¿ëµÉ °æ¿ì ÀÀ±Þ½ÇÀ» ¹æ¹®ÇÑ ¿Ü»ó ȯÀÚÀÇ °æ¿ì ºü¸¥ ÁßÁõµµ ºÐ·ù¸¦ ÅëÇØ Á¦ÇÑµÈ ÀÇ·áÀηÂÀÌ Àû½Ã¿¡ ÅõÀԵŠȯÀڵ鿡°Ô ÀýÀýÇÑ Ä¡·á¸¦ Á¦°øÇÒ °ÍÀ¸·Î ±â´ëµÇ°í ÀÖ´Ù. ÀÌ ±³¼ö´Â µö³ëÀ̵å¿Í À̹ø ¿¬±¸¸¦ ½Ç¿ëÈÇϱâ À§ÇÔ Àӻ󿬱¸¸¦ °èȹ ÁßÀÌ´Ù.
ÀÌ¿µÇÑ ±³¼ö´Â “¹Ù»Û ÀÀ±Þ½Ç¿¡¼ X-ray ÆÇµ¶ AI ±â¼úÀÌ Àû¿ëµÇ¸é ¾ÕÀ¸·Î ÀÇ»çÀÇ ¿ªÇÒÀÌ ÁÙ¾îµå´Â °ÍÀÌ ¾Æ´Ï¶ó, ÀÇ»çÀÇ ÁýÁß·ÂÀ» ³ôÀÌ°í ¿ªÇÒÀ» ±Ø´ëÈÇϴµ¥ À̹ÙÁö ÇÒ ¼ö ÀÖÀ» °Í”À̶ó°í ¸»Çß´Ù.
ÀÌ ±³¼ö´Â ÀÀ¿ë¿µ»óÀÇÇÐ ¿¬±¸½Ç(Advanced Radiology Laboratory) ¿¬±¸ Ã¥ÀÓÀÚ·Î ¿µ»óÀÇÇаú ¾çÀç¹® ±³¼ö ¿¬±¸ÆÀ°ú ÀÀ±Þ»óȲ¿¡¼»Ó¸¸ ¾Æ´Ï¶ó Áø´ÜºÐ¾ß¿¡¼ AI¸¦ Ȱ¿ëÇÑ Á¾¾ç Áø´Ü±â¼ú °³¹ßµµ ÁøÇà ÁßÀÌ´Ù.
À»Áöº´¿ø ½ÉÀå³»°ú ¹ÚÁö¿µ ±³¼ö, ‘±Þ¼º °ü»óµ¿¸Æ ÁõÈıº’ ¿¹Ãø¸ðµ¨ °³¹ß
-
- À»Áö´ë À»Áöº´¿ø ½ÉÀå³»°ú ¹ÚÁö¿µ ±³¼ö<br>
À»Áö´ë À»Áöº´¿ø ½ÉÀå³»°ú ¹ÚÁö¿µ ±³¼öÆÀÀÌ µ¹¿¬»çÀÇ ÁÖ¿ä ¿øÀÎÀ¸·Î ²ÅÈ÷´Â ±Þ¼º °ü»óµ¿¸Æ ÁõÈıºÀ» ȯÀÚÀÇ ÀÀ±Þ½Ç°ú ¿Ü·¡ Áø·á±â·Ï¸¸À¸·Îµµ ¿¹ÃøÇÒ ¼ö ÀÖ´Â ¸ðµ¨À» °³¹ßÇß´Ù.
½Å¼ÓÇÑ Áø´Ü°ú Ä¡·á°¡ °ü°ÇÀÎ ±Þ¼º Áúº´À» º¸´Ù Á¤È®ÇÏ°Ô ¿¹ÃøÇØ ¿ÀÁøÀ» ¹æÁöÇÏ°í °á°úÀûÀ¸·Î ȯÀÚÀÇ ¿¹Èĸ¦ °³¼±ÇÒ ¼ö ÀÖ´Ù´Â Á¡¿¡¼ Å« Àǹ̰¡ ÀÖ´Ù.
±Þ¼º °ü»óµ¿¸Æ ÁõÈıº(Acute coronary syndrome)Àº ½ÉÀå¿¡ Ç÷¾×À» °ø±ÞÇÏ´Â °ü»óµ¿¸Æ ¾ÈÂÊ¿¡ ÀÚ¸®ÇÑ °æÈ¹Ý(´Ü´ÜÇÑ ¼¶À¯¼º ¸·)ÀÌ ÆÄ¿µÇ¸é¼ ¹ß»ýÇÑ´Ù. À̶§ Ç÷ÀüÀ¸·Î ÀÎÇØ ÃâÇ÷ÀÌ ÀϾ¸é¼ Ç÷°ü ³»ºÎÀÇ Áö¸§ÀÌ ±Þ°ÝÇÏ°Ô Á¼¾ÆÁö°Å³ª °©Àڱ⠸·È÷¸é¼ ½É±ÙÀÇ ÇãÇ÷ ¹× ±«»ç¸¦ ÀÏÀ¸Å²´Ù.
´ëÇ¥ÀûÀÎ Ä¡·á¹æ¹ýÀº ¸·Èù Ç÷°üÀ» dz¼± È®Àå¼ú°ú ½ºÅÙÆ®(±Ý¼Ó ±×¹°¸Á) »ðÀÔÀ¸·Î ¿µ±¸ÀûÀ¸·Î È®ÀåÇÏ´Â °ü»óµ¿¸Æ ÁßÀç ½Ã¼úÀÌ ÀÖ´Ù. ¹«¾ùº¸´Ù ±Þ¼º °ü»óµ¿¸Æ ÁõÈıºÀº ÀÇ·áÁøÀÇ ½Å¼ÓÇÑ Áø´Ü°ú Ä¡·á°¡ Áß¿äÇÏ´Ù. ÀÀ±Þ½Ç µî º´¿ø ¹æ¹® Àü ¹ß»ýÇÑ °æ¿ì Æò¼Ò ÈäÅëÀÌ ÀÖÀ¸³ª º´¿ø¿¡ ¹æ¹®ÇÏÁö ¾Ê´Â °æ¿ì ÀÀ±Þ½ÇÀ̳ª ¿Ü·¡¿¡¼ ÀÇ»çÀÇ ±Þ¼º °ü»óµ¿¸Æ ÁõÈıº Áø´ÜÀÌ ´Ê¾îÁö´Â diagnostic dilemma(Áø´Ü»óÀÇ µô·¹¸¶)°æ¿ìó·³ Ä¡·á°¡ Áö¿¬µÉ¼ö·Ï ȯÀÚÀÇ »óŰ¡ ±Þ°ÝÈ÷ ³ªºüÁú ¼ö Àֱ⠶§¹®ÀÌ´Ù.
¿¬±¸ÀÇ ÇÙ½ÉÀÎ ±â°èÇнÀÀº ÀΰøÁö´ÉÀÇ ÇÑ ºÐ¾ß´Ù. ÄÄÇ»ÅͰ¡ µ¥ÀÌÅͷκÎÅÍ ÇнÀÇÒ ¼ö ÀÖ´Â ¾Ë°í¸®ÁòÀ» °³¹ßÇϰí À̸¦ ÅëÇØ ºòµ¥ÀÌÅ͸¦ ºÐ·ù ó¸®ÇÑ´Ù. ÃÖ±Ù¿¡´Â ÀÇÇÐ ºÐ¾ß¿¡¼µµ Ȱ¹ßÇÏ°Ô ÀÀ¿ëµÇ°í ÀÖ´Ù. IBM ¿Ó½¼ Çコ¿¡¼ ÀÇ»çµéÀÇ ¾Ï Áø´Ü ¹× Ä¡·á¿¡ ±â°èÇнÀ ¾Ë°í¸®ÁòÀ» µµÀÔÇØ ¾Ï Áø´Ü ¼Óµµ¿Í Á¤È®¼ºÀ» ³ôÀÌ´Â °ÍÀÌ ´ëÇ¥ÀûÀÎ »ç·Ê´Ù.
¹ÚÁö¿µ ±³¼öÆÀÀº ÀÌ·¯ÇÑ ±â°èÇнÀ ¾Ë°í¸®ÁòÀ» Àû¿ëÇØ EMR ÀڷḦ ºñ±³ ºÐ¼®Çß´Ù. EMR ÀÚ·á·ÎºÎÅÍ ÃßÃâÇÑ À¯º´ Áúȯ, °Ë»ç°á°ú, Åõ¾à Á¤º¸ µî 20°¡Áö ȯÀÚ Á¤º¸¸¦ º¯¼ö·Î ±Þ¼º °ü»óµ¿¸Æ ÁõÈıº ȯÀÚ 2,344¸í°ú ±Þ¼º °ü»óµ¿¸Æ ÁõÈıºÀÌ ¾Æ´Ñ ±Þ¼º ÈäÅë ȯÀÚ 3,538¸íÀ» ºñ±³ ºÐ¼®Çß´Ù.
±× °á°ú ȯÀÚÀÇ ÀÀ±Þ½Ç°ú ¿Ü·¡ Áø·á±â·Ï¸¸À¸·Îµµ ±Þ¼º °ü»óµ¿¸Æ ÁõÈıº ÀǽÉȯÀÚ¸¦ 85% ÀÌ»ó ¿¹ÃøÇÒ ¼ö ÀÖ¾ú´Ù. ±Þ¼º °ü»óµ¿¸Æ ÁõÈıºÀÌ ¾Æ´Ñ ȯÀÚ´Â 97%±îÁö ¿¹Ãø °¡´ÉÇß´Ù.
¹Ú ±³¼ö´Â “À̹ø ¿¬±¸´Â 4Â÷ »ê¾÷Çõ¸íÀÇ ¹Ì·¡¶ó°í ÇÒ ¼ö ÀÖ´Â ºòµ¥ÀÌÅÍ ºÐ¼®À» ±â¹ÝÀ¸·Î Çß´Ù”¸ç “¿¹Ãø¸ðµ¨À» ÅëÇØ ±Þ¼º Áúº´À» Ãʱ⠹߰ßÇÑ´Ù¸é °¡Àå ÀûÇÕÇÑ Ä¡·á·Î ȯÀÚÀÇ ¿¹Èĸ¦ °³¼±ÇÏ°í °³ÀÎ ¸ÂÃã Ä¡·á¹ýÀ» Á¦½ÃÇÒ ¼ö ÀÖ´Ù”°í ¸»Çß´Ù.
À̹ø ³í¹® ‘A Machin Learning-Based Approach for the Prediction of Acute Coronary Syndrome Requiring Revascularization(°ü»óµ¿¸Æ Àç°ü·ù°¡ ÇÊ¿äÇÑ ±Þ¼º °ü»óµ¿¸ÆÁõÈıº ¿¹ÃøÀ» À§ÇÑ ±â°èÇнÀ ±â¹Ý Á¢±Ù¹ý)’Àº SCI±Þ ±¹Á¦ÇмúÁö Journal of Medical Systems 6¿ù ¿Â¶óÀÎÆÇ¿¡ °ÔÀçµÆ´Ù.
À̹ø ¿¬±¸´Â À»Áö´ë À»Áöº´¿ø ½ÉÀå³»°ú ¹ÚÁö¿µ ±³¼ö¸¦ ºñ·ÔÇÑ ÇѾç´ëÇб³ ÄÄÇ»ÅͰøÇаú ³ë¿µ±Õ ±³¼ö, °í´ë ±¸·Îº´¿ø ½ÉÇ÷°ü¼¾ÅÍ ³ª½Â¿î ±³¼ö, °í·Á´ë º¸°Ç´ëÇб³ ÃÖº´°É ±³¼ö°¡ ÇÔ²² °øµ¿¿¬±¸Çß´Ù.
ÇコÄÚ¸®¾Æ´º½º
À̹μ± ±âÀÚ
admin@hkn24.com
